医影在线

标题: CT21850:女,56岁,右中指淤肿,右手麻痹1天 [打印本页]

作者: jslu503    时间: 2009-8-25 06:10
标题: CT21850:女,56岁,右中指淤肿,右手麻痹1天
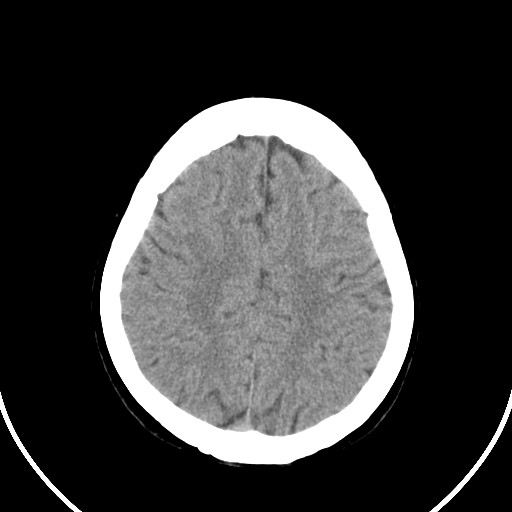
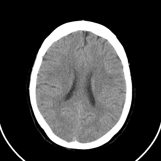
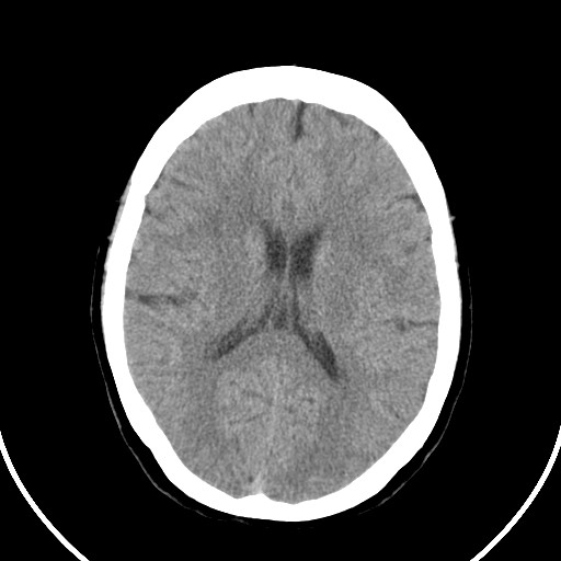
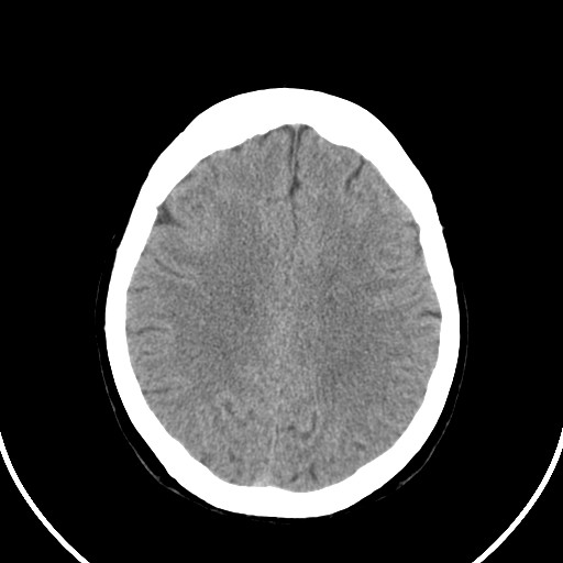
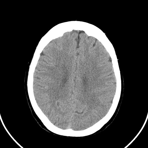
女,56岁,右中指淤肿,右手麻痹1天























[本贴已被 jiajie 于 2009-8-25 6:38:55 修改过]

作者: peijunlong    时间: 2009-8-25 06:32
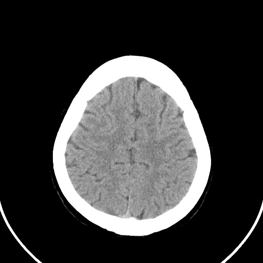
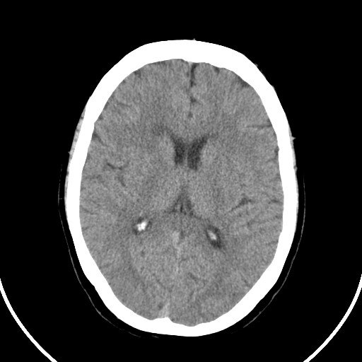
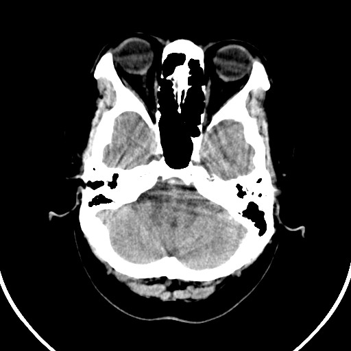
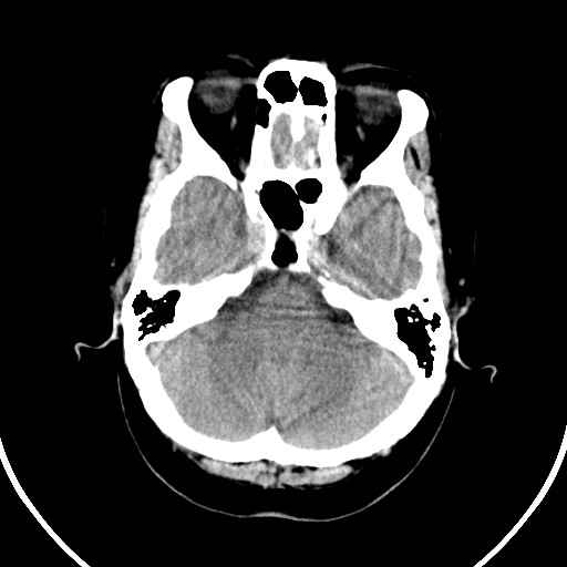
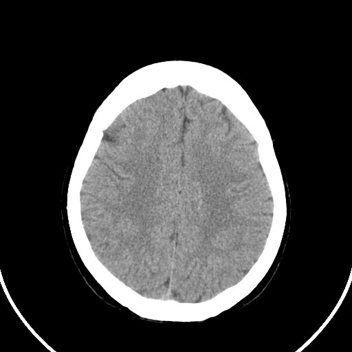
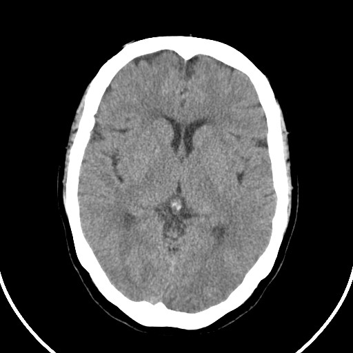
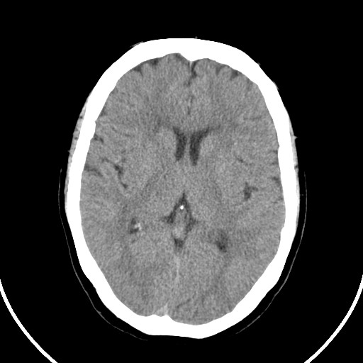
右侧侧脑室旁脑白质腔隙性脑梗死。
作者: sxz2001    时间: 2009-8-25 06:33
右侧基底节多发小梗塞
作者: bmw011    时间: 2009-8-25 09:52
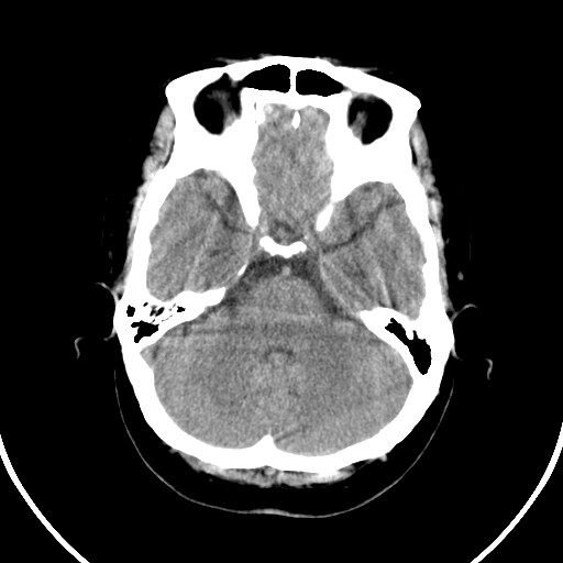
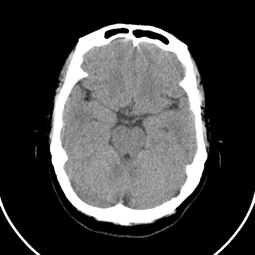
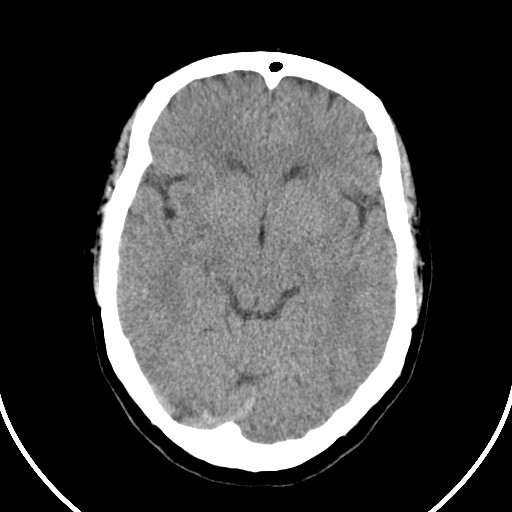
右枕叶低密度区伴硬膜下血肿——增强扫描或mri。
作者: 987654zwf    时间: 2009-8-25 15:05
右侧基底节多发小梗塞
作者: huangyinshan    时间: 2009-8-25 15:37
右侧基底节多发小梗塞
作者: 彭    时间: 2009-8-25 17:51
右基底结区腔梗
作者: jipigu110    时间: 2009-8-25 18:42
右侧基底节区腔隙性脑梗塞
作者: 卜一    时间: 2009-8-25 18:43
右侧基底节多发腔梗!
作者: zjzjr    时间: 2009-8-25 19:09
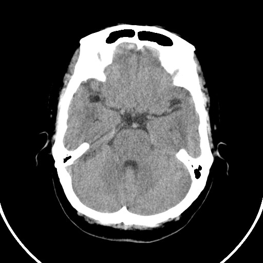
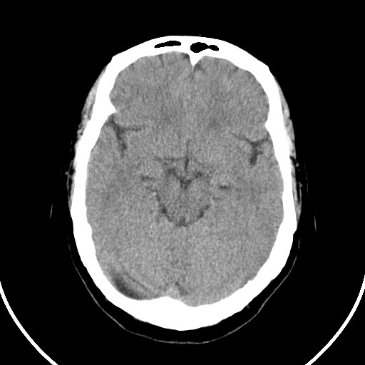
双侧侧脑室额角旁对称性略低密度影,边缘模糊,无占位效应,考虑轻度脑白质稀疏症(病人有高血压吗).,右枕叶低密度影多为伪影,不放心薄扫一下.
作者: 随光逐影    时间: 2009-8-25 19:39
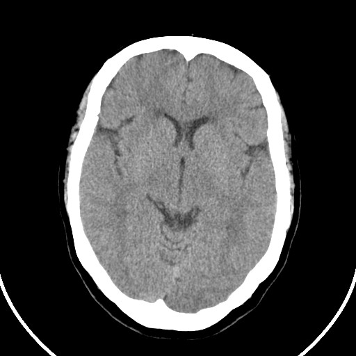
考虑脑白质病。
作者: zxl51642    时间: 2009-8-25 19:59
考虑脑白质病
作者: 施明    时间: 2009-8-25 20:18
右枕叶条状低密度影不应该忽略可能极具意义
作者: 黑白光影    时间: 2009-8-26 17:33
考虑脑白质病。




欢迎光临 医影在线 (http://bbs.radida.com/bbs/) Powered by Discuz! X3.2