医影在线
标题: CT21833:同事奶奶,73岁,腹痛一年,夜晚较重,潜血+++ [打印本页]
作者: sdzyy 时间: 2009-8-25 01:13
标题: CT21833:同事奶奶,73岁,腹痛一年,夜晚较重,潜血+++
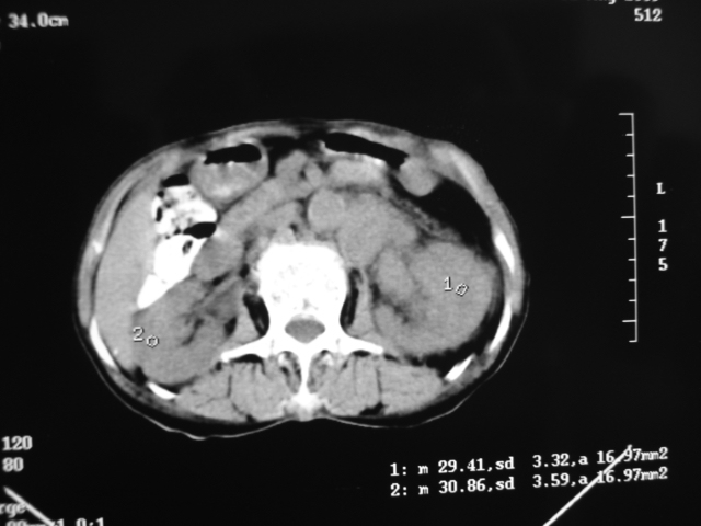
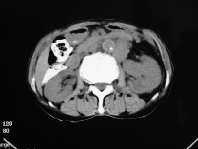
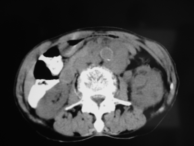
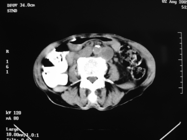
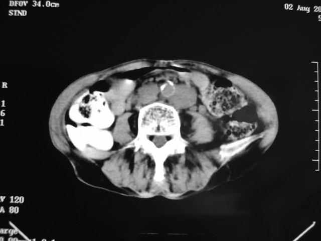
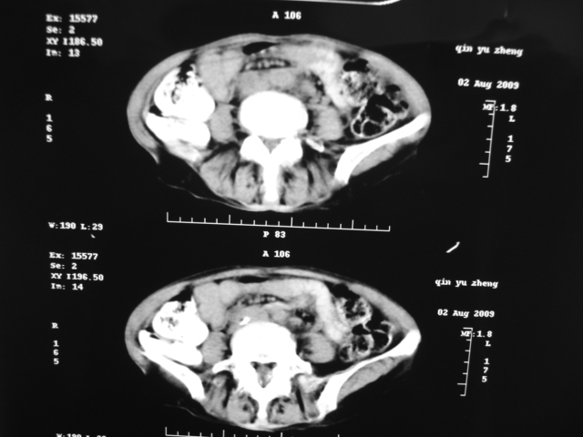
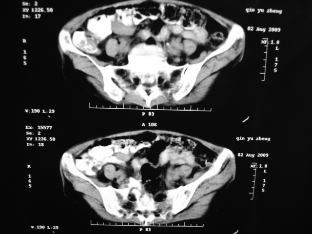
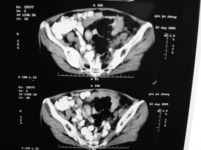
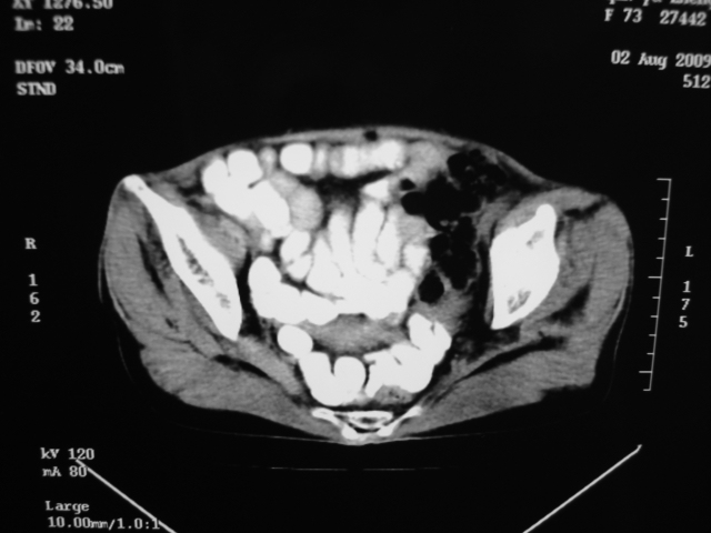
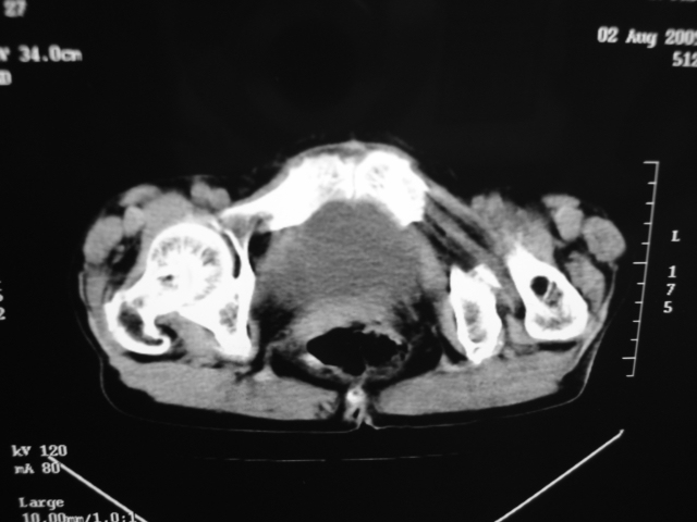
同事奶奶,73岁,腹痛一年,夜晚较重,潜血+++,拒绝增强,考虑左肾ca并腹膜后转移;请各位老师帮忙看看,谢谢!























[本贴已被 jiajie 于 2009-8-24 18:50:53 修改过]
[本贴已被 sdzyy 于 2009-8-24 20:49:58 修改过]
作者: zxl51642 时间: 2009-8-25 03:03
左肾癌侵及输尿管上段,腹膜后多发淋巴结转移,脾脏钙化灶。至于潜血+++,要考虑消化道病变,本次ct片肠腔未见明显异常。
作者: bmw011 时间: 2009-8-25 10:16
标题: 回复:ct21833:同事奶奶,73岁,腹痛一年,夜晚较重,潜血+
以下是引用zxl51642在2009-8-24 19:03:00的发言:[br]左肾癌侵及输尿管上段,腹膜后多发淋巴结转移,脾脏钙化灶。至于潜血+++,要考虑消化道病变,本次ct片肠腔未见明显异常。
潜血+++是尿还是便?如果是便,则考虑肾癌侵犯降结肠可能。
作者: yuhongjun 时间: 2009-8-25 13:37
支持楼上。
作者: 随光逐影 时间: 2009-8-25 15:05
1)考虑左肾癌侵犯肾盂并腹膜后淋巴结转移。2)脾脏钙化灶。
作者: zzq4480 时间: 2009-8-25 16:09
支持
作者: zjzjr 时间: 2009-8-25 17:40
查查一胸部,不除外肺癌伴左侧肾上腺,腹膜后淋巴结及左肾转移.
作者: 黑白光影 时间: 2009-8-25 18:05
定位像见上肺野也很糟糕,支持7楼。
作者: LIAOQIANG 时间: 2009-8-25 18:09
考虑左肾癌侵犯肾盂并腹膜后淋巴结转移。
| 欢迎光临 医影在线 (http://bbs.radida.com/bbs/) |
Powered by Discuz! X3.2 |