医影在线

标题: PED2870:朋友的女儿,被玉林市第一人民医院医院诊断脑积水 [打印本页]

作者: 欧阳双全    时间: 2009-8-29 18:59
标题: PED2870:朋友的女儿,被玉林市第一人民医院医院诊断脑积水
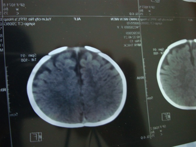
朋友的女儿,被玉林市第一人民医院医院诊断脑积水,各位老师帮忙看下!
顺产,无缺氧史,经常哭闹,无其它不适!











[本贴已被 jiajie 于 2009-8-29 18:42:10 修改过]

作者: 欧阳双全    时间: 2009-8-29 19:01
相机照的不太清楚,但还是请各位老师帮忙看下,谢谢!
作者: 泪洒红尘    时间: 2009-8-29 19:22
考虑外部性脑积水。
作者: zxl51642    时间: 2009-8-29 19:49
胼胝体发育不良,外部性脑积水。脑白质密度减低,hie后遗症?
作者: 深泽交通    时间: 2009-8-29 20:03
蛛网膜囊肿
作者: zjzjr    时间: 2009-8-29 20:49
未见明显异常.
作者: 513ytb    时间: 2009-8-29 21:59
胼胝体发育不良,外部性脑积水。脑白质密度减低,hie后遗症?
作者: bmw011    时间: 2009-8-29 22:35
标题: 回复:朋友的女儿,被玉林市第一人民医院医院诊断脑积水
以下是引用zxl51642在2009-8-29 11:49:00的发言:[br]胼胝体发育不良,外部性脑积水。脑白质密度减低,hie后遗症?

作者: cainiao003    时间: 2009-8-29 22:38
外部性脑积水,在第四军医大出版的《小儿ct诊断图谱中》诊断标准。书中列举四条标准:1。额顶部颅壁下间隙增宽在6-10mm;2。前纵裂增宽;3。脑室可增大或表现正常;4。属自限性疾病,1岁半以后可表现正常。 现在叫脑外间隙增宽 外部性脑积水国外文献又称其为 “假性脑积水”。临床可分为特发性外部性脑积水和继发性外部性脑积水。
  1.特发性外部性脑积水 表现为不明原因的抽搐或(和)头围异常增大,ct改变符合外部性脑积水特征。特发性外部性脑积水原因还尚不清楚,可能与蛛网膜颗粒的发育滞后、发育不全或功能低下有关。
  2.继发性外部性脑积水 继发于脑缺氧、硬膜下血肿、脑室出血、蛛网膜下腔出血、脑膜炎以及颅脑外伤后具备上述特征者。
  特发性外部性脑积水的发病机理目前亦不十分清楚,但多数学者认为与蛛网膜颗粒发育迟缓,吸收脑脊液的功能发生障碍有关。继发性外部性脑积水主要是因脑膜炎、脑室出血、蛛网膜下腔出血等,使蛛网膜发生粘连、肥厚、增生,形成蛛网膜机械性梗阻或炎症性改变而影响脑脊液的吸收。
作者: 高学强    时间: 2009-8-30 00:19
胼胝体发育不良,外部性脑积水。脑白质密度减低,hie后遗症
作者: 拾荒者    时间: 2009-8-30 05:58
图像不连续,外部性脑积水诊断问题不大,另外,三脑室上抬,侧脑室间距增宽,支持考虑胼胝体发育不良。
作者: 黑白光影    时间: 2009-8-30 20:04
胼胝体发育不良,外部性脑积水。脑白质密度减低,hie后遗症?
作者: jinguoji    时间: 2009-8-31 17:14
胼胝体发育不良,外部性脑积水。
作者: dyqct    时间: 2009-9-1 15:53
不好说。
作者: 893161922    时间: 2009-9-3 06:28
支持
作者: 随光逐影    时间: 2009-9-7 05:11
脑外间隙增宽。




欢迎光临 医影在线 (http://bbs.radida.com/bbs/) Powered by Discuz! X3.2