

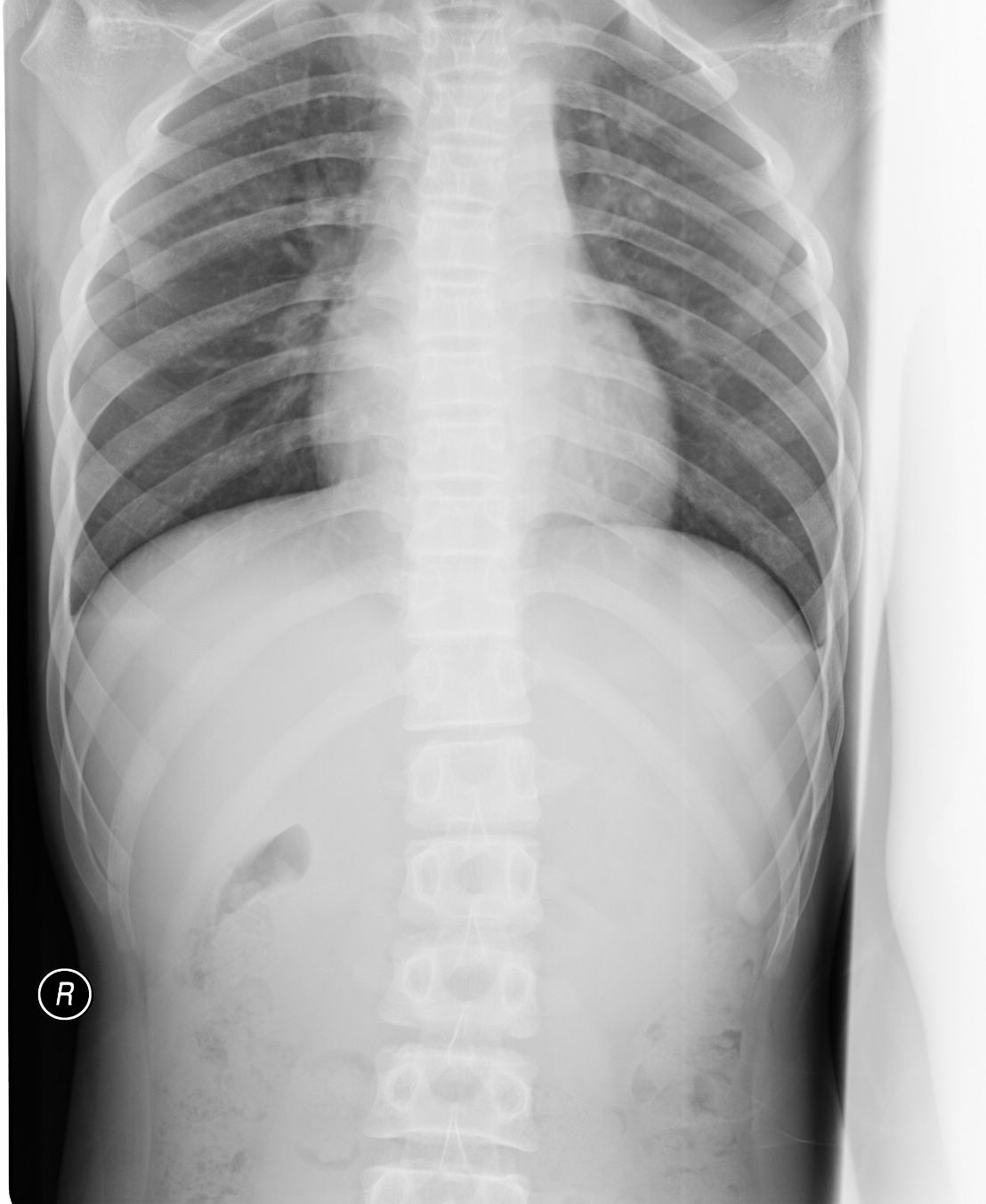
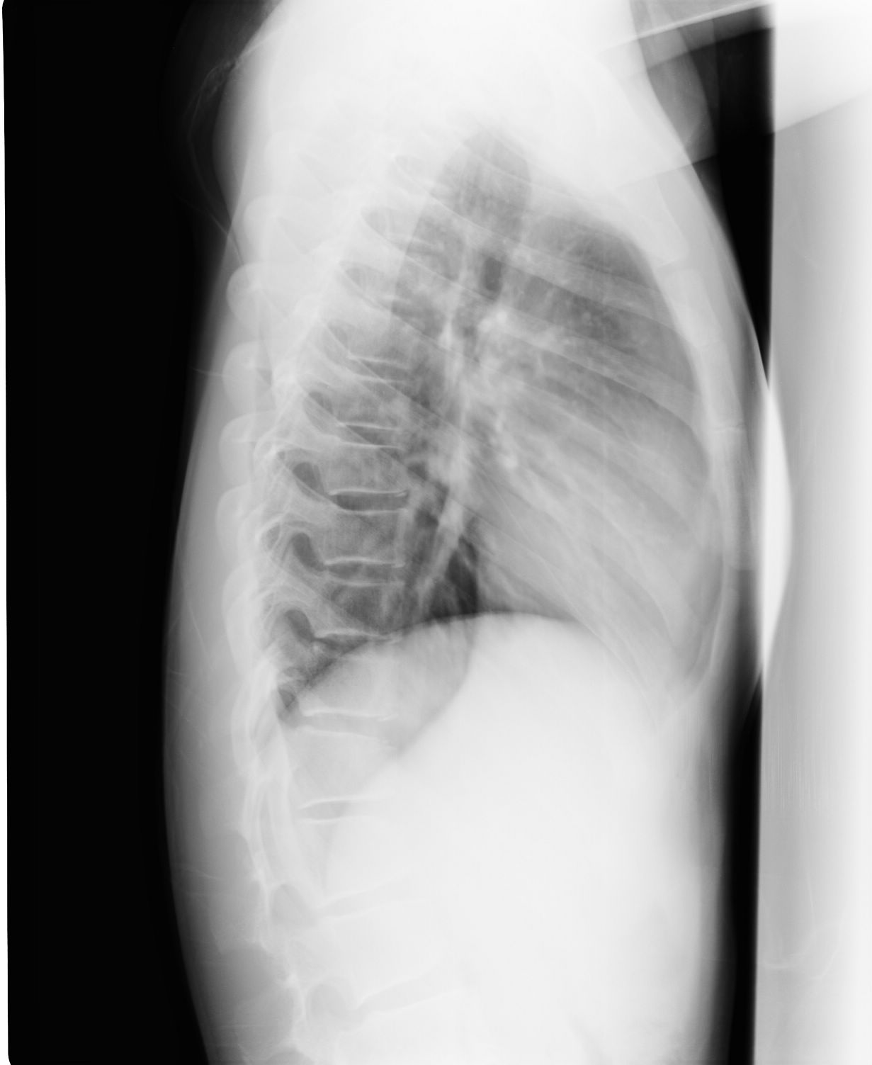
以下是引用黑白光影在2009-8-27 14:24:00的发言:[br]侧位显示胸腰段t12、l1、l2与其它椎体发育形态不一致,支持楼主考虑,建议作进一步检查确定。
以下是引用黑白光影在2009-8-27 14:24:00的发言:[br]侧位显示胸腰段t12、l1、l2与其它椎体发育形态不一致,支持楼主考虑,建议作进一步检查确定。
以下是引用胡宇在2009-8-27 23:02:00的发言:[br][br] 骨质未见明显异常,学龄患者,要考虑长期伏案学习坐姿不正,继发肌肉及脊柱改变。带背背佳矫形试一试!t12、l1、l2椎体轻度楔变为应力性改变,很常见,不支持青年性驼背(椎体骺板骨软骨炎)。 [br]
以下是引用黑白光影在2009-8-27 14:24:00的发言:[br]侧位显示胸腰段t12、l1、l2与其它椎体发育形态不一致,支持楼主考虑,建议作进一步检查确定。
以下是引用黑白光影在2009-8-27 14:24:00的发言:[br]侧位显示胸腰段t12、l1、l2与其它椎体发育形态不一致,支持楼主考虑,建议作进一步检查确定。
以下是引用zxl51642在2009-8-27 12:04:00的发言:[br]骨质未见明显异常,学龄患者,要考虑长期伏案学习坐姿不正,继发肌肉及脊柱改变。带背背佳矫形试一试!t12、l1、l2椎体轻度楔变为应力性改变,很常见,不支持青年性驼背(椎体骺板骨软骨炎)。
| 欢迎光临 医影在线 (http://bbs.radida.com/bbs/) | Powered by Discuz! X3.2 |