
以下是引用黑白光影在2009-8-26 12:23:00的发言:[br]支持第二跖骨头骨软骨炎并退行性骨关节病
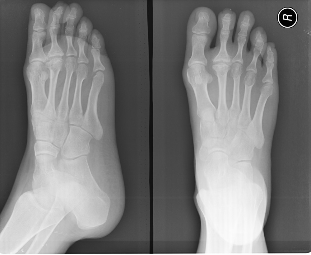
以下是引用拾荒者在2009-8-26 20:50:00的发言:[br]跖骨头骨骺缺血性坏死又称freiberg病或kö;hlerⅱ病。好发于第二跖骨,偶见于第三跖骨,第四跖骨罕见。发病以13~20岁最多,平均19岁。女性居多。发病与外伤、职业及劳动体位密切相关。[br]本例典型的跖骨头骨软骨炎并跖趾关节退行性变。
以下是引用zjzjr在2009-8-26 12:19:00的发言:[br]支持第二跖骨头骨软骨炎并退行性骨关节病
以下是引用yuhongjun在2009-8-26 23:15:00的发言:[br][quote]以下是引用拾荒者在2009-8-26 20:50:00的发言:[br]跖骨头骨骺缺血性坏死又称freiberg病或kö;hlerⅱ病。好发于第二跖骨,偶见于第三跖骨,第四跖骨罕见。发病以13~20岁最多,平均19岁。女性居多。发病与外伤、职业及劳动体位密切相关。[br]本例典型的跖骨头骨软骨炎并跖趾关节退行性变。
以下是引用黑白光影在2009-8-26 12:23:00的发言:[br]支持第二跖骨头骨软骨炎并退行性骨关节病
以下是引用黑白光影在2009-8-26 12:23:00的发言:[br]支持第二跖骨头骨软骨炎并退行性骨关节病
| 欢迎光临 医影在线 (http://bbs.radida.com/bbs/) | Powered by Discuz! X3.2 |