




















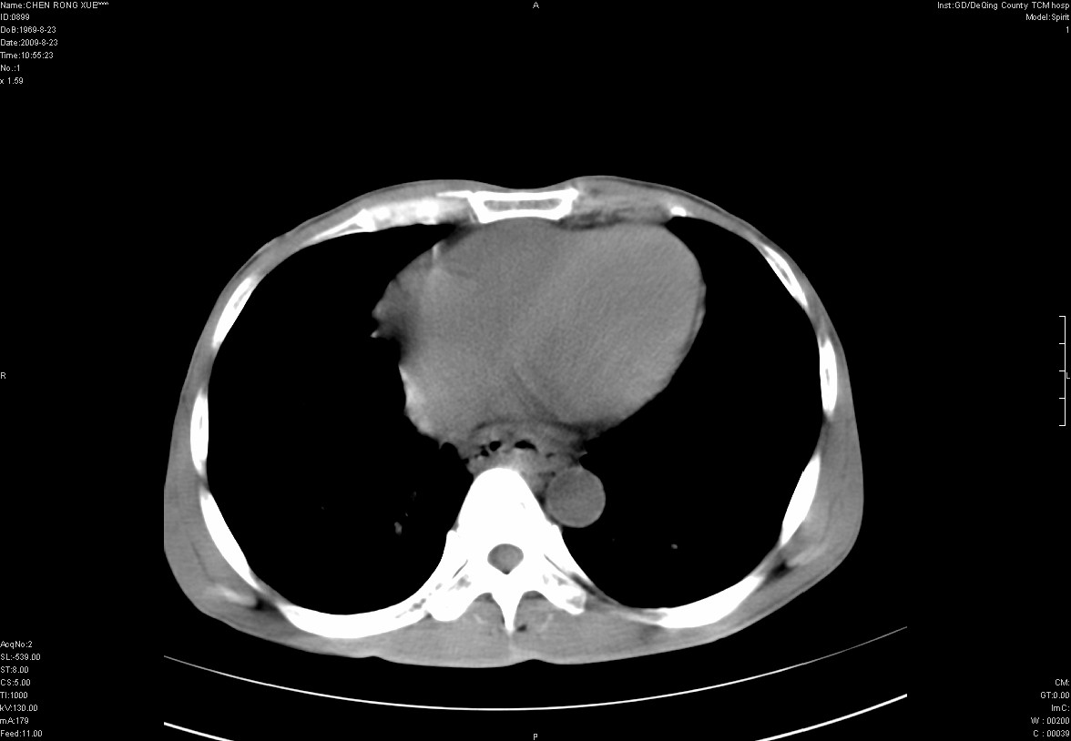
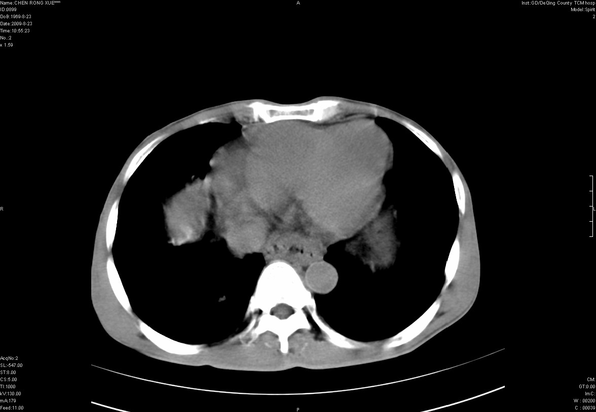
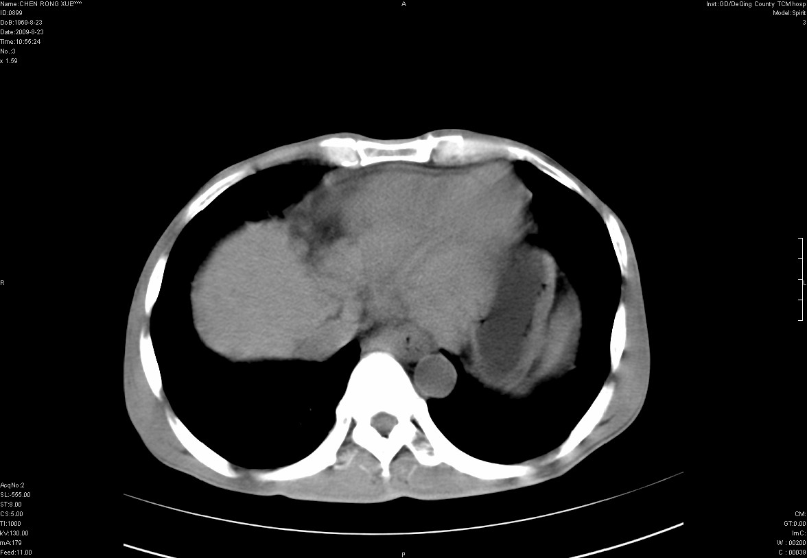
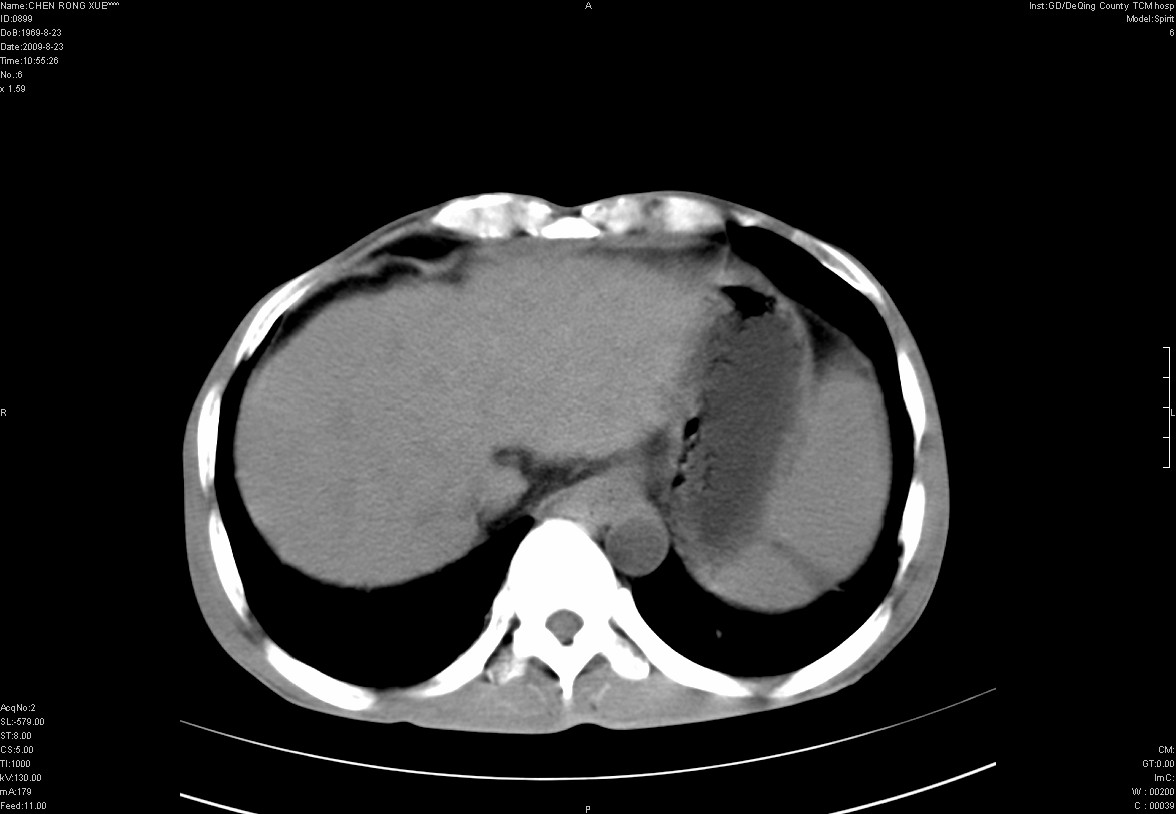
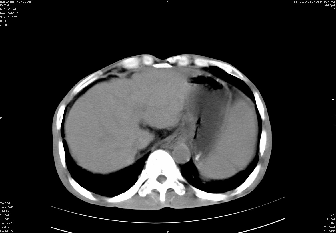
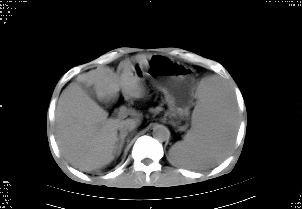
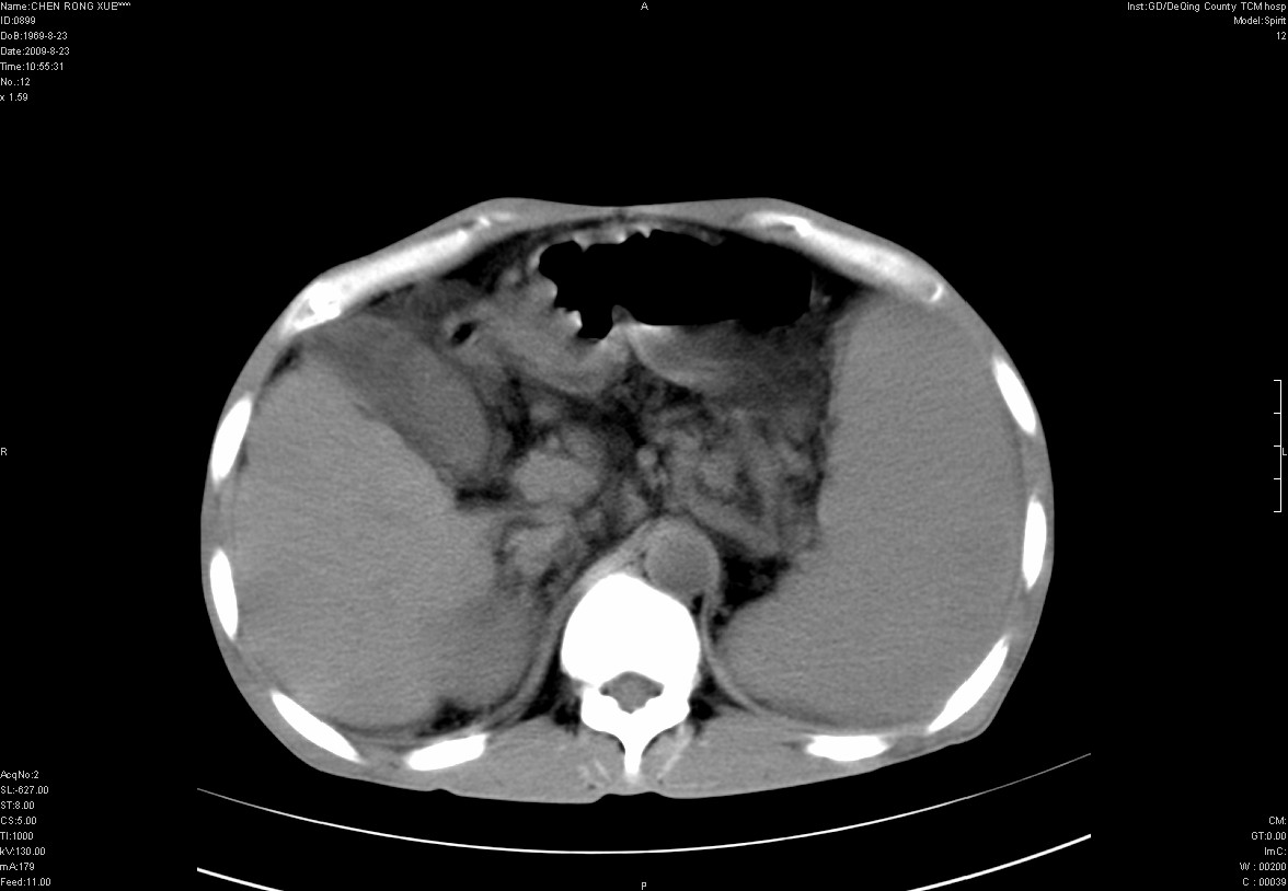
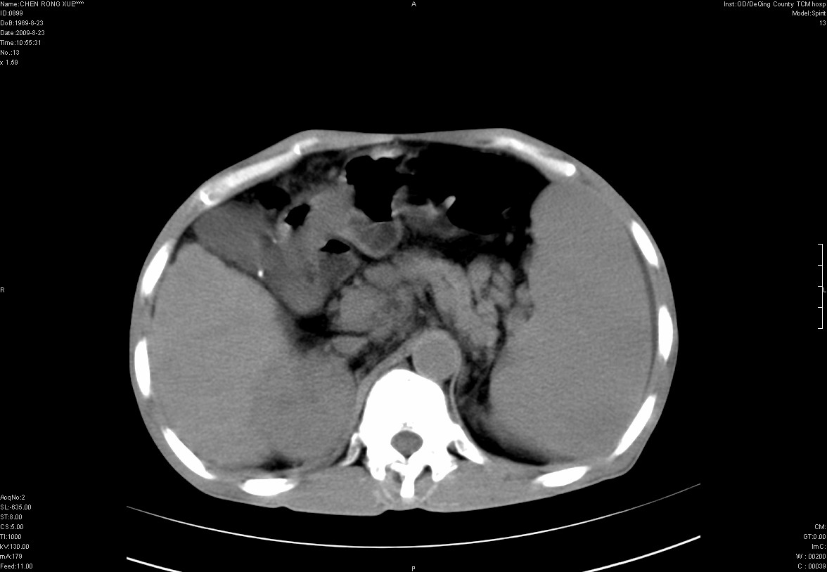
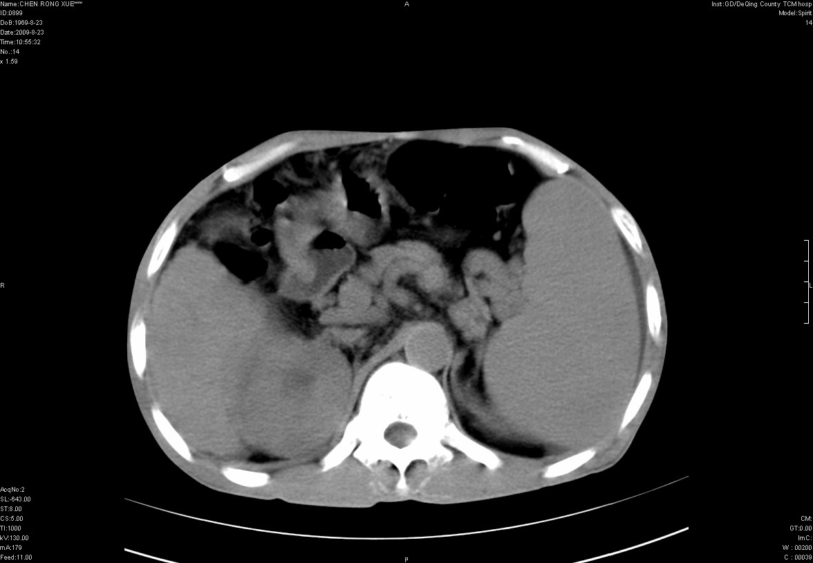
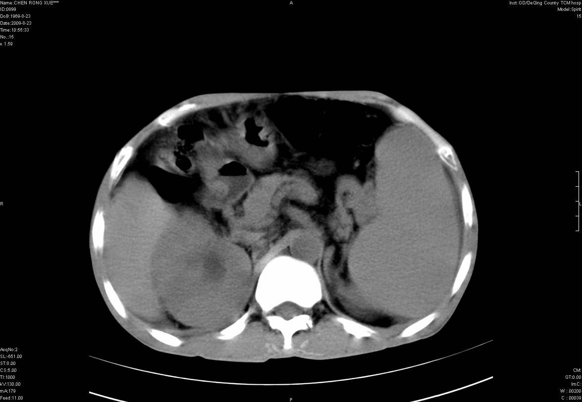
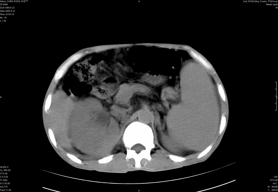
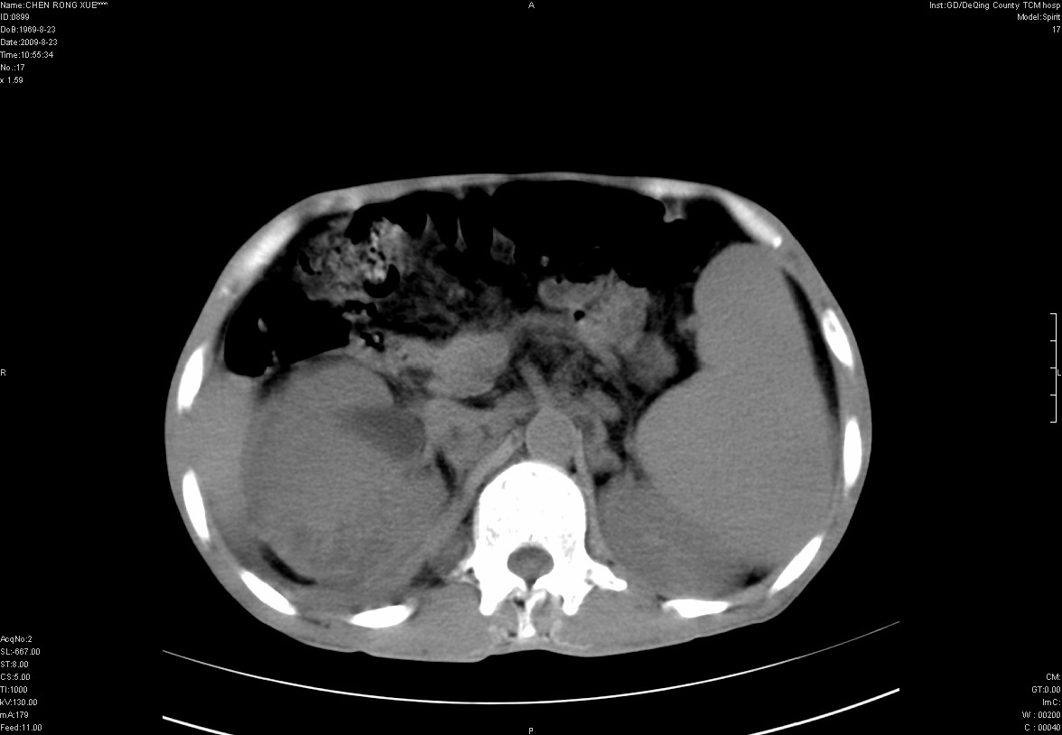
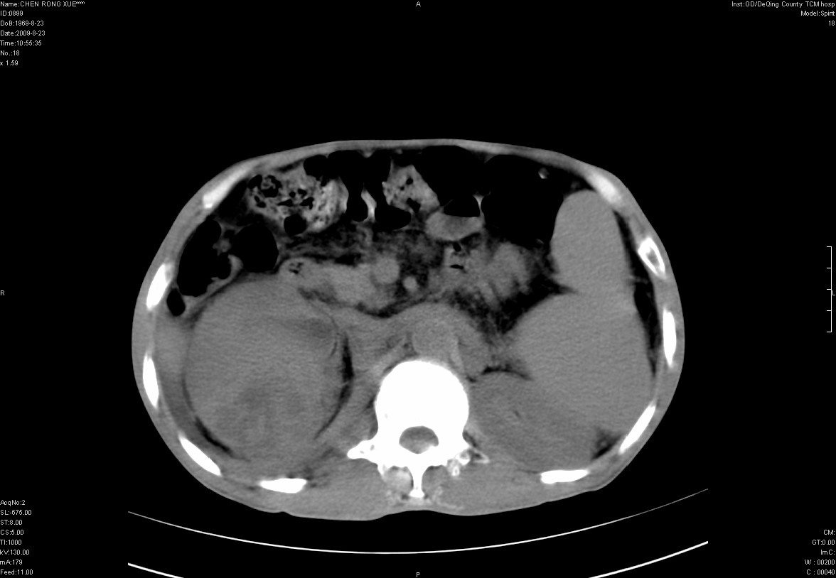
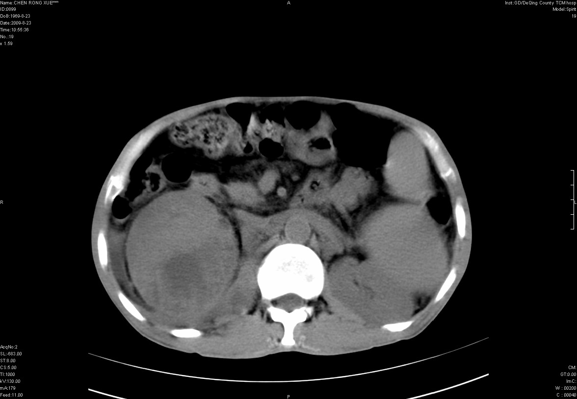
以下是引用zxl51642在2009-8-23 12:56:00的发言:[br]1、肝硬化、脾大;2、慢性胆囊炎;3、右肾占位并右侧腰大肌受侵,考虑恶性可能性大,建议增强扫描进一步检查。
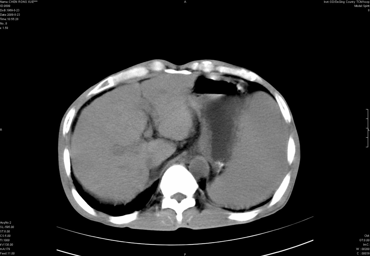
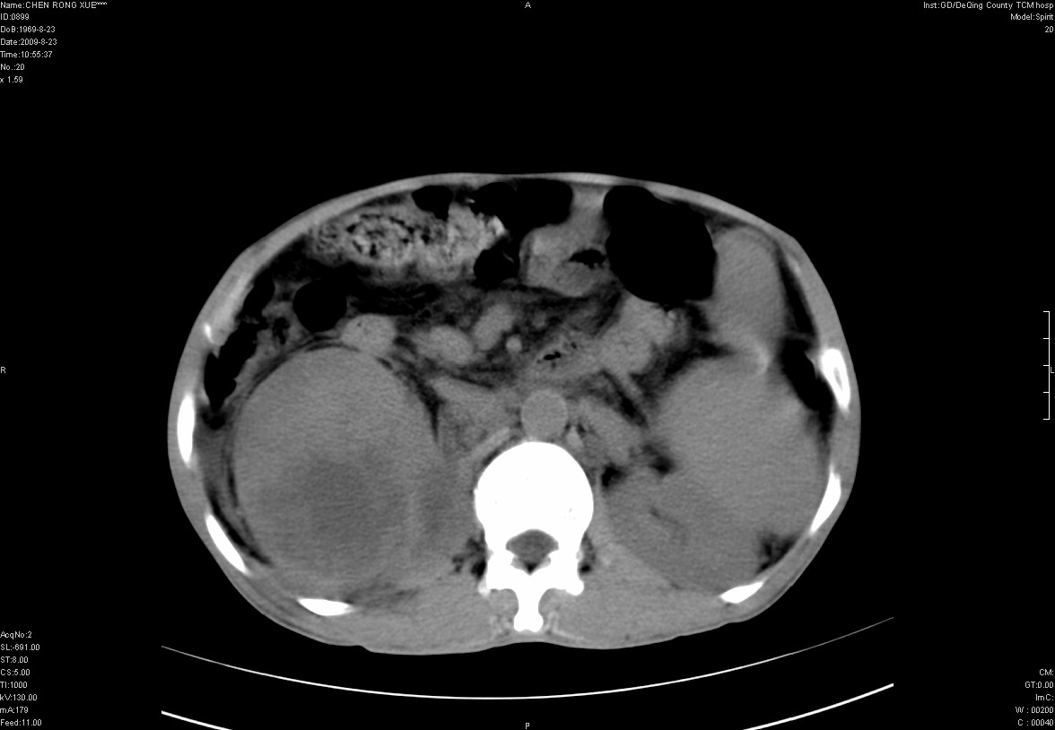
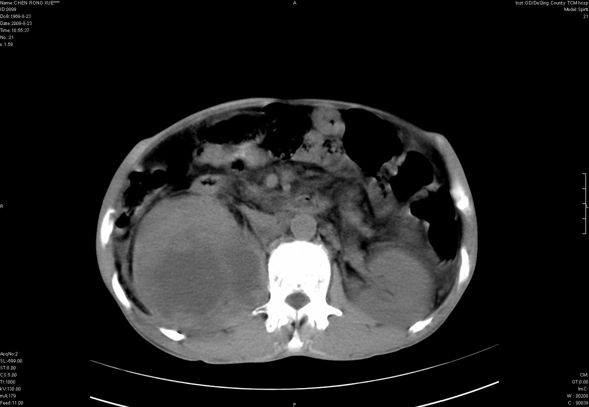
以下是引用qiuleiyu在2009-8-23 15:17:00的发言:[br]1、慢性肝病,肝硬化,脾大,门脉高压。胆囊小结石。[br]2、右肾明显肿大,伴片状低密度灶,累及右侧腰大肌,肿瘤及炎症性病变皆有可能大,建议增强。
以下是引用zjzjr在2009-8-23 17:42:00的发言:[br]1、慢性肝病,肝硬化,脾大,门脉高压。胆囊小结石。[br]右肾脓肿波及肾周,建议增强
以下是引用qiuleiyu在2009-8-23 15:17:00的发言:[br]1、慢性肝病,肝硬化,脾大,门脉高压。胆囊小结石。[br]2、右肾明显肿大,伴片状低密度灶,累及右侧腰大肌,肿瘤及炎症性病变皆有可能大,建议增强。
以下是引用zxl51642在2009-8-23 12:56:00的发言:[br]1、肝硬化、脾大;2、慢性胆囊炎;3、右肾占位并右侧腰大肌受侵,考虑恶性可能性大,建议增强扫描进一步检查。
以下是引用dyqct在2009-8-23 16:53:00的发言:[br][quote]以下是引用qiuleiyu在2009-8-23 15:17:00的发言:[br]1、慢性肝病,肝硬化,脾大,门脉高压。胆囊小结石。[br]2、右肾明显肿大,伴片状低密度灶,累及右侧腰大肌,炎症性病变可能,建议增强。
| 欢迎光临 医影在线 (http://bbs.radida.com/bbs/) | Powered by Discuz! X3.2 |