医影在线

标题: CT21797:M65y,矽肺团块内空洞? [打印本页]

作者: lczeng    时间: 2009-8-22 22:57
标题: CT21797:M65y,矽肺团块内空洞?
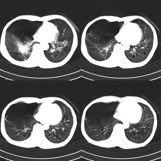
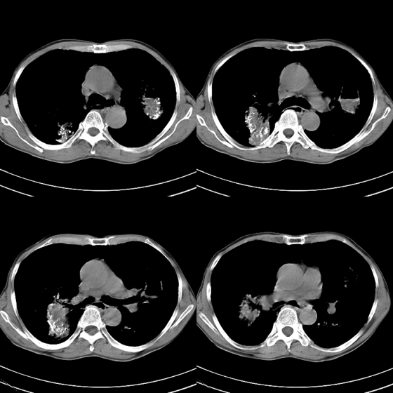
m65y,咳嗽、咯痰,煤工工作史10+年。低热,无明显脓臭痰。临床怀疑tb。











[本贴已被 翁志蓬 于 2009-8-22 23:28:30 修改过]

作者: xiaofangsheyuan    时间: 2009-8-22 23:15
矽肺伴结核。
作者: 513ytb    时间: 2009-8-22 23:48
矽肺伴结核。
作者: 深泽交通    时间: 2009-8-22 23:58
标题: 回复:m65y,矽肺团块内空洞?
矽肺伴结核。
作者: lxq2000    时间: 2009-8-23 00:01
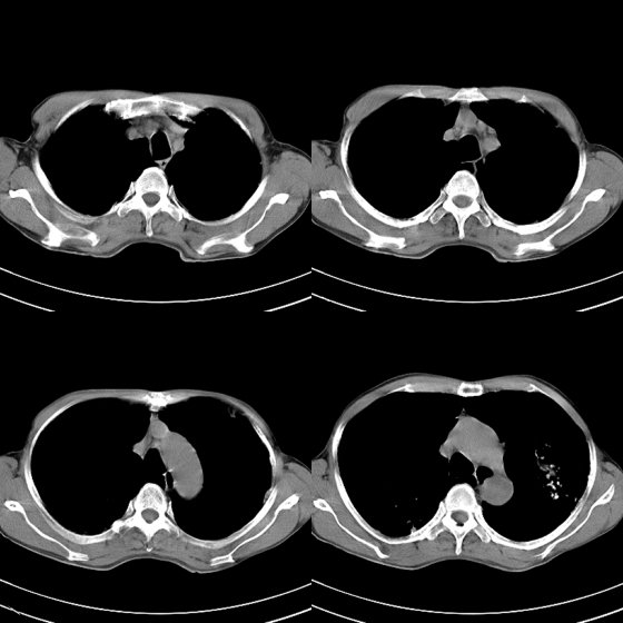
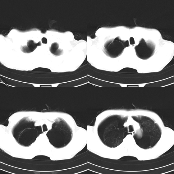
矽肺伴结核 右侧气胸,左肺上叶肺大泡
作者: zxl51642    时间: 2009-8-23 00:19
你我每天都在违法!!“某部门”说了,综合性医院是没有资格诊断尘肺的!
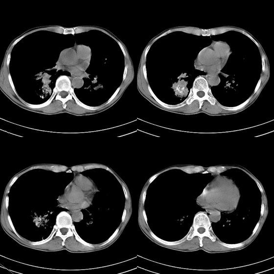
我也明知故犯一次!1、矽肺伴结核, 右下病变不排除瘢痕癌;2、慢支、肺气肿、多发肺大泡并气胸。
作者: zjzjr    时间: 2009-8-23 00:23
煤工尘肺,多发肺大泡,右侧气胸.
作者: 爱国    时间: 2009-8-23 00:38
双侧矽肺,肺大泡,肺气肿
作者: duguo    时间: 2009-8-23 00:44
煤工尘肺结节易液化坏死,形成空洞,如合并结核形成空洞,周围应该有播散灶。
作者: 卜一    时间: 2009-8-23 02:27
矽肺伴结核 右侧气胸,左肺上叶肺大泡!支持!
作者: 科室第一人    时间: 2009-8-23 03:08
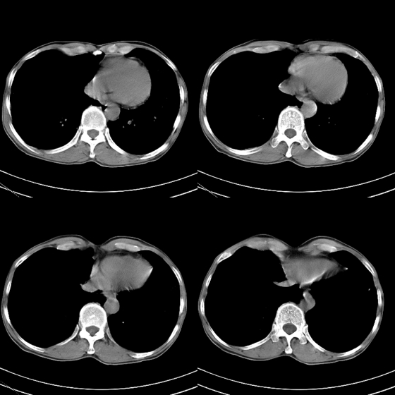
再来个开胸
作者: 泪洒红尘    时间: 2009-8-23 03:26
结合临床考虑尘肺并空洞形成,双肺多发肺大泡,右侧气胸。
作者: bmw011    时间: 2009-8-23 03:58
标题: 回复:m65y,矽肺团块内空洞?
以下是引用科室第一人在2009-8-22 19:08:00的发言:[br]再来个开胸

支持。。。。。。。。。
作者: 随光逐影    时间: 2009-8-23 04:12
矽肺伴结核(左肺上叶病灶内空洞形成),右侧气胸,两肺多发性肺大泡。
作者: 黑白光影    时间: 2009-8-23 05:40
矽肺伴结核 右侧气胸,左肺上叶肺大泡。
作者: 影象小泰斗    时间: 2009-8-23 06:04
考虑矽肺伴结核;
右侧气胸,左肺上叶肺大泡
作者: yangyang2000    时间: 2009-8-23 06:24
矽肺伴结核 右侧气胸,左肺上叶肺大泡!支持
作者: 胡宇    时间: 2009-8-23 06:40
矽肺伴结核 右侧气胸,左肺上叶肺大泡
作者: shibing    时间: 2009-8-23 09:24
、矽肺伴结核同时合并感染, 右下病变不排除瘢痕癌;2、慢支、肺气肿、多发肺大泡并气胸。
作者: 帅河马    时间: 2009-8-23 21:18
煤工尘肺,多发肺大泡,右侧气胸.  
支持
作者: jinguoji    时间: 2009-9-8 23:43
考虑矽肺伴结核,右侧气胸,左肺上叶肺大泡。
作者: 老邱    时间: 2009-9-9 00:49
告病重没有?这种气胸不易复张,咳嗽剧烈左肺大泡再破就难活了。煤尘肺常继发结核,影像学不易鉴别。有结核的可疑临床症状,ppd5u皮试阳性,特别是强阳性,就有诊断性抗痨治疗指针。不过排他性诊断是最重要的。左上空洞内液平就不是结核应有的。同意9楼楼主看法,同时注意合并感染的问题,抗炎覆盖广一点。
作者: dr.yang    时间: 2013-3-26 17:08
引用第5楼zxl51642于2009-08-23 00:19发表的  :
你我每天都在违法!!“某部门”说了,综合性医院是没有资格诊断尘肺的!
我也明知故犯一次!1、矽肺伴结核, 右下病变不排除瘢痕癌;2、慢支、肺气肿、多发肺大泡并气胸。





欢迎光临 医影在线 (http://bbs.radida.com/bbs/) Powered by Discuz! X3.2