医影在线
标题: CT21921:腹膜后腔肿物。患者男39Y。体检。增强扫描时间欠准 [打印本页]
作者: headshot 时间: 2009-8-29 18:56
标题: CT21921:腹膜后腔肿物。患者男39Y。体检。增强扫描时间欠准
































[本贴已被 headshot 于 2009-8-29 10:58:21 修改过]
[本贴已被 jiajie 于 2009-8-29 17:40:42 修改过]
作者: 泪洒红尘 时间: 2009-8-29 19:34
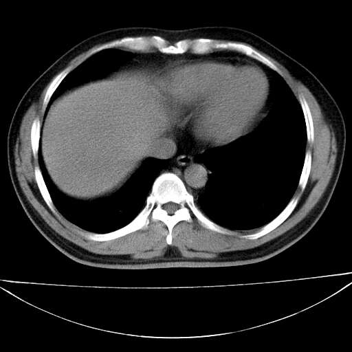
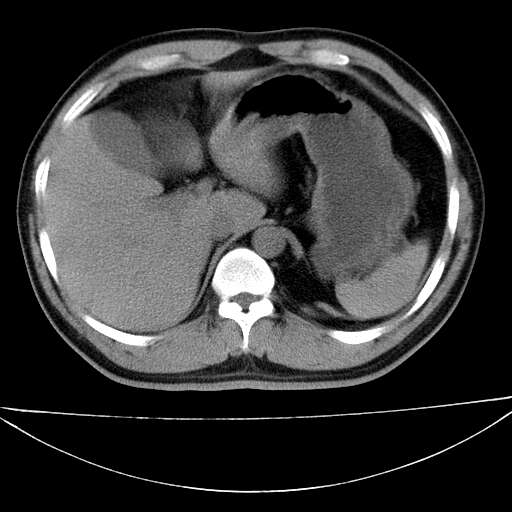
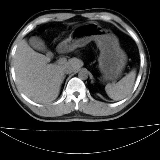
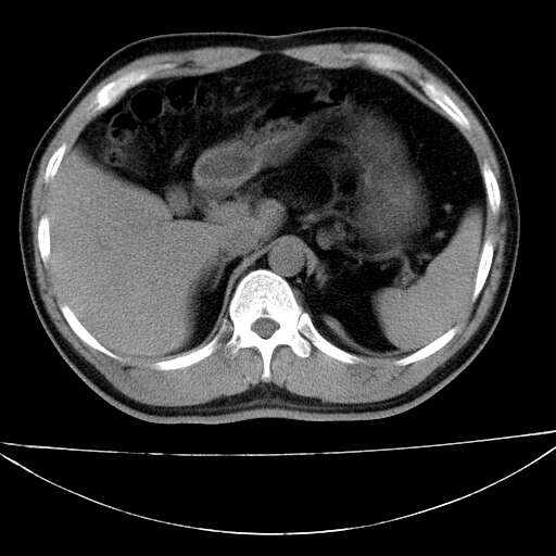
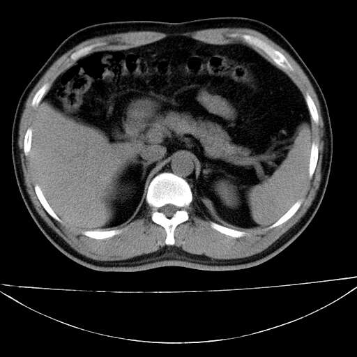
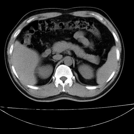
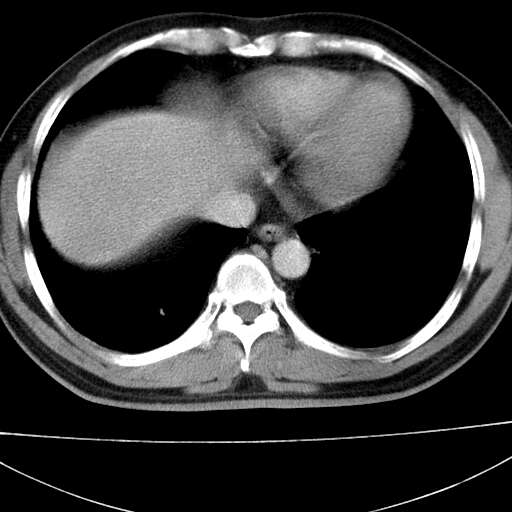
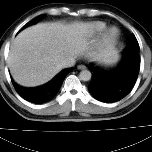
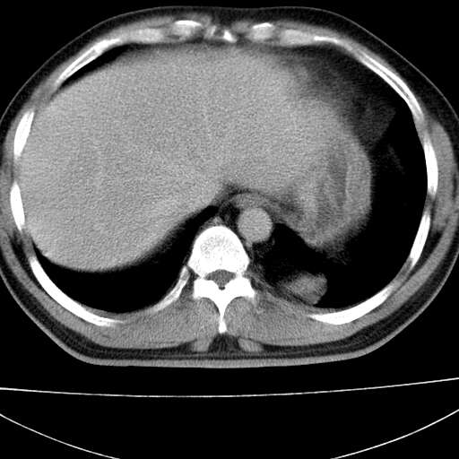
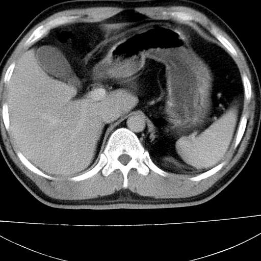
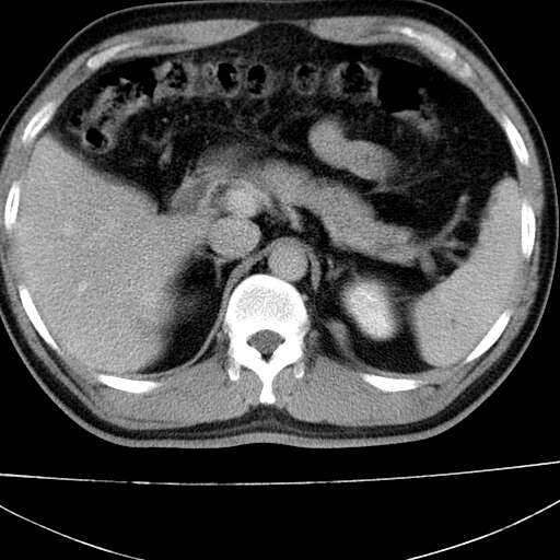
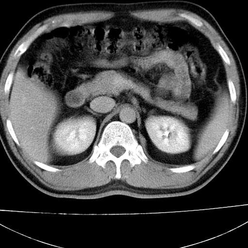
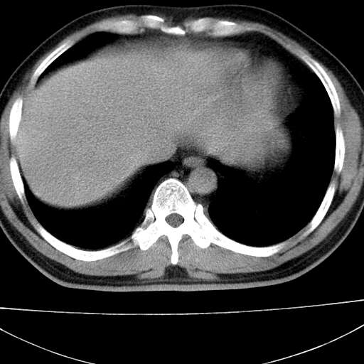
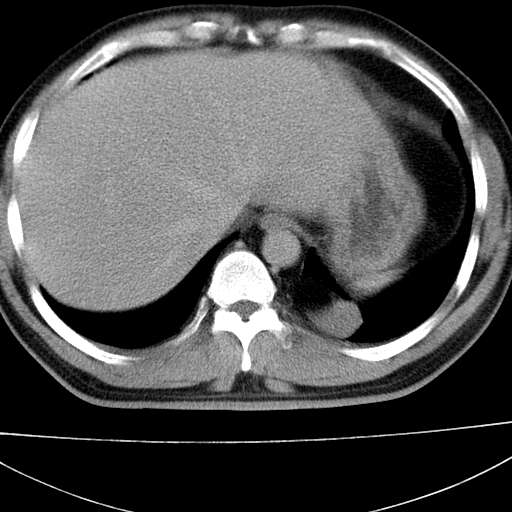
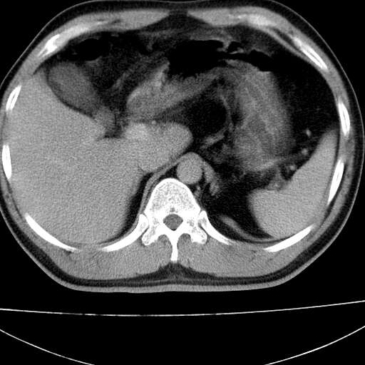
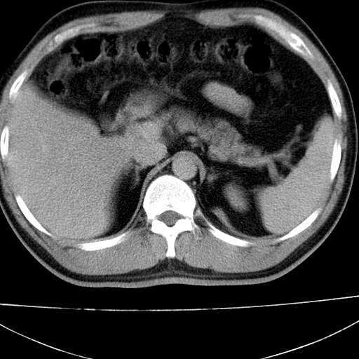
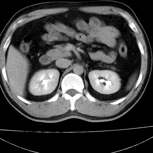
左侧膈肌脚外缘见一结节样软组织影,密度较均匀,与胸膜关系稍密切,增强轻度强化;考虑来自胸膜良性病变(胸膜纤维瘤可能)。建议加扫胸部ct检查。
作者: zxl51642 时间: 2009-8-29 19:57
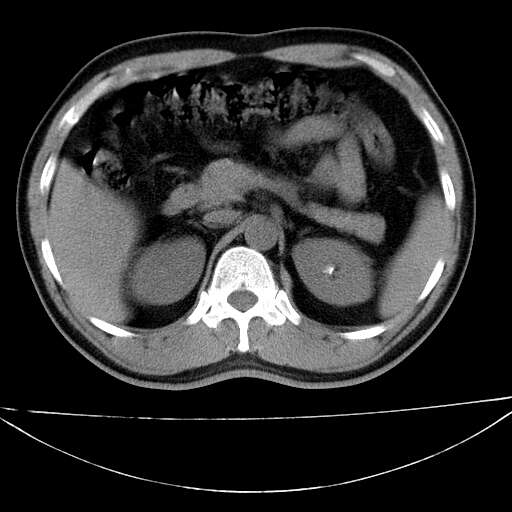
1、腹膜后肿物?未见到。
2、左下膈肌脚外缘结节状病变,与胸膜交界面呈锐角,胸膜下脂肪线可见,定位于肺内,考虑支气管囊肿或肺隔离征可能性大。
作者: 子期 时间: 2009-8-29 20:01
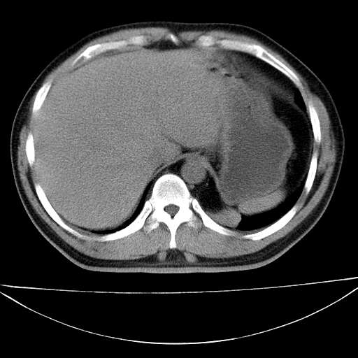
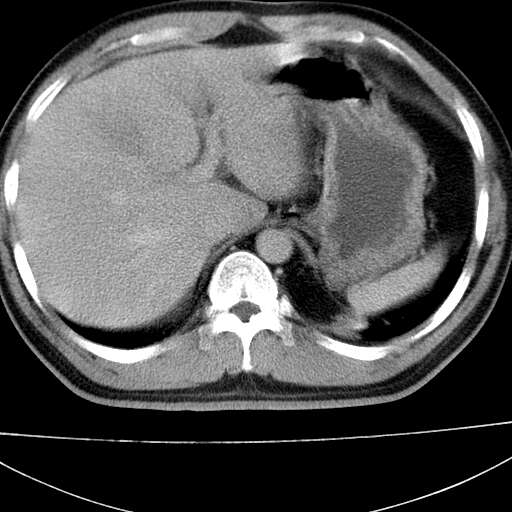
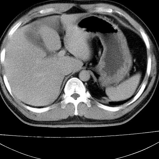
膈疝
作者: 深泽交通 时间: 2009-8-29 20:09
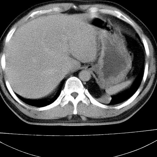
左肋隔角占位,考虑胸膜间皮瘤
作者: 随光逐影 时间: 2009-8-29 20:32
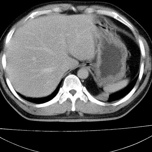
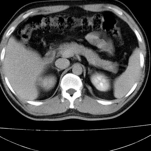
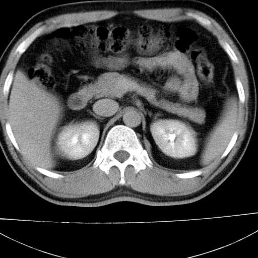
1)考虑左肺下叶后基底段(或左下胸后壁胸膜)软组织团块,性质待定;建议行进一步检查。2)左肾结石。
作者: zjzjr 时间: 2009-8-29 20:52
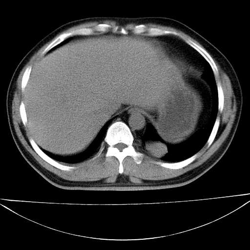
左膈肌连续性中断,左侧膈疝可能性大.
作者: 黑白光影 时间: 2009-8-29 21:54
标题: 回复:腹膜后腔肿物。患者男39y。体检。增强扫描时间欠准
以下是引用随光逐影在2009-8-29 12:32:00的发言:[br]1)考虑左肺下叶后基底段(或左下胸后壁胸膜)软组织团块,性质待定;建议行进一步检查。2)左肾结石。
作者: zryfb7719 时间: 2009-8-29 23:11
左膈肌角后腹膜腔见肿物影,其内见脂肪密度灶及软组织密度灶,强化不明显。病灶大部在后腹膜内。考虑异位嗜铬细胞瘤或脂肪肉瘤、畸胎瘤
作者: 高学强 时间: 2009-8-30 00:22
1)考虑左肺下叶后基底段(或左下胸后壁胸膜)软组织团块,性质待定;建议行进一步检查。2)左肾结石。
作者: LIAOQIANG 时间: 2009-8-30 00:55
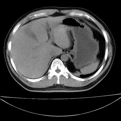
考虑左肺下叶后基底段肺隔离症?胸膜间皮瘤?
作者: gaoxin910320 时间: 2009-8-30 02:40
标题: 回复:ct21921:腹膜后腔肿物。患者男39y。体检。增强扫描时
以下是引用zjzjr在2009-8-29 12:52:00的发言:[br]左膈肌连续性中断,左侧膈疝可能性大.
支持!
作者: 江广1996 时间: 2009-8-30 08:14
1)考虑左肺下叶后基底段软组织团块,性质待定;建议行进一步检查。2)左肾结石。
作者: jinguoji 时间: 2009-9-16 19:10
左膈肌连续性中断,左侧膈疝可能性大
作者: 501337013 时间: 2009-9-30 21:50
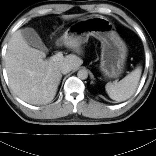
左下肺隔离症,可见从胸主动脉发出异常血管供应
| 欢迎光临 医影在线 (http://bbs.radida.com/bbs/) |
Powered by Discuz! X3.2 |