医影在线

标题: CT21804:男,65岁,咳嗽、咳痰、发热5天。 [打印本页]

作者: wpf    时间: 2009-8-23 07:11
标题: CT21804:男,65岁,咳嗽、咳痰、发热5天。
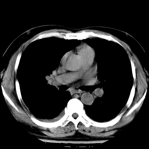
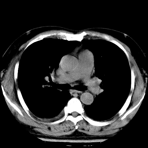
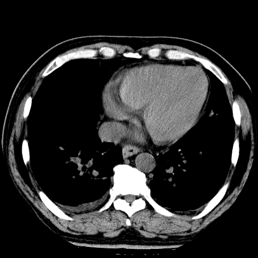
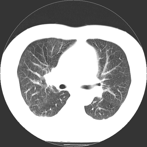
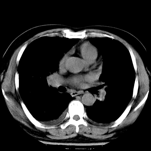
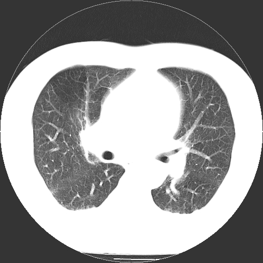
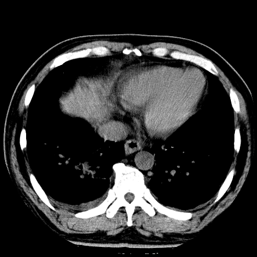
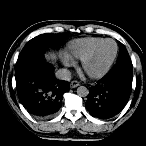
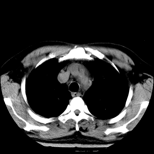
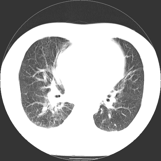
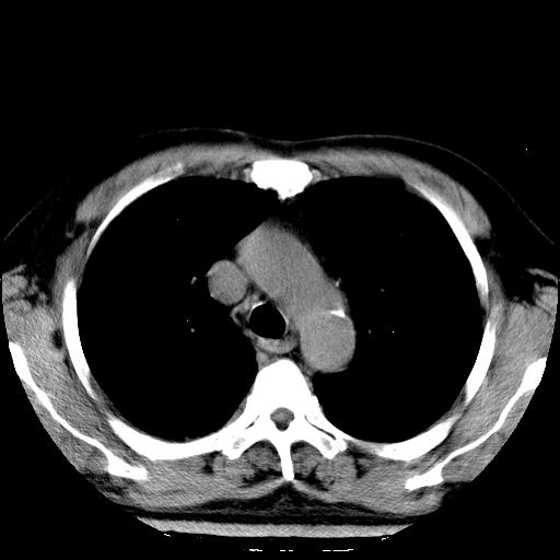
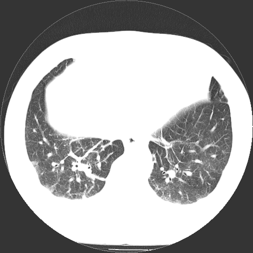
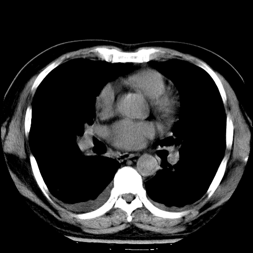
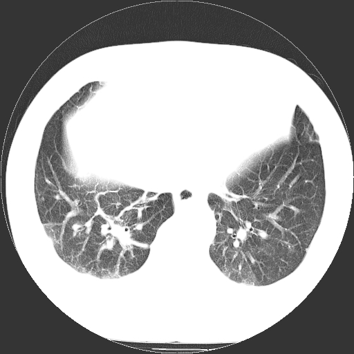
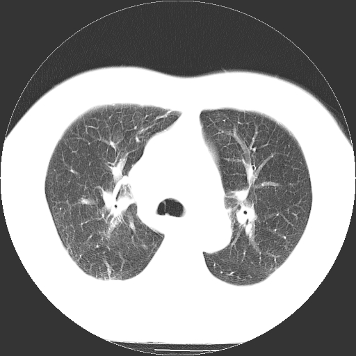
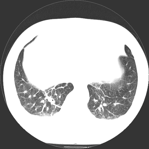
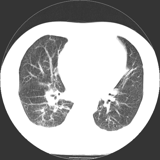
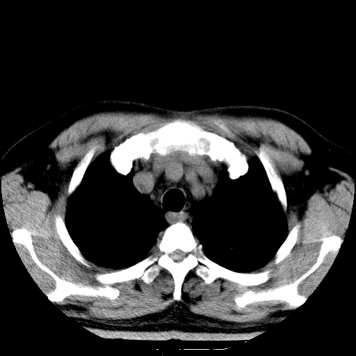
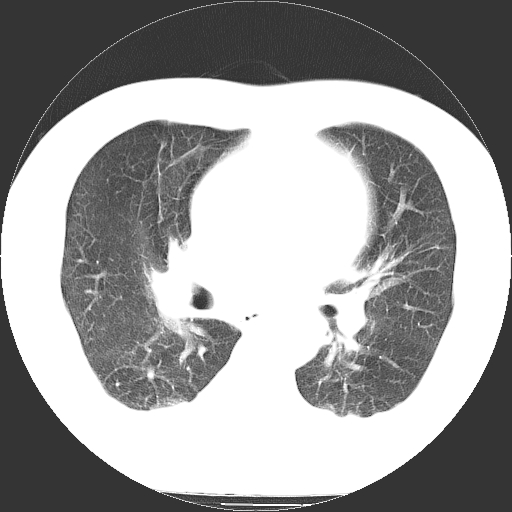
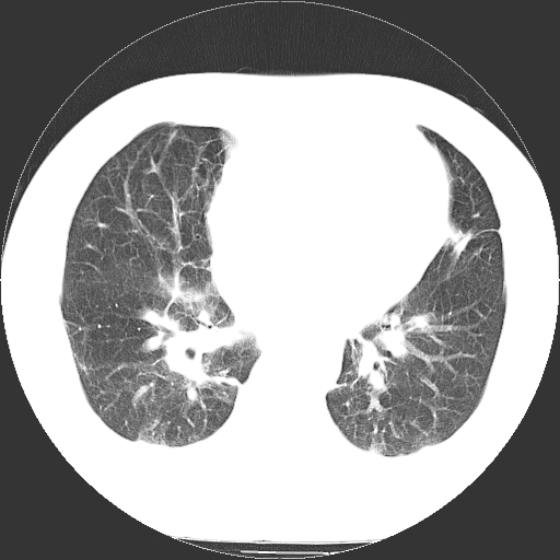
男,65岁,咳嗽、咳痰、发热5天。











































[本贴已被 翁志蓬 于 2009-8-22 23:39:35 修改过]

作者: 卜一    时间: 2009-8-23 07:56
慢支 肺间质纤维化合并感染!
作者: shibing    时间: 2009-8-23 09:38
支气管扩张合并感染,胸膜肥厚
作者: 随光逐影    时间: 2009-8-23 15:33
考虑慢支并感染,肺间质纤维化。
作者: 科室第一人    时间: 2009-8-23 15:43
两肺间质性炎症并感染
作者: 深泽交通    时间: 2009-8-23 16:40
慢支,肺心病
作者: zjzjr    时间: 2009-8-23 16:49
支持慢性支气管炎伴感染,双侧少量胸腔积液.
作者: lxq2000    时间: 2009-8-23 18:08
两肺间质纤维化,支扩合并感染,双侧胸腔积液
作者: zxl51642    时间: 2009-8-23 19:23
支持慢性支气管炎伴感染,双侧少量胸腔积液.
作者: 帅河马    时间: 2009-8-23 21:01
支持慢性支气管炎伴感染,双侧少量胸腔积液.
作者: jiangjing    时间: 2009-8-23 21:38
感染,肺间质纤维化。
作者: 黑白光影    时间: 2009-8-24 05:06
慢支 肺间质纤维化合并感染
作者: jinguoji    时间: 2009-9-8 23:59
支持慢性支气管、肺间质纤维化合并感染。
作者: 一线天    时间: 2009-9-9 05:37
慢性支气管炎并感染,支扩,双侧少量胸腔积液.
作者: dr.yang    时间: 2013-3-26 17:12
支持慢性支气管炎伴感染,双侧少量胸腔积液.




欢迎光临 医影在线 (http://bbs.radida.com/bbs/) Powered by Discuz! X3.2