医影在线

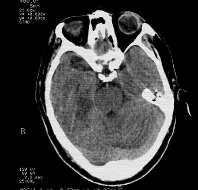
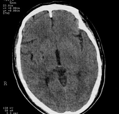
标题: CT21793:李x,男,62岁,头疼,头晕,家属否认有出血病史, [打印本页]

作者: 当兵的    时间: 2009-8-22 18:23
标题: CT21793:李x,男,62岁,头疼,头晕,家属否认有出血病史,











[本贴已被 翁志蓬 于 2009-8-22 23:23:07 修改过]

作者: pengli521    时间: 2009-8-22 18:30
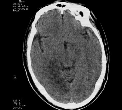
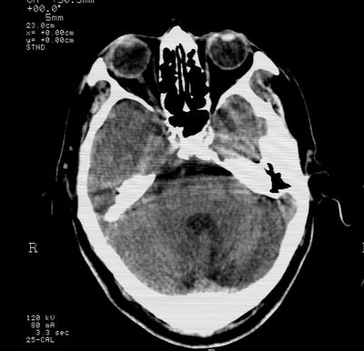
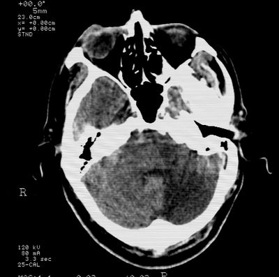
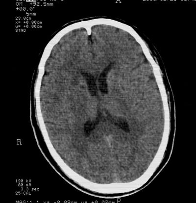
软化灶
作者: 深泽交通    时间: 2009-8-22 18:50
支持软化灶
作者: 晨星剑    时间: 2009-8-22 18:53
右枕叶.右侧脑室前角旁脑梗塞
作者: leijiandepengyo    时间: 2009-8-22 19:09
右基底节,海马并侵及右枕,左枕叶梗塞
作者: 边生丽    时间: 2009-8-22 19:39
右基底节,海马并侵及右枕,左枕叶梗塞
作者: 513ytb    时间: 2009-8-22 19:50
右枕叶.右侧脑室前角旁脑梗塞。
作者: aa13877358820    时间: 2009-8-22 20:23
多发转移瘤可能
作者: zjzjr    时间: 2009-8-22 20:24
支持多发脑梗塞
作者: 初学者LANMEI    时间: 2009-8-22 20:41
右基底节,海马并侵及右枕,左枕叶梗塞
作者: 江广1996    时间: 2009-8-22 21:10
标题: 回复:李x,男,62岁,头疼,头晕,家属否认有出血病史,
以下是引用边生丽在2009-8-22 11:39:00的发言:[br][br]   [br] 右基底节,海马并侵及右枕,左枕叶梗塞 [br] [br]

作者: 黑白光影    时间: 2009-8-22 22:00
支持右基底节,海马并侵及右枕,左枕叶梗塞。
作者: 影像孺子牛    时间: 2009-8-22 22:04
支持右基底节,海马并侵及右枕,左枕叶梗塞。建议增强。
作者: zxl51642    时间: 2009-8-22 22:05
支持右基底节,海马并侵及右枕,左枕叶梗塞
作者: chinanyd    时间: 2009-8-22 23:29
多发性梗塞
作者: qsl    时间: 2009-8-23 00:01
多发梗塞,左小脑软化灶
作者: duguo    时间: 2009-8-23 00:49
mri检查。
作者: 卜一    时间: 2009-8-23 02:32
支持多发脑梗塞!
作者: 科室第一人    时间: 2009-8-23 03:16
mri确诊
作者: 随光逐影    时间: 2009-8-23 04:03
多发性脑梗塞。
作者: 黄毛小子    时间: 2009-8-23 04:13
支持软化灶
作者: jinguoji    时间: 2009-9-8 23:38
考虑多发脑梗塞,建议mri检查。




欢迎光临 医影在线 (http://bbs.radida.com/bbs/) Powered by Discuz! X3.2