医影在线

标题: CT21860:请会诊! [打印本页]

作者: 心愿    时间: 2009-8-26 02:52
标题: CT21860:请会诊!
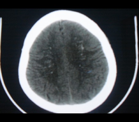
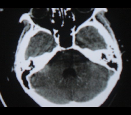
女性,60岁。ct号27245。患者今晨突发头晕,伴恶心,无呕吐。患者10年前曾行甲状腺切除术。










[本贴已被 翁志蓬 于 2009-8-25 22:47:10 修改过]

作者: 心愿    时间: 2009-8-26 02:53
请教各位老师:该病例能否考虑:甲状旁腺功能低下所致脑内钙化?
作者: 随光逐影    时间: 2009-8-26 03:13
结合病史,考虑甲状旁腺机能低下;请结合相关实验室检查。
作者: 子期    时间: 2009-8-26 03:39
结合病史,考虑甲状旁腺机能低下
作者: qiushi    时间: 2009-8-26 04:44
甲状旁腺功能低下或假甲状旁腺功能低下:苍白球钙化呈对称性八字形、圆形;壳核呈八字形或尖向下的三角形;尾状核头钙化呈倒八字形,体尾部同时钙化时则可以显示出尾状核的整体形态;丘脑的钙化为双侧类圆形,一侧全部钙化时表现为尖向上的三角形;齿状核钙化时为对称不规则状,典型者为肾形;脑叶深部钙化为多发条状,好发于额顶叶。
作者: w_houxiaoli    时间: 2009-8-26 05:06
根据病史结合ct检查应该考虑甲状旁腺功能低下,建议做相关的化验检查
作者: zjzjr    时间: 2009-8-26 05:11
结合病史,考虑甲状旁腺机能低下;请结合相关实验室检查。
作者: yuhongjun    时间: 2009-8-26 05:20
根据病史结合ct检查应该考虑甲状旁腺功能低下,建议做相关的化验检查
作者: 513ytb    时间: 2009-8-26 05:22
甲状旁腺功能低下所致脑内钙化.
作者: duguo    时间: 2009-8-26 06:09
标题: 回复:请会诊!
以下是引用513ytb在2009-8-25 21:22:00的发言:[br]甲状旁腺功能低下所致脑内钙化.

作者: 小峰    时间: 2009-8-26 07:24
甲状旁腺功能低下所致脑内钙化.   支持
作者: x-man    时间: 2009-8-26 08:04
考虑甲旁低所致脑内钙化。
作者: 卜一    时间: 2009-8-26 14:57
甲状旁腺功能低下所致脑内钙化.
支持 !
作者: dyqct    时间: 2009-8-26 15:38
大家意见一致!
作者: shibing    时间: 2009-8-26 15:40
患者10年前曾行甲状腺切除术。术后有无低钙症状,因为脑内钙化需鉴别疾病很多。
作者: zxl51642    时间: 2009-8-26 16:25
甲状旁腺功能低下所致脑内钙化。
支持 !会不会10年前甲状腺切除时连甲状旁腺一起切除了?建议完善实验室检查。
作者: aka502    时间: 2009-8-26 16:48
甲状旁腺功能低下所致脑内钙化.   支持.
作者: pujunzhi    时间: 2009-8-26 16:52
支持甲状旁腺功能低下所致脑内钙化.
作者: 深泽交通    时间: 2009-8-26 17:50
标题: 回复:ct21860:请会诊!
以下是引用随光逐影在2009-8-25 19:13:00的发言:[br]结合病史,考虑甲状旁腺机能低下;请结合相关实验室检查。

作者: 黑白光影    时间: 2009-8-26 18:06
支持楼主考虑。
作者: LIAOQIANG    时间: 2009-8-26 18:12
结合病史,考虑甲状旁腺机能低下。
作者: yxhymx    时间: 2009-8-26 19:25
支持甲旁减,
作者: nehelijun    时间: 2009-8-26 20:25
甲状旁腺功减致脑部钙盐异常沉积




欢迎光临 医影在线 (http://bbs.radida.com/bbs/) Powered by Discuz! X3.2