医影在线
标题: CT21827:男 55 发热,胸痛。抗炎两月。 [打印本页]
作者: zsllxy 时间: 2009-8-24 18:03
标题: CT21827:男 55 发热,胸痛。抗炎两月。
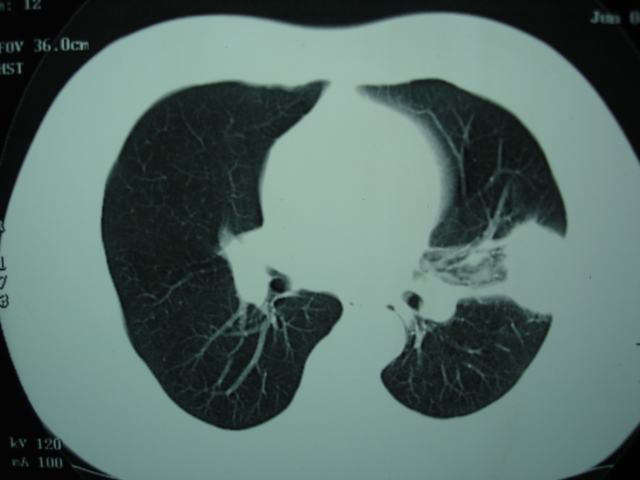
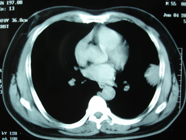
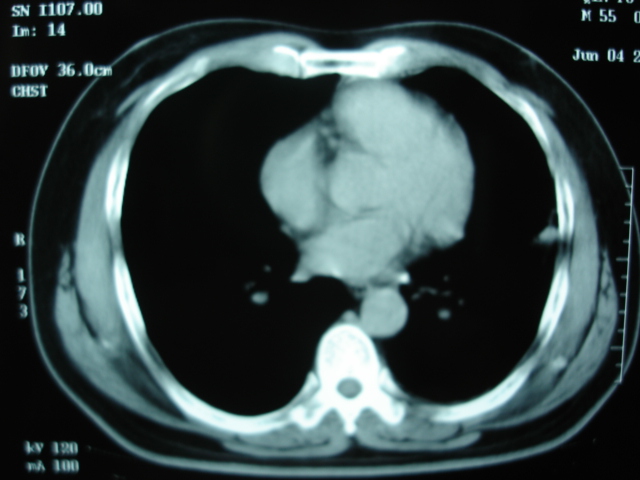
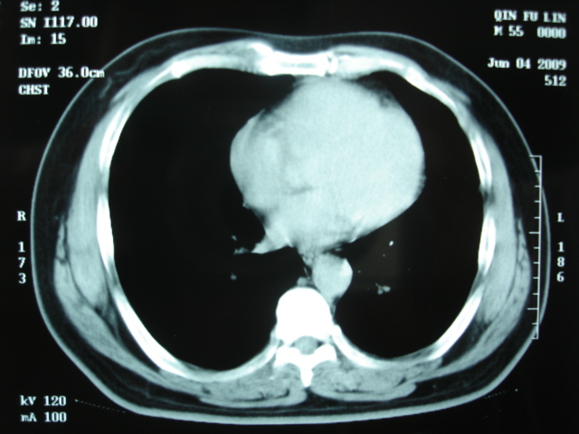
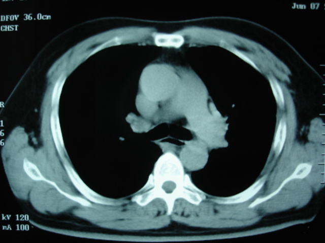
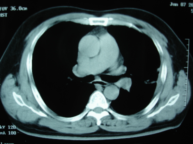
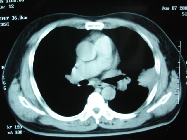
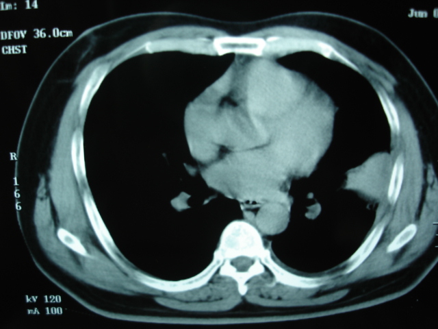
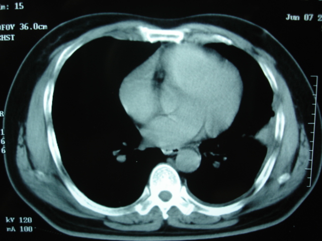
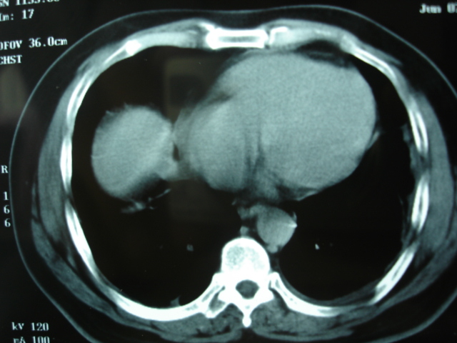
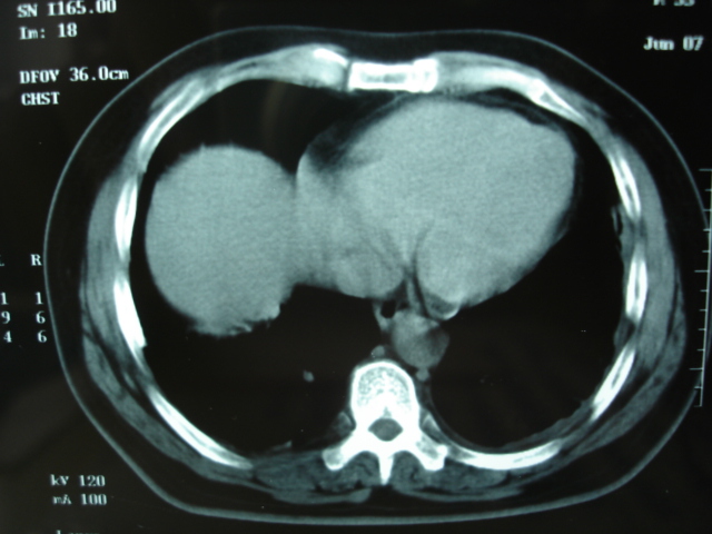
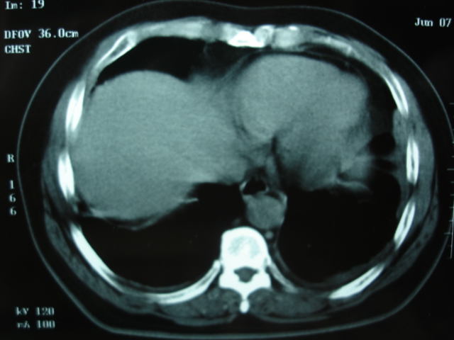
2009.6.4 2009.6.7 2009.8.21


























































第一次ct2009.6.4
第二次ct2009.6.7 住院后ect未见异常,查痰(阴性)大量抗菌素抗炎一个月后病灶明显变小,7月5号出院后回家后口服抗菌素45天
第三次ct2009.8.21
请大家帮忙分析此病例
[本贴已被 zsllxy 于 2009-8-24 16:30:28 修改过]
[本贴已被 zsllxy 于 2009-8-24 16:32:03 修改过]
[本贴已被 jiajie 于 2009-8-24 18:46:27 修改过]
作者: 边生丽 时间: 2009-8-24 18:09
建议穿刺病检
作者: 深泽交通 时间: 2009-8-24 18:18
考虑炎性灶,建议复查,以除外其它诊断
作者: 泪洒红尘 时间: 2009-8-24 18:18
病灶与胸膜成直边征,考虑炎症假瘤可能性大。
作者: zxl51642 时间: 2009-8-24 19:17
标题: 回复:男 55 发热,胸痛。抗炎两月。2009.6.4 2009.6.7 2009.8
以下是引用深泽交通医院在2009-8-24 10:18:00的发言:[br]考虑炎性灶,建议复查,以除外其它诊断
作者: zjzjr 时间: 2009-8-24 20:30
炎症,最厚一次已吸收
作者: 随光逐影 时间: 2009-8-24 23:15
考虑左肺上叶炎症感染(炎性假瘤可能)。
作者: 同 时间: 2009-8-24 23:33
考虑 左肺上叶炎症感染 [炎性假瘤可能性大]。
作者: 黑白光影 时间: 2009-8-25 01:09
考虑左肺上叶炎症感染(炎性假瘤可能)。
作者: 宇宙CT 时间: 2009-8-25 01:15
考虑 左肺上叶炎症感染 [炎性假瘤可能性大]。
不排除肺癌
作者: zb5205 时间: 2009-8-25 01:46
考虑左肺上叶炎症感染(炎性假瘤可能)。
作者: 影象小辈 时间: 2009-8-25 01:49
考虑左肺上叶炎症感染(炎性假瘤可能)。
作者: LIAOQIANG 时间: 2009-8-25 18:29
考虑左肺上叶炎性病变。
作者: jinguoji 时间: 2009-9-9 12:18
考虑左肺上叶炎症感染,以炎性假瘤可能性大。
| 欢迎光临 医影在线 (http://bbs.radida.com/bbs/) |
Powered by Discuz! X3.2 |