医影在线
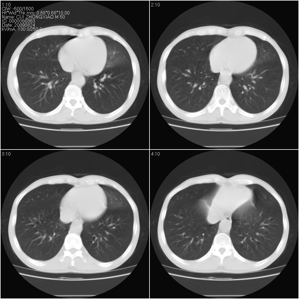
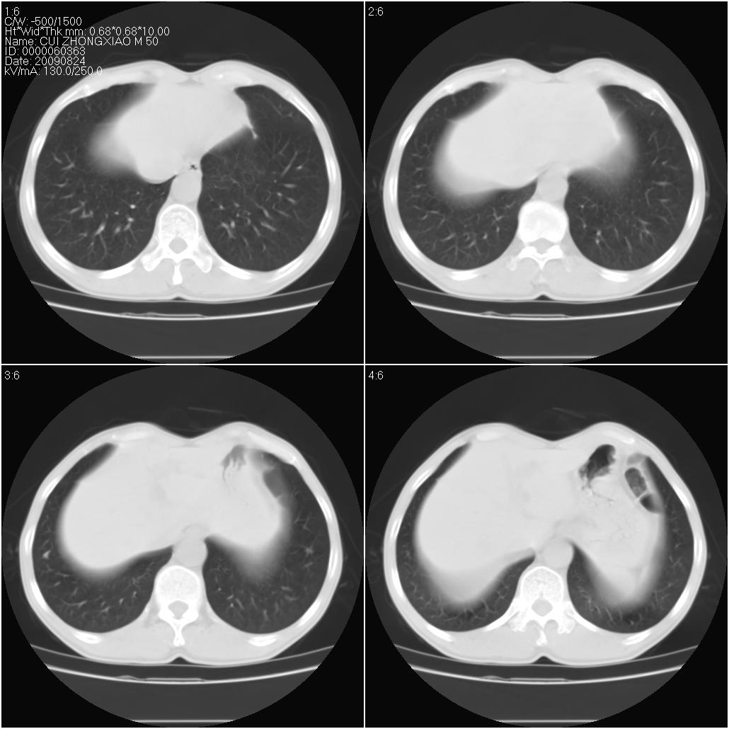
标题: CT21851:男性,50岁。间断性咳嗽半年。 [打印本页]
作者: fanshl 时间: 2009-8-25 15:49
标题: CT21851:男性,50岁。间断性咳嗽半年。














[本贴已被 jiajie 于 2009-8-25 18:30:54 修改过]
作者: huangyinshan 时间: 2009-8-25 16:00
肺泡蛋白沉着症
作者: 卜一 时间: 2009-8-25 18:41
左侧感染!不排除局限性肺泡蛋白沉着症!
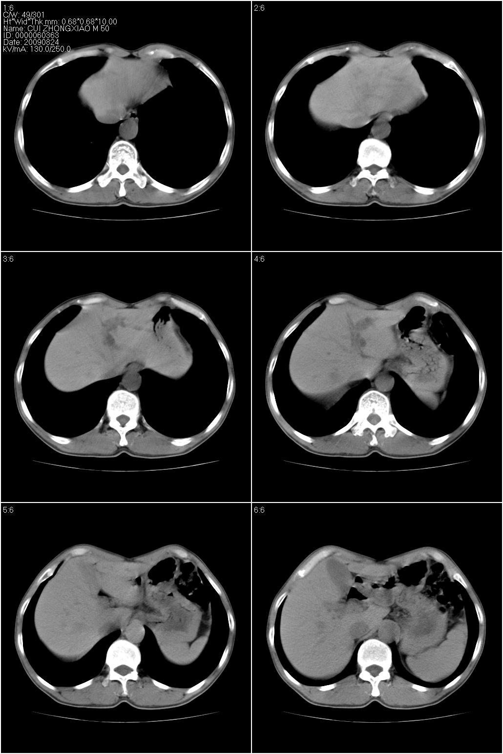
作者: zjzjr 时间: 2009-8-25 19:14
标题: 1
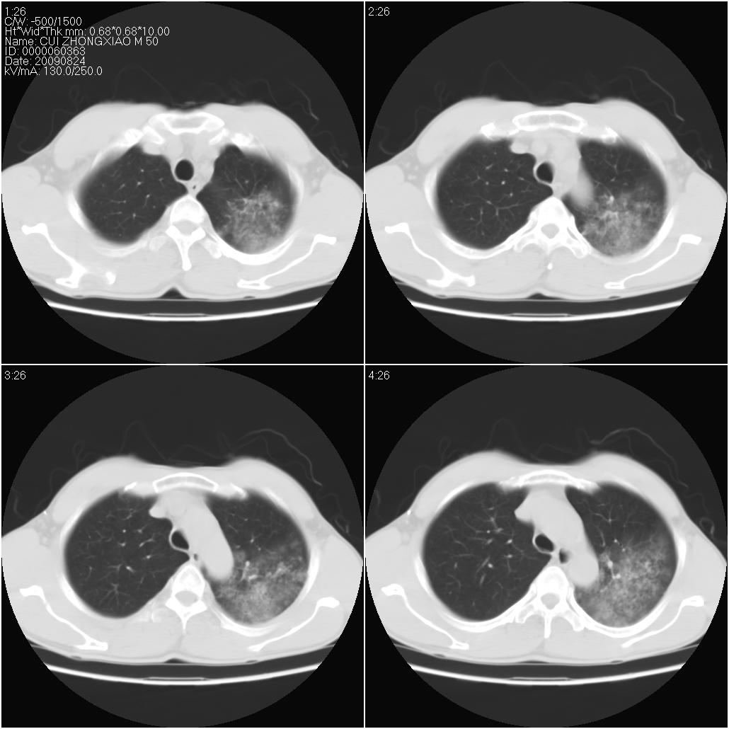
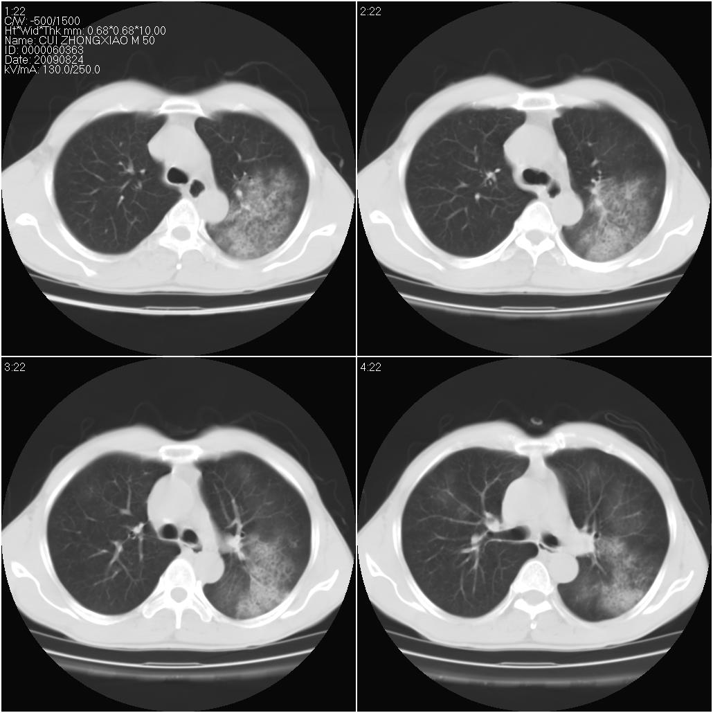
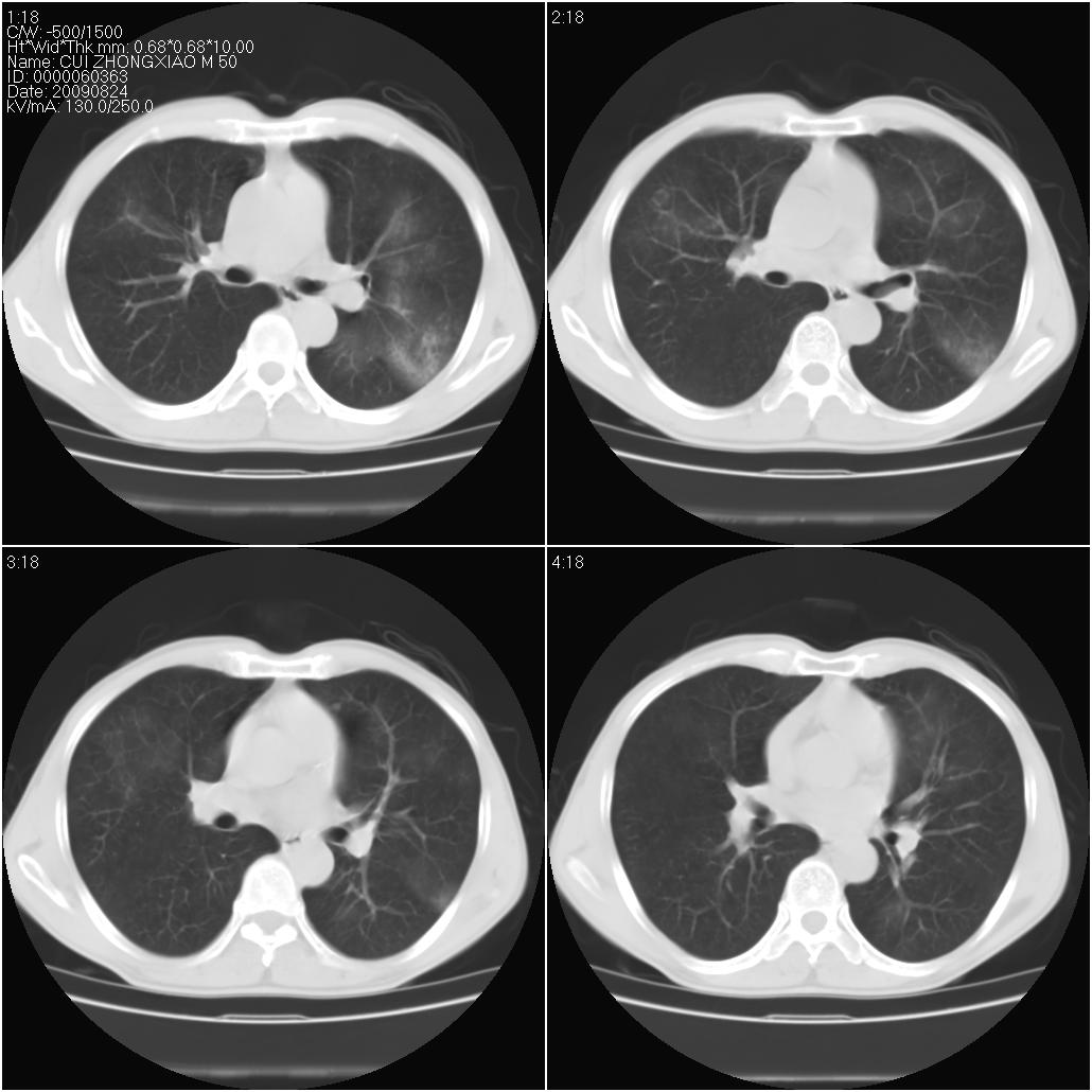
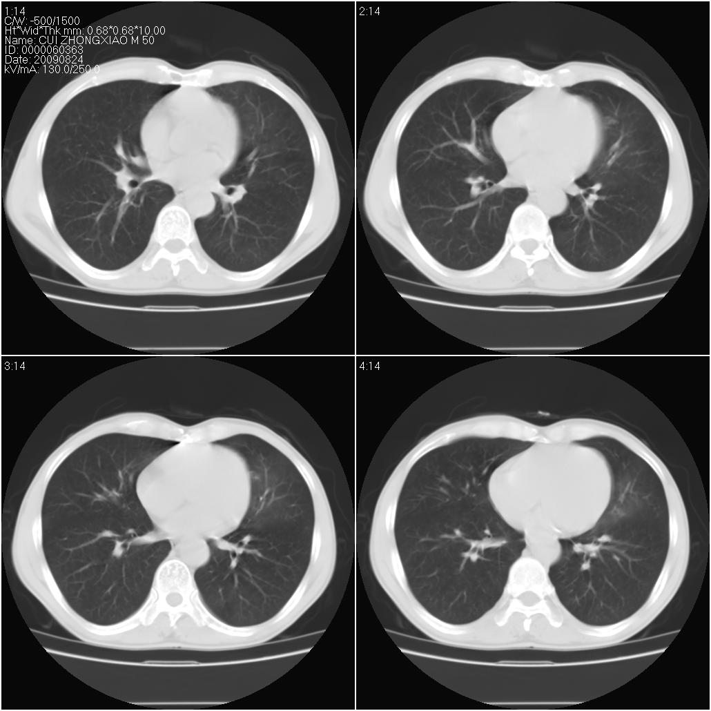
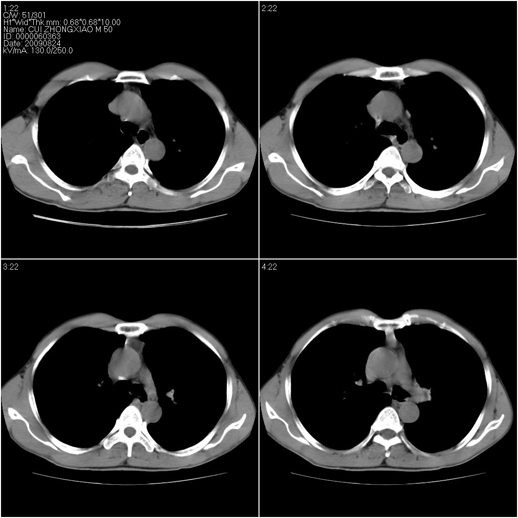
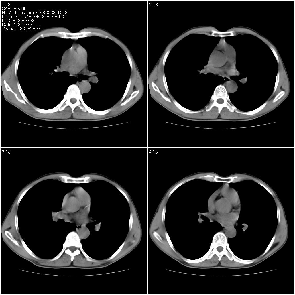
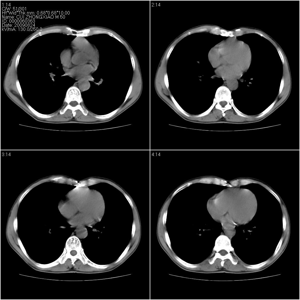
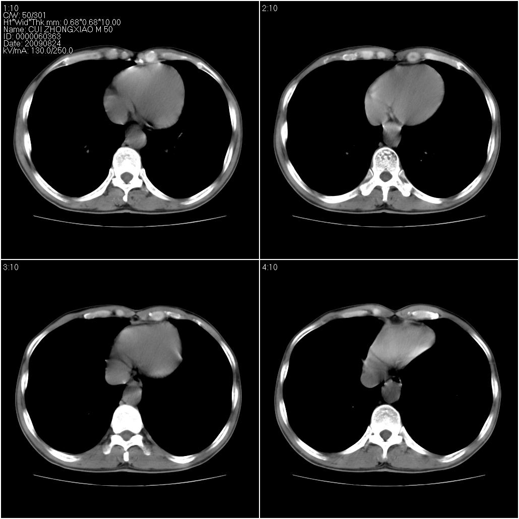
磨玻璃样改变(左肺及右肺上叶前段),边缘模糊,考虑炎症,建议严格抗炎治疗后复查除外肺泡蛋白沉积症或肺泡出血(病人有咯血吗) 肺泡癌.
肝左叶肝内胆管扩张,进一步检查.
[本贴已被 zjzjr 于 2009-8-25 11:15:24 修改过]
作者: 随光逐影 时间: 2009-8-25 19:40
支持4楼意见。
作者: zxl51642 时间: 2009-8-25 19:58
支持4楼意见。
作者: jiangjing 时间: 2009-8-25 21:17
磨玻璃样改变(左肺及右肺上叶前段),边缘模糊,考虑炎症,建议严格抗炎治疗后复查除外肺泡蛋白沉积症或肺泡出血(病人有咯血吗) 肺泡癌.
肝左叶肝内胆管扩张,进一步检查.
作者: redrain100 时间: 2009-8-25 21:41
双肺磨玻璃征改变。。。支持楼上
作者: yuhongjun 时间: 2009-8-26 04:54
支持4楼意见。
作者: x-man 时间: 2009-8-26 08:10
考虑以感染性病变,以结核可能性大,建议治疗后复查。
作者: 黑白光影 时间: 2009-8-26 17:36
磨玻璃样改变(左肺及右肺上叶前段),边缘模糊,考虑炎症,建议严格抗炎治疗后复查除外肺泡蛋白沉积症或肺泡出血(病人有咯血吗) 肺泡癌.
肝左叶肝内胆管扩张,进一步检查.
支持
| 欢迎光临 医影在线 (http://bbs.radida.com/bbs/) |
Powered by Discuz! X3.2 |