医影在线

标题: CT21917:右腓骨小头是否骨软骨瘤? [打印本页]

作者: frzh    时间: 2009-8-29 17:08
标题: CT21917:右腓骨小头是否骨软骨瘤?
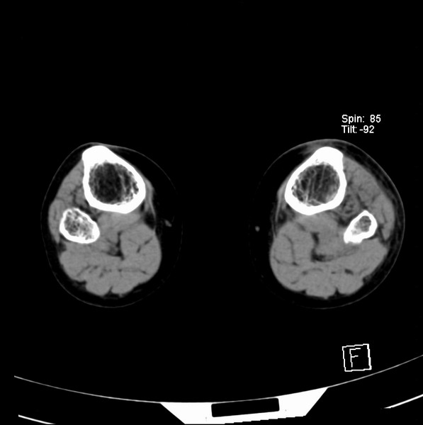
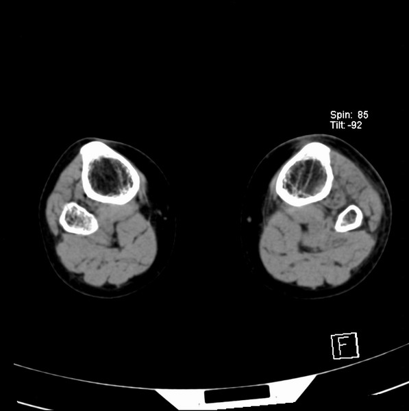
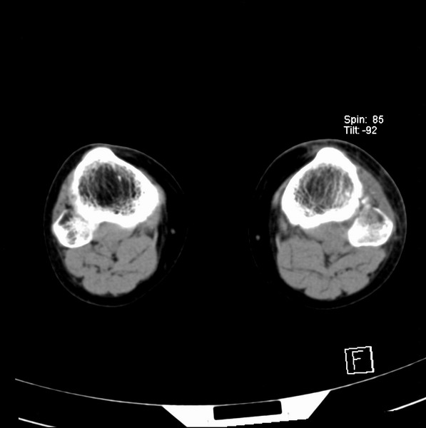
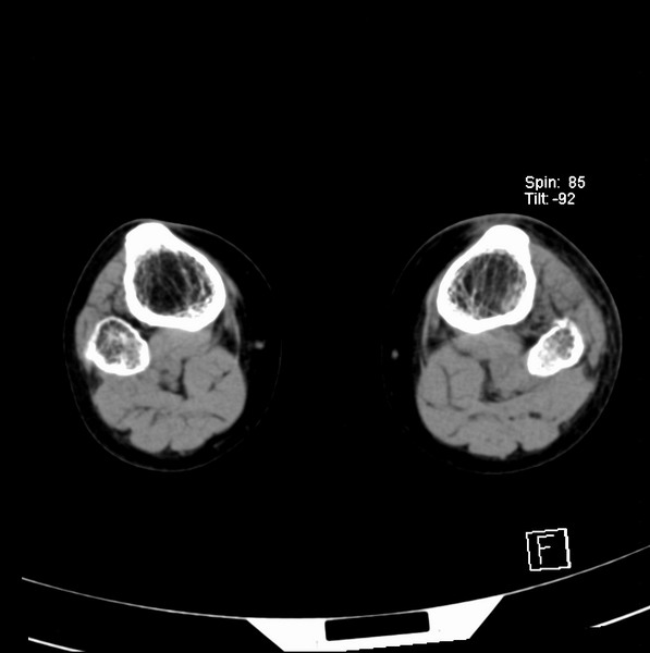
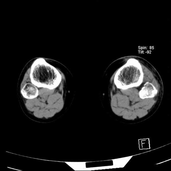
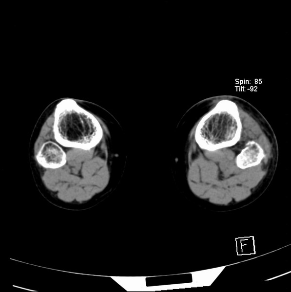
女、43.





































[本贴已被 jiajie 于 2009-8-29 17:31:57 修改过]

作者: zxl51642    时间: 2009-8-29 17:12
不是骨软骨瘤,“牵拽征”,正常变异。有平片吗?
作者: 深泽交通    时间: 2009-8-29 17:22
未见明显异常
作者: 奥特之父    时间: 2009-8-29 18:24
正常变异,“牵拽征”,比目鱼肌牵拽.
作者: 施明    时间: 2009-8-29 18:44
比目鱼肌附着点
作者: muzi888    时间: 2009-8-29 19:01
未见明显异常
作者: 随光逐影    时间: 2009-8-29 19:05
支持 “牵拽征”——比目鱼肌牵拽。
作者: 泪洒红尘    时间: 2009-8-29 20:23
“牵拽征”——比目鱼肌牵拽。
学习了。谢谢。
作者: 黑白光影    时间: 2009-8-29 20:36
支持大家。
作者: zjzjr    时间: 2009-8-29 21:03
支持 “牵拽征”——比目鱼肌牵拽。
作者: 高学强    时间: 2009-8-30 00:06
支持
作者: zbp537    时间: 2009-8-30 03:05
正常变异,“牵拽征”,比目鱼肌牵拽.
作者: caobaoguo    时间: 2010-6-19 14:39
标题: 回复:ct21917:右腓骨小头是否骨软骨瘤?
“牵拽征”——比目鱼肌牵拽。[br]学习了。谢谢。
作者: xiongneo    时间: 2010-9-14 07:31
“牵拽征”——比目鱼肌牵拽。
学习了。谢谢。
作者: 37度    时间: 2010-9-14 16:17
“牵拽征”——比目鱼肌牵拽。
学习了。谢谢。
作者: ghp3522    时间: 2010-9-14 16:38
学习了。
作者: 拾荒者    时间: 2010-9-16 05:15
“牵拽征”——比目鱼肌牵拽。
学习了。




欢迎光临 医影在线 (http://bbs.radida.com/bbs/) Powered by Discuz! X3.2