医影在线
标题: CT21872:大家看看,什么肿瘤 [打印本页]
作者: yokogawa 时间: 2009-8-26 23:43
标题: CT21872:大家看看,什么肿瘤
(结果公布:http://www.radida.com/bbs/forum.php?mod=viewthread&tid=70795)
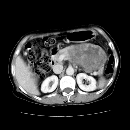
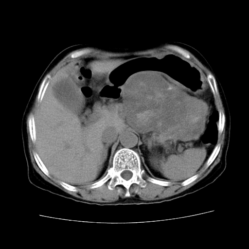
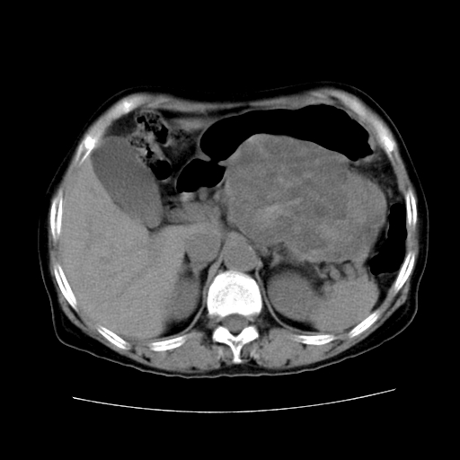
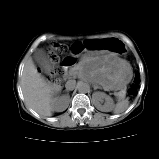
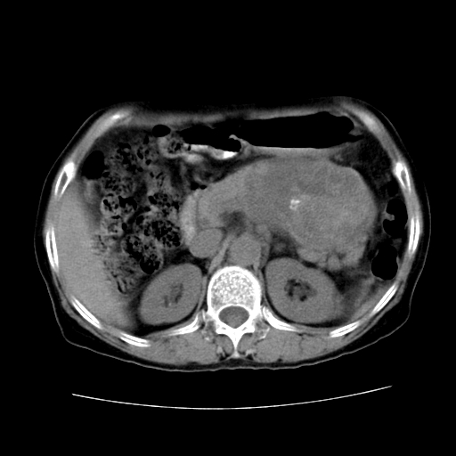
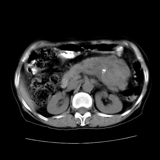
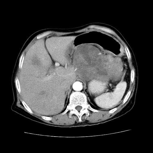
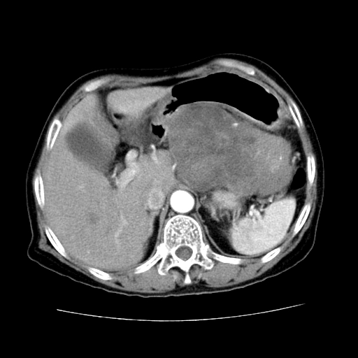
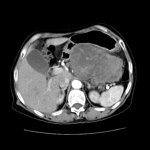
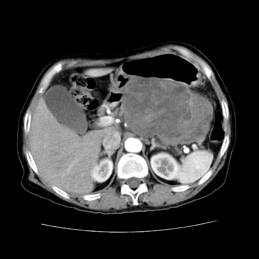
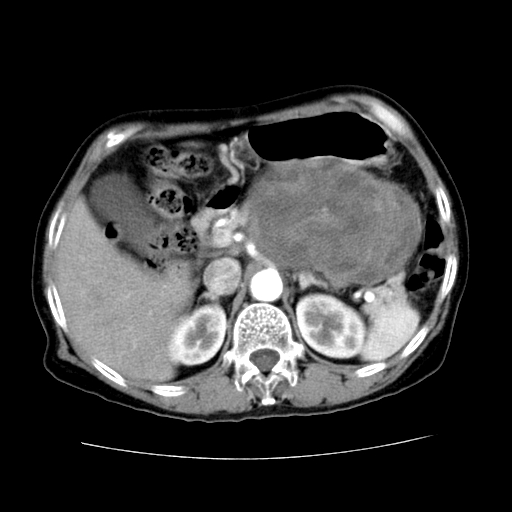
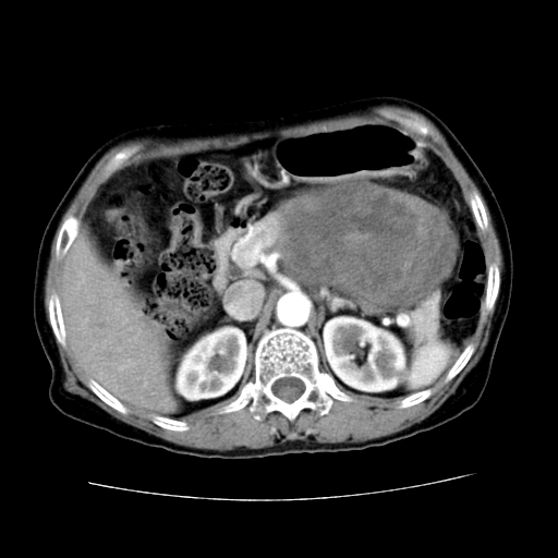
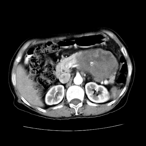
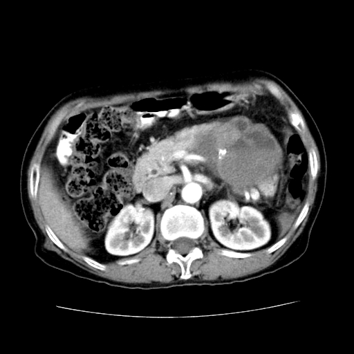
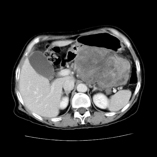
女性,72岁。
主诉中上腹部疼痛不适1年余。

















[本贴已被 jiajie 于 2009-8-26 20:52:58 修改过]
[本贴已被 jiajie 于 2010-9-13 18:29:54 修改过]
作者: 卜一 时间: 2009-8-27 00:05
胰腺尾部不规则巨大略低密度肿块,界限清楚,内密度不均,增强动脉期不均匀强化,门脉期明显退减并低于胰腺密度,肿瘤包埋于脾血管。多考虑;来源于胰腺尾部的“胰腺癌”。
作者: shibing 时间: 2009-8-27 00:35
胰腺尾部不规则巨大略低密度肿块,界限清楚,内密度不均,增强动脉期不均匀强化,门脉期明显退减并低于胰腺密度,肿瘤包埋于脾血管。多考虑;来源于胰腺尾部的“胰腺囊腺癌。
作者: zxl51642 时间: 2009-8-27 00:39
支持2楼!胰体尾部囊腺癌。
作者: yokogawa 时间: 2009-8-27 00:54
有手术病理
作者: 深泽交通 时间: 2009-8-27 01:24
胰体尾囊腺癌可能
作者: 光线 时间: 2009-8-27 01:53
支持2楼!
作者: sdzyy 时间: 2009-8-27 02:00
胰体尾部囊腺癌
作者: 沉默是金 时间: 2009-8-27 02:52
标题: 回复:大家看看,什么肿瘤
以下是引用卜一在2009-8-26 16:05:00的发言:[br]胰腺尾部不规则巨大略低密度肿块,界限清楚,内密度不均,增强动脉期不均匀强化,门脉期明显退减并低于胰腺密度,肿瘤包埋于脾血管。多考虑;来源于胰腺尾部的“胰腺癌”。
作者: 随光逐影 时间: 2009-8-27 03:17
考虑胰体尾部囊腺癌可能性大。
作者: 黄毛小子 时间: 2009-8-27 04:58
标题: 回复:ct21872:大家看看,什么肿瘤
以下是引用随光逐影在2009-8-26 19:17:00的发言:[br]考虑胰体尾部囊腺癌可能性大。
作者: 万元户 时间: 2009-8-27 05:23
支持
作者: sxz2001 时间: 2009-8-27 05:25
标题: 回复:ct21872:大家看看,什么肿瘤
以下是引用sdzyy在2009-8-26 18:00:00的发言:[br]胰体尾部囊腺癌
支持
作者: zjzjr 时间: 2009-8-27 06:04
考虑胰体尾部囊腺癌可能性大。肝右叶可疑转移.
作者: yuhongjun 时间: 2009-8-27 06:26
考虑胰体尾部囊腺癌可能性大。
作者: 汪涛同志 时间: 2009-8-27 06:44
该例有几个特点需注意:
1.肿瘤大而边界清
2.内部有钙化
3.强化时间较长
4.这么大的肿瘤对周围的血管无侵犯
以上几条均与胰腺癌不符
故考虑:胰岛细胞癌
作者: 黑白光影 时间: 2009-8-27 17:55
考虑胰体尾部囊腺癌可能性大。肝右叶可疑转移.
作者: yokogawa 时间: 2009-9-20 23:30
1、这个病例确实有点难。影像主要显示胰腺体尾部占位,我们当初也是诊断胰体尾部囊腺癌可能性大,而且读片会上也很多人这么诊断的。
2、手术所见:打开腹腔发现胃与胰腺体尾部可见肿块,大小约10×8×11cm,质硬,不可推动,周围血供丰富。术中诊断:胃肿瘤侵及胰腺体尾部。
3、病理号:091860 2009年4月2日
1)、胃小弯侧胃肠间质瘤(考虑恶性),瘤体大小13.5×7×6.5cm,上下切缘阴性。
2)、胃小弯1只、幽门下2只淋巴结慢性炎。免疫组化:cd117(+)、cd34(+)、sma(+)、desmin(-)、s-100(-)、ki-67<10%(+).
4、这个肿瘤太大了,而且密度不均性强化,从这点我们应该不能单纯诊断胰腺癌,而应想到目前流行的胃肠道间质瘤。这个肿瘤主要发生于胃壁浆膜层,所以显示与胃壁关系不是很紧密,故而大多认为是胰腺癌。
作者: 漫步者 时间: 2009-9-22 01:38
学习了,谢谢。
作者: ghp3522 时间: 2010-9-14 16:20
思路更广些。
作者: 37度 时间: 2010-9-14 16:47
这个肿瘤主要发生于胃壁浆膜层,所以显示与胃壁关系不是很紧密,故而大多认为是胰腺癌。
大家不要太伤心,下次看见这样的还是胰腺肿瘤多。
作者: 拾荒者 时间: 2010-9-16 04:57
谢谢反馈结果,如楼主分析,本病例主要肿块与胃壁见有分界,而与胰腺分界不清,故而首先考虑胰腺肿瘤。
| 欢迎光临 医影在线 (http://bbs.radida.com/bbs/) |
Powered by Discuz! X3.2 |