





















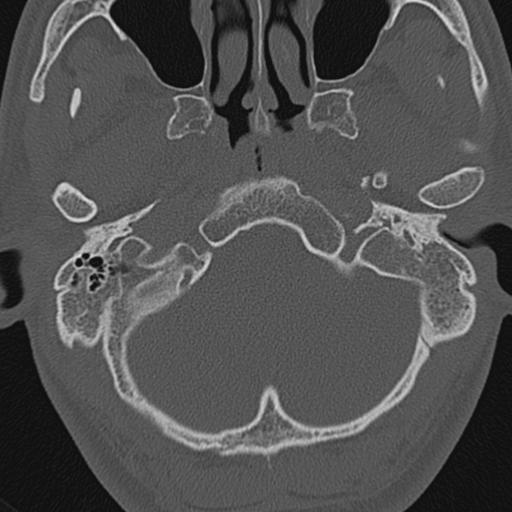
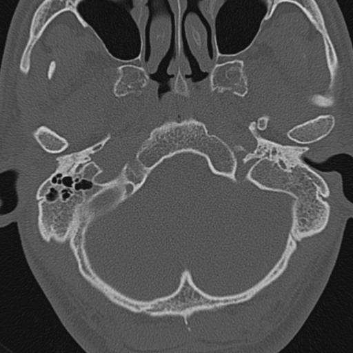
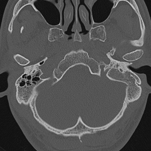
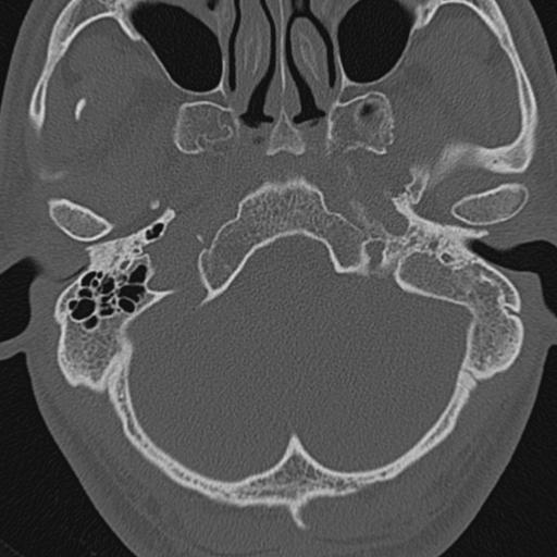
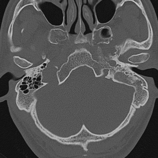
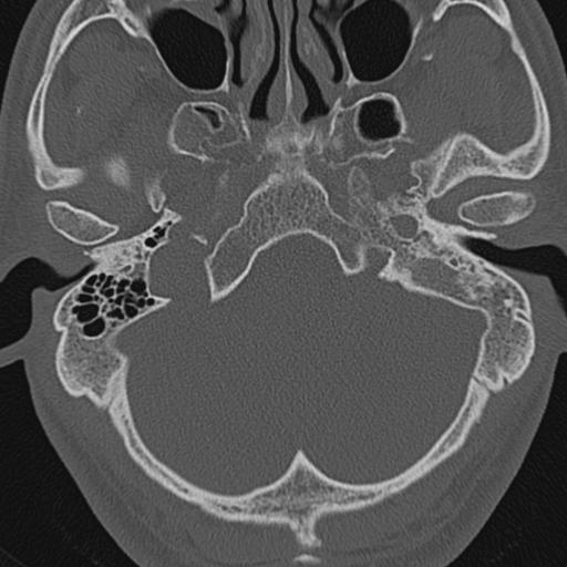
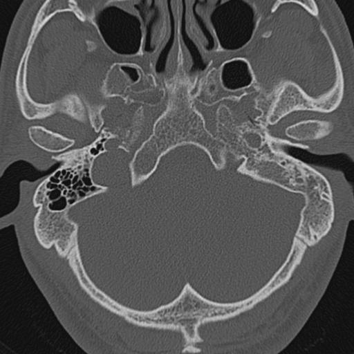
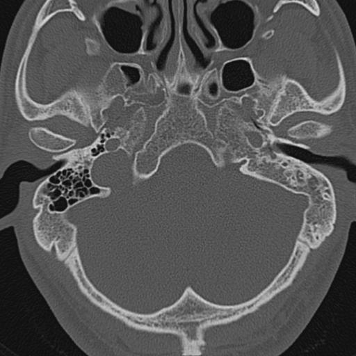
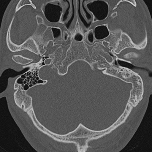
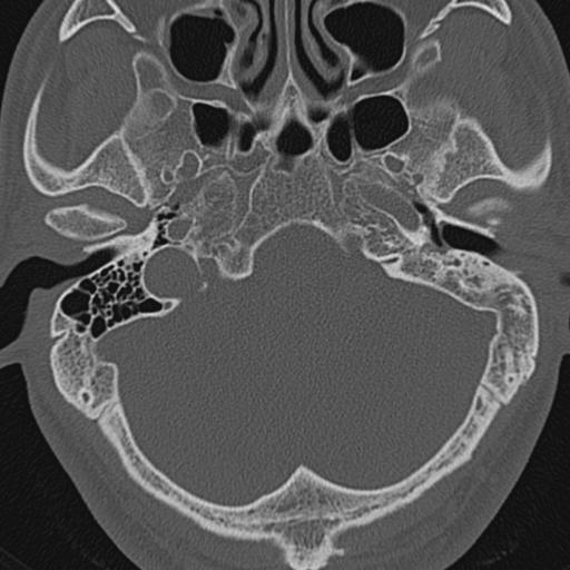
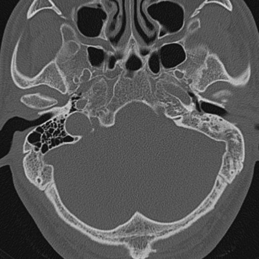
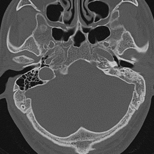
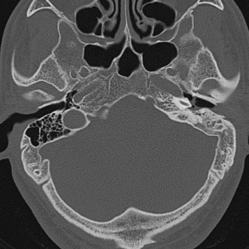
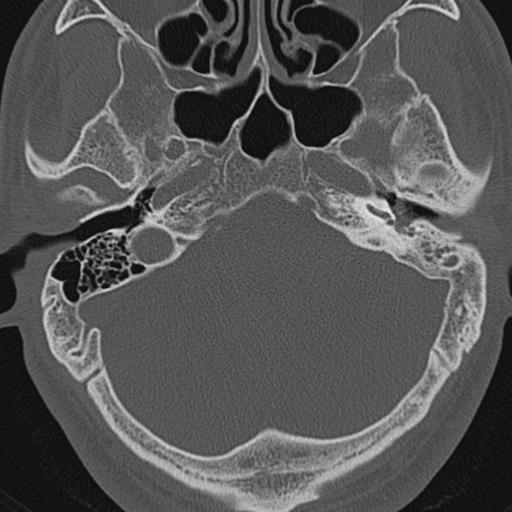
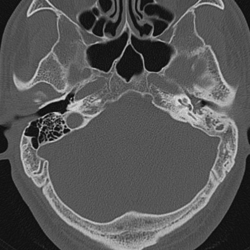
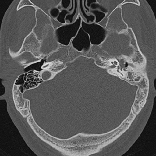
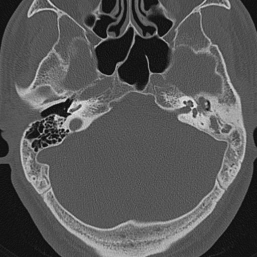
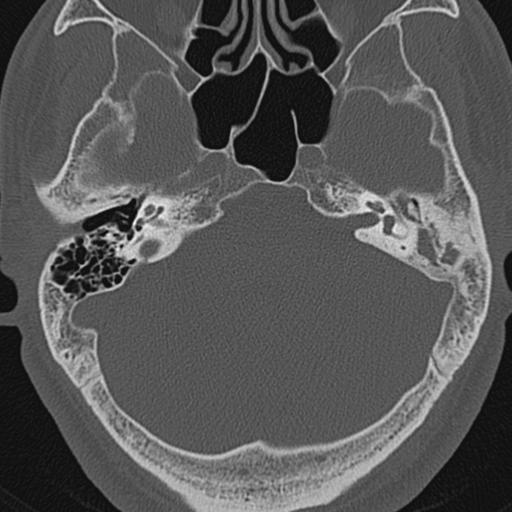
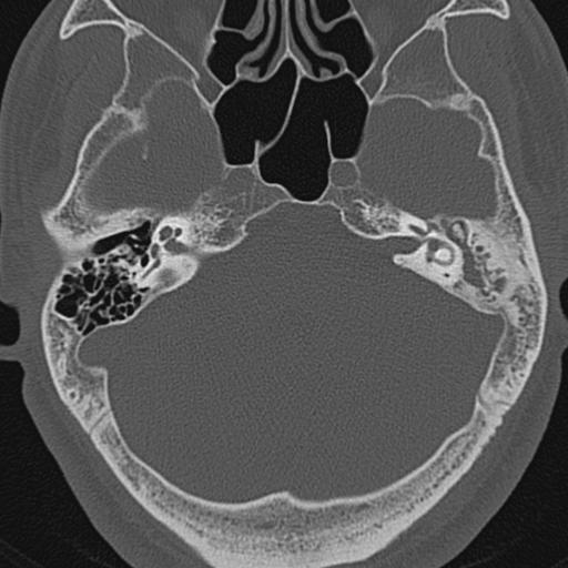
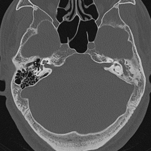
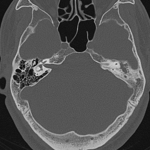
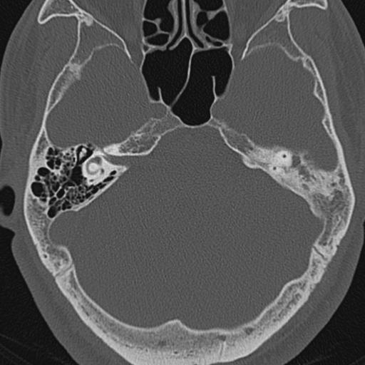
以下是引用zxl51642在2009-8-25 13:37:00的发言:[br]1、左侧慢性硬化型中耳乳突炎(中耳鼓室腔及听小骨受累),并胆脂瘤形成;2、左侧外耳道软组织密度影填塞,考虑炎性肉芽肿,建议结合临床;3、右侧颈静脉窝较左侧明显扩大,不排除颈静脉球瘤,建议mr进一步检查。
以下是引用zxl51642在2009-8-25 13:37:00的发言:[br]1、左侧慢性硬化型中耳乳突炎(中耳鼓室腔及听小骨受累),并胆脂瘤形成;2、左侧外耳道软组织密度影填塞,考虑炎性肉芽肿,建议结合临床;3、右侧颈静脉窝较左侧明显扩大,不排除颈静脉球瘤,建议mr进一步检查。
以下是引用随光逐影在2009-8-25 19:05:00的发言:[br]1)左侧慢性中耳乳突炎(肉芽肿或胆脂瘤形成),左侧外耳道炎性肉芽肿。2)右侧颈静脉球高位。
| 欢迎光临 医影在线 (http://bbs.radida.com/bbs/) | Powered by Discuz! X3.2 |