医影在线
标题: X6225:足部肿瘤。 [打印本页]
作者: zb5205 时间: 2009-8-26 19:26
标题: X6225:足部肿瘤。


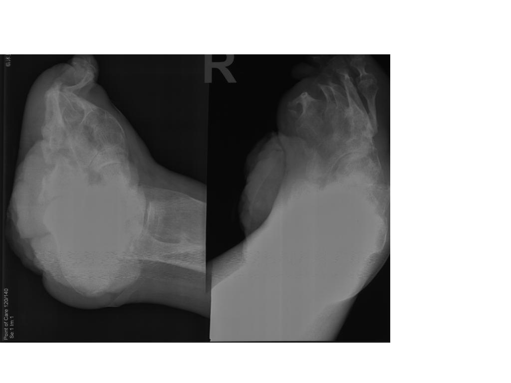
老年男性,麻风病患者已治愈,左下肢议肢,现发现右足踝部较大溃疡半年余,恶臭,专科检查见右足踝部有一菜花样肿物,触之易出血,病理高分化鳞癌。全身体格检查尚可。请教肿瘤和麻风病的关系?菜花样肿物
[本贴已被 jiajie 于 2009-8-26 21:00:59 修改过]
作者: 黑白光影 时间: 2009-8-26 20:16
标题: 。
1、麻风病骨改变。2、软组织皮肤鳞状细胞癌。
[本贴已被 黑白光影 于 2009-8-26 12:19:21 修改过]
作者: zjzjr 时间: 2009-8-26 20:21
两种病,不一定有关联.
作者: zxl51642 时间: 2009-8-26 20:44
1、麻风病骨改变。2、踝部软组织皮肤鳞状细胞癌,与慢性溃疡经久不愈及感染有关。
作者: qsbaomingcheng 时间: 2009-8-26 20:48
1、麻风病骨改变。2、踝部软组织皮肤鳞状细胞癌,与慢性溃疡经久不愈及感染有关。
支持
作者: zb5205 时间: 2009-8-26 23:40
请教慢性溃疡经久不愈及感染与麻风病骨有本质的联系么?
作者: dyqct 时间: 2009-8-27 00:20
应该没有关系。
作者: sunbin 时间: 2009-8-27 00:23
麻风病骨改变,软组织肿瘤。
作者: zxl51642 时间: 2009-8-27 00:25
麻风病不单纯有骨质改变,常累及多系统,包括皮损。
作者: shibing 时间: 2009-8-27 01:01
1、麻风病骨改变。2、踝部软组织皮肤鳞状细胞癌,与慢性溃疡经久不愈及感染有关。两者没有关系
作者: jiahui7z 时间: 2009-8-27 02:13
学习了
作者: 随光逐影 时间: 2009-8-27 02:56
支持 1)麻风病骨改变。2)踝部软组织皮肤鳞状细胞癌,与慢性溃疡经久不愈及感染有关。
作者: 拾荒者 时间: 2009-8-27 04:35
麻风病骨改变,与局部癌变没有直接关系吧!
作者: zhanggenliang 时间: 2009-8-27 05:37
麻风病骨质改变。皮肤癌与感染经久不愈有关
作者: yuhongjun 时间: 2009-8-27 07:17
支持 1)麻风病骨改变。2)踝部软组织皮肤鳞状细胞癌,与慢性溃疡经久不愈及感染有关。
作者: 592438394 时间: 2009-8-27 17:06
学习了
作者: 胡宇 时间: 2009-8-28 07:07
1、麻风病骨改变。2、踝部软组织皮肤鳞状细胞癌,与慢性溃疡经久不愈及感染有关。
作者: 泪洒红尘 时间: 2009-8-28 17:33
学习了
作者: gaoyang8 时间: 2009-8-28 19:15
学习了
作者: 513ytb 时间: 2009-8-28 22:53
1、麻风病骨改变。2、踝部软组织皮肤鳞状细胞癌,与慢性溃疡经久不愈及感染有关。
作者: 影像之路 时间: 2009-8-29 01:11
1、麻风病骨改变。2、踝部软组织皮肤鳞状细胞癌,与慢性溃疡经久不愈及感染有关。
支持
作者: hzmdoc 时间: 2009-8-29 03:21
标题: 回复:x6225:足部肿瘤。
以下是引用qsbaomingcheng在2009-8-26 12:48:00的发言:[br]1、麻风病骨改变。2、踝部软组织皮肤鳞状细胞癌,与慢性溃疡经久不愈及感染有关。[br]支持
作者: 医盲 时间: 2009-8-30 04:18
1、麻风病骨改变。2、软组织皮肤鳞状细胞癌。
作者: zhangkening 时间: 2009-8-30 06:19
如果是麻风病软组织溃疡长期刺激引起皮肤癌和骨癌。
作者: qsl 时间: 2009-8-30 17:34
学习
作者: 悬壶济世 时间: 2009-8-31 05:47
学习
作者: glyy 时间: 2009-8-31 09:25
1、麻风病(leorsy ,lepra)是由麻风杆菌引起的一种慢性传染病主要侵犯皮肤、粘膜和周围神经,也可侵犯深部组织和器官本病在世界范围内流行甚广,据估计全世界现有麻风病人约一千万人左右主要分布于亚洲、非洲及拉丁美洲麻风(leprosy)是由麻风杆菌引起的一种慢性传染病,主要病变在皮肤和周围神经。临床表现为麻木性皮肤损害神经粗大,严重者甚至肢端残废
2、麻风病最主要最严重的并发症是导致畸形残废诊断:
3、麻风病的诊断必须细致耐心争取早期确诊不漏诊不误诊早治早愈不致时机使病情加重造成畸形残废或使扩大传染诊断主要根据病史临床症状细菌检查和组织病理等检查结果综合分析得出结论对个别一时难以确诊的病例可以定期复诊和随访
4、需要鉴别的皮肤病:瘤型麻风应与皮肤黑热病神经纤维瘤斑秃结节性黄色瘤鱼鳞病酒渣鼻脂溢性皮炎结节性红斑皮肌炎等鉴别:结核样型麻风应与肉样瘤环状红斑持久隆起性红斑皮肤黑热病浅色斑型环状肉芽肿寻常性狼疮体癣远心性红斑等鉴别;未定类麻风应与白癜风贫血痣皮肤黑热病浅色斑型浅色斑型和花斑癣等鉴别:界线类麻风应与红斑性狼疮皮肤黑热病蕈样肉芽肿(浸润期)等鉴别
需要鉴别的神经病:如脊髓空洞症其它原因引起的多发性神经炎外伤性周围神经损伤进行性脊髓性肌萎缩进行性增殖性间质性神经炎进行性肌营养不良股外侧皮神经炎面神经麻痹等
作者: shibing 时间: 2014-8-19 09:46
1、麻风病骨改变。2、踝部软组织皮肤鳞状细胞癌,与慢性溃疡经久不愈及感染有关。
支持
作者: 医影爱好 时间: 2014-8-21 09:54
2、软组织皮肤鳞状细胞癌。 ?X线病理诊断?我只能诊断足部软组织肿块,
| 欢迎光临 医影在线 (http://bbs.radida.com/bbs/) |
Powered by Discuz! X3.2 |