医影在线

标题: CT21874:盆腔肿瘤 [打印本页]

作者: yokogawa    时间: 2009-8-26 23:53
标题: CT21874:盆腔肿瘤
(结果公布:http://www.radida.com/bbs/forum.php?mod=viewthread&tid=70796

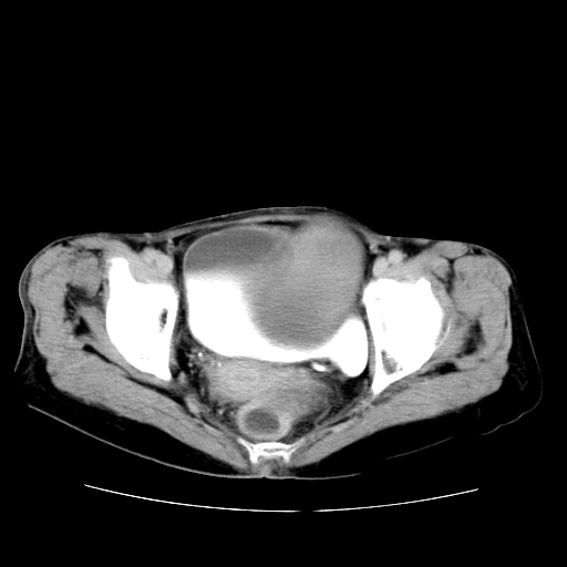
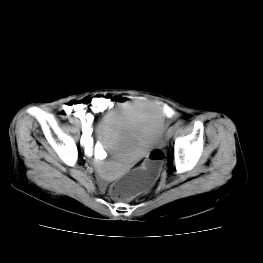
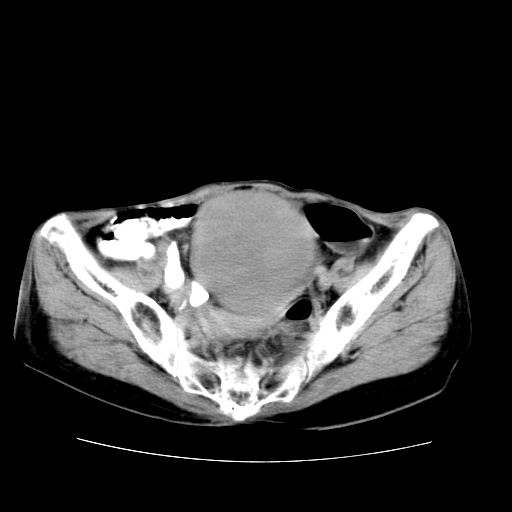
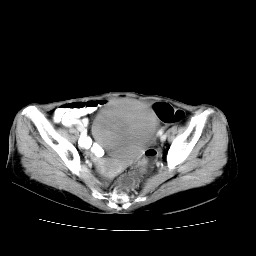
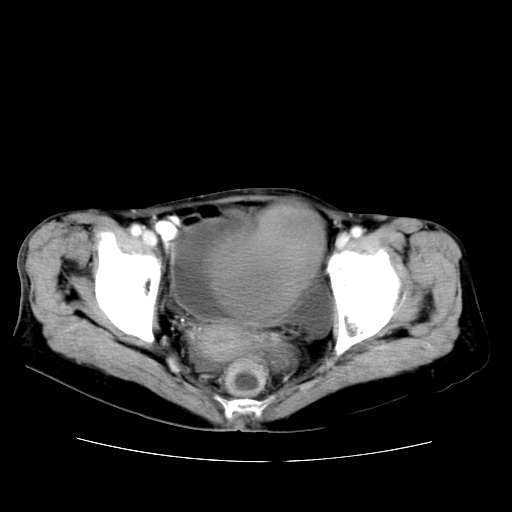
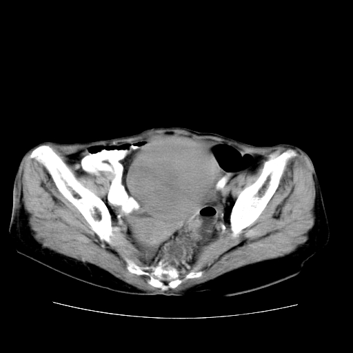
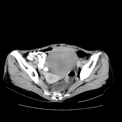
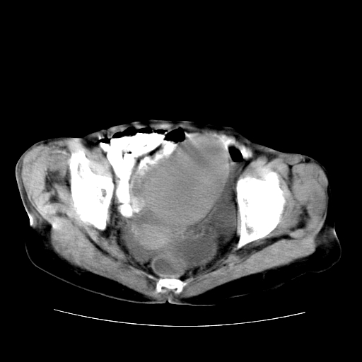
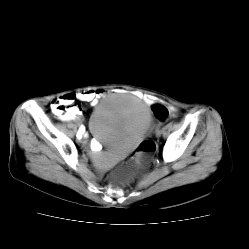
女性,72岁。
主诉下腹部坠痛不适1年余。
子宫增大如孕3月大小,质软,活动可,无压痛。
b超提示:盆腔(子宫前方)低回声团块。
临床诊断:盆腔肿块查。



















[本贴已被 jiajie 于 2010-9-13 18:32:50 修改过]

作者: shibing    时间: 2009-8-27 00:38
卵巢癌
作者: zxl51642    时间: 2009-8-27 01:07
左侧卵巢纤维瘤并盆腔积液,不排除恶变可能,建议ct增强及mri进一步检查。
作者: zlshower    时间: 2009-8-27 01:18
(上面的病灶没扫完?)下腹部软组织占位伴少许腹腔积液。考虑来源附件肿瘤或间质瘤。建议增强扫描。
作者: GYYBZJ    时间: 2009-8-27 01:22
我首先考虑还是 浆膜下型的子宫肌瘤,强化程度略比基层偏低一些,内见片状低密度影,肌瘤变性可能;其次考虑才是来自附件的纤维瘤
作者: 深泽交通    时间: 2009-8-27 01:25
考虑左侧卵巢癌
作者: sdzyy    时间: 2009-8-27 01:54
考虑左侧卵巢囊腺瘤或癌?
作者: 光线    时间: 2009-8-27 01:56
左侧附件区占位:左侧卵巢ca可能性大。
作者: 勤奋的小    时间: 2009-8-27 02:51
图像太少,至少要看供血动脉才能诊断其来源吧
作者: 随光逐影    时间: 2009-8-27 03:22
1)考虑左侧卵巢癌。2)盆腔积液。
作者: 卜一    时间: 2009-8-27 04:13
1)考虑左侧卵巢癌。2)盆腔积液。支持!
作者: 黄毛小子    时间: 2009-8-27 05:01
标题: 回复:ct21874:盆腔肿瘤
以下是引用sdzyy在2009-8-26 17:54:00的发言:[br]考虑左侧卵巢囊腺瘤或癌?

作者: dr.yang    时间: 2009-8-27 05:27
考虑左侧卵巢癌-支持
作者: 子期    时间: 2009-8-27 05:54
首先考虑浆膜下型子宫肌瘤,不完全除外附件的纤维瘤
作者: zjzjr    时间: 2009-8-27 05:56
先考虑浆膜下子宫肌瘤,盆腔积液.
作者: yuhongjun    时间: 2009-8-27 05:56
1)考虑左侧卵巢癌。2)盆腔积液。支持!
作者: 宇宙CT    时间: 2009-8-27 06:50
左侧附件区占位:左侧卵巢ca可能性大。
作者: 汪涛同志    时间: 2009-8-27 06:51
标题: 回复:ct21874:盆腔肿瘤
以下是引用gyybzj在2009-8-26 17:22:00的发言:[br]我首先考虑还是 浆膜下型的子宫肌瘤,强化程度略比基层偏低一些,内见片状低密度影,肌瘤变性可能;其次考虑才是来自附件的纤维瘤

支持,恶变不能排除。
作者: 黑白光影    时间: 2009-8-27 17:53
考虑浆膜下子宫肌瘤,盆腔积液。
作者: yokogawa    时间: 2009-9-20 23:37
1、这个肿瘤密度均匀,增强后轻中度均匀性强化,与左侧附件关系密切,肿瘤边缘光整、清晰。
2、左侧卵巢增大呈8×8×10cm大小,实性,表面光滑,边清,左侧输卵管爬行于左卵巢上,子宫萎缩。右输卵管、卵巢萎缩。
3、病理号:092658
左侧卵巢纤维瘤(性索间质肿瘤)
作者: 蓝星    时间: 2009-9-20 23:51
考虑来源于附件占位,性质待定。
作者: zxl51642    时间: 2010-9-14 05:00
meigs syndrome
作者: 37度    时间: 2010-9-14 16:23
卵巢纤维瘤,符合。
作者: ghp3522    时间: 2010-9-14 16:27
谢谢反馈。
作者: 拾荒者    时间: 2010-9-16 05:07
卵巢纤维瘤为良性卵巢性索间质肿瘤,常为单侧发病,当合并腹水或胸腹水时称麦格斯(meigs)综合征,肿瘤切除后胸腹水可消失。ct表现为盆腔内边界清楚的圆形或椭圆形肿块,常有分叶或不规则;肿瘤多为实性,少数为囊性、囊实性,完全囊性者可见壁结节。实性部分与子宫等密度;增强扫描常为轻度强化或几乎不强化。
作者: sxz2001    时间: 2010-9-16 05:16
谢谢了




欢迎光临 医影在线 (http://bbs.radida.com/bbs/) Powered by Discuz! X3.2