






































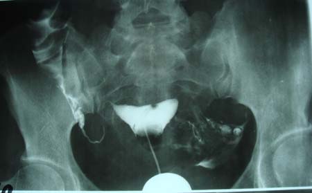
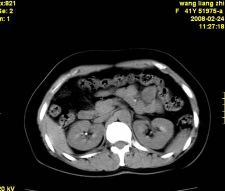
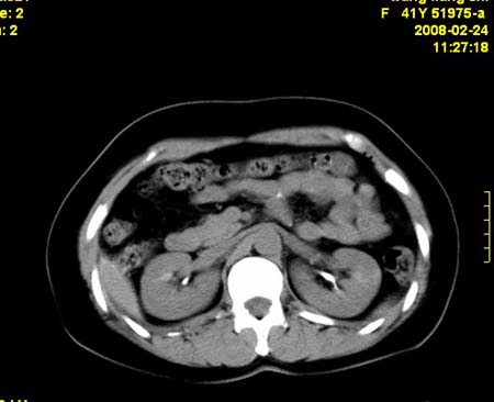
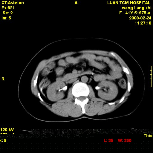
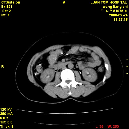
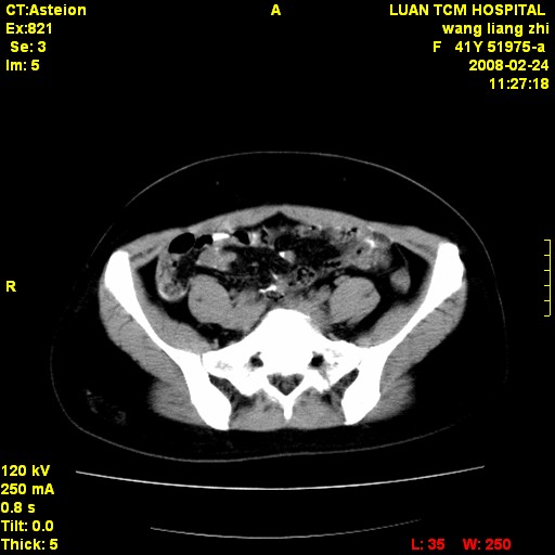
以下是引用dyqct在2009-8-23 16:17:00的发言:[br]考虑:1、造影剂进入腹腔、结肠旁沟、肝周;[br] 2、子宫明显增大(腺肌增生症?);[br] 3、膀胱显影是由于造影剂吸收后经肾分泌进入膀胱的;[br] 4、建议mri检查子宫。
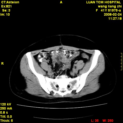
以下是引用dyqct在2009-8-23 16:17:00的发言:[br]考虑:1、造影剂进入腹腔、结肠旁沟、肝周;[br] 2、子宫明显增大(腺肌增生症?);[br] 3、膀胱显影是由于造影剂吸收后经肾分泌进入膀胱的;[br] 4、建议mri检查子宫。
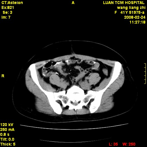
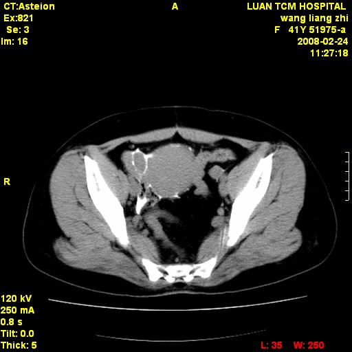
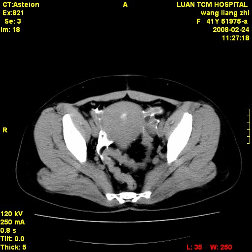
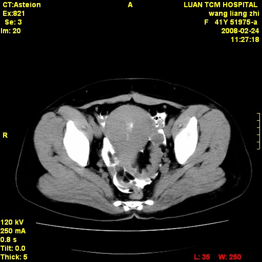
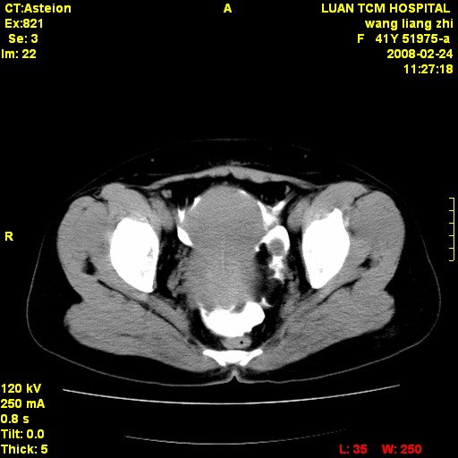
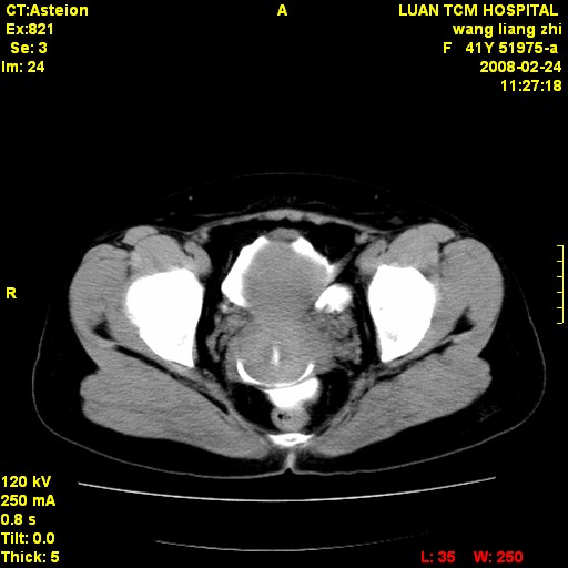
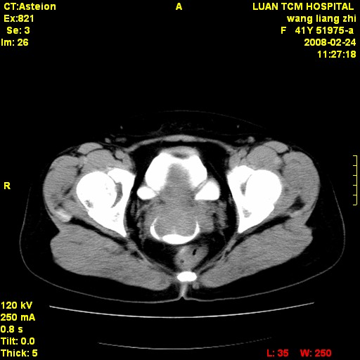
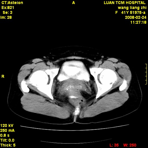
以下是引用zjzjr在2009-8-23 17:28:00的发言:[br]考虑:1、造影剂进入腹腔、结肠旁沟、肝周;[br] 2、子宫明显增大(腺肌增生症?);[br] 3、膀胱显影是由于造影剂吸收后经肾分泌进入膀胱的;[br] 4、建议mri检查子宫。
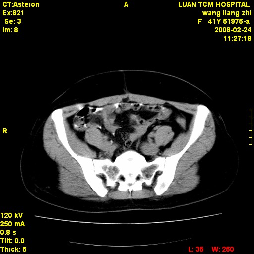
以下是引用dyqct在2009-8-23 16:17:00的发言:[br]考虑:1、造影剂进入腹腔、结肠旁沟、肝周;[br] 2、子宫明显增大(腺肌增生症?);[br] 3、膀胱显影是由于造影剂吸收后经肾分泌进入膀胱的;[br] 4、建议mri检查子宫。
| 欢迎光临 医影在线 (http://bbs.radida.com/bbs/) | Powered by Discuz! X3.2 |