医影在线
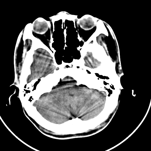
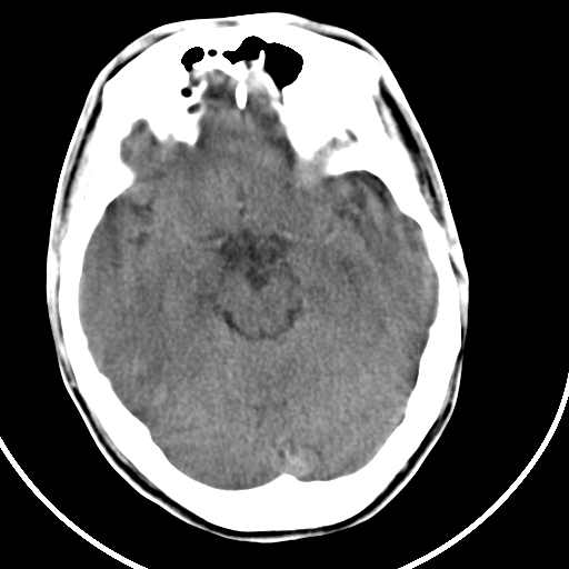
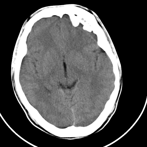
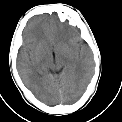
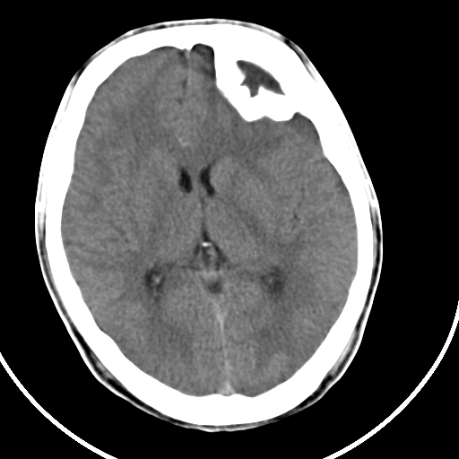
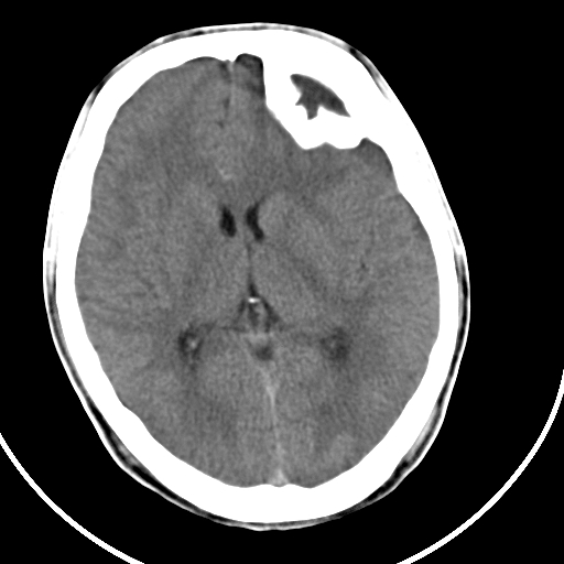
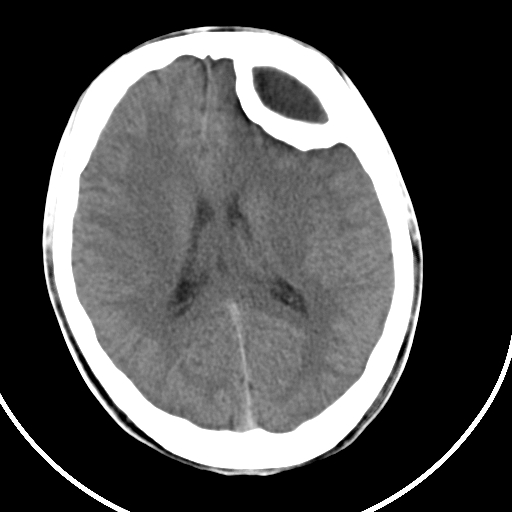
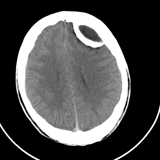
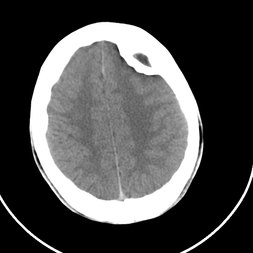
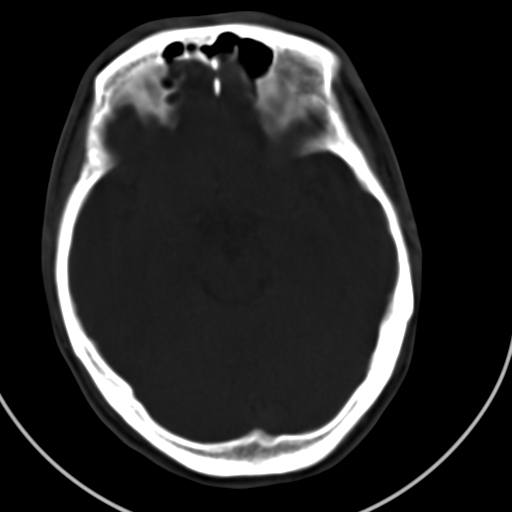
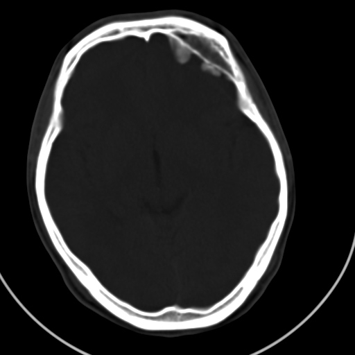
标题: CT21939:男20岁,外伤一年后,现头疼. [打印本页]
作者: zhrfzh 时间: 2009-8-31 00:57
标题: CT21939:男20岁,外伤一年后,现头疼.




























[本贴已被 zhrfzh 于 2009-8-30 17:00:59 修改过]
[本贴已被 jiajie 于 2009-8-30 18:25:52 修改过]
作者: liangshusheng 时间: 2009-8-31 01:04
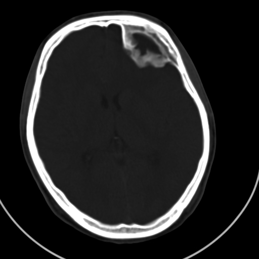
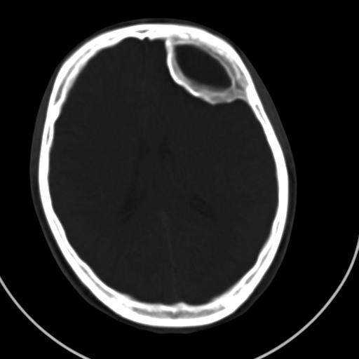
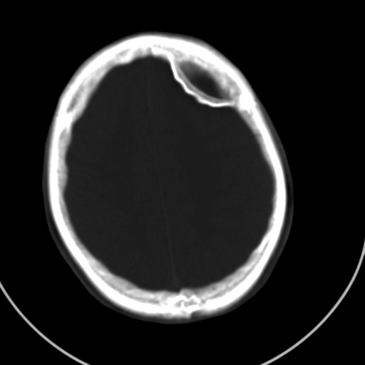
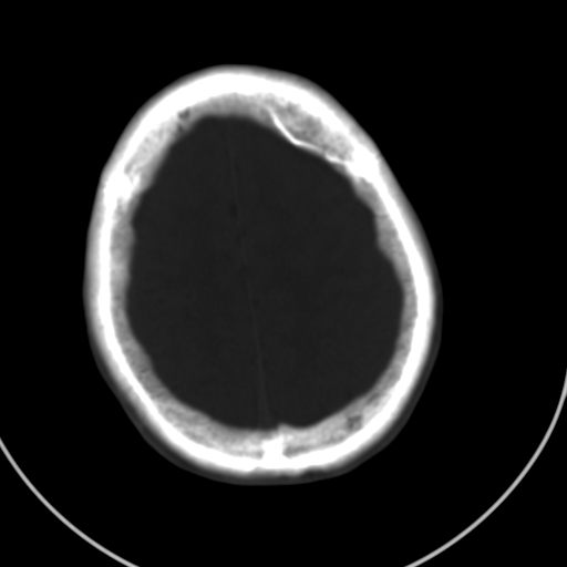
血肿机化
作者: 卜一 时间: 2009-8-31 01:10
颅骨凹陷性骨折并压迫脑组织致大脑镰下疝!
作者: 光线 时间: 2009-8-31 01:19
是硬膜外血肿机化还是陈旧性凹陷性骨折?
作者: 深泽交通 时间: 2009-8-31 01:30
标题: 回复:患者男20岁,外伤一年后,现头疼.
血肿机化
作者: wzr 时间: 2009-8-31 01:44
硬膜外血肿机化
作者: 潇潇洒洒 时间: 2009-8-31 01:56
凹陷的很像颅骨内板。
作者: zjzjr 时间: 2009-8-31 02:24
硬膜外血肿机化
作者: cmcedu 时间: 2009-8-31 02:53
结合文献报道,考虑血肿继发改变,血肿骨化?
作者: 李勇医生 时间: 2009-8-31 03:01
是陈旧性凹陷性骨折?
作者: liaizhi 时间: 2009-8-31 04:27
考虑硬外血肿并血肿肌化?
作者: 一见如故 时间: 2009-8-31 04:28
血肿机化
作者: 泪洒红尘 时间: 2009-8-31 05:03
标题: 回复:ct21939:男20岁,外伤一年后,现头疼.
以下是引用光线在2009-8-30 17:19:00的发言:[br]是硬膜外血肿机化还是陈旧性凹陷性骨折?
作者: 汪涛同志 时间: 2009-8-31 08:47
如果是骨折,外板正常内板这么明显凹陷,请问这样的骨折是怎样形成的?形成的机理是什么?有没有可能形成?
竟然这么多人还考虑骨折。
作者: yuhongjun 时间: 2009-8-31 14:20
考虑硬外血肿并血肿肌化?
作者: 施明 时间: 2009-8-31 15:59
硬膜外血肿伴包膜钙化
作者: songyi 时间: 2009-8-31 16:34
硬膜外血肿机化
作者: zxl51642 时间: 2009-8-31 16:34
考虑硬外血肿并血肿肌化
作者: zb5205 时间: 2009-8-31 17:25
考虑硬外血肿并血肿肌化? 难道是传说中的盔甲脑?
作者: 黑白光影 时间: 2009-8-31 21:34
考虑硬外血肿并血肿肌化。
作者: xrw 时间: 2009-9-1 00:26
考虑血肿机化。
作者: 高学强 时间: 2009-9-1 00:35
血肿机化
作者: 随光逐影 时间: 2009-9-6 21:13
左侧额部硬膜外血肿机化、骨化。
作者: 碧空一鹰 时间: 2010-9-14 06:39
第一次看到
作者: 37度 时间: 2010-9-14 16:04
颅内的贝壳就是这样形成的。
作者: ghp3522 时间: 2010-9-14 16:41
左侧额部硬膜外血肿机化、骨化
作者: 拾荒者 时间: 2010-9-16 05:20
同意硬膜外血肿机化。
作者: 碧水蓝天 时间: 2010-9-16 05:29
标题: 回复:ct21939:男20岁,外伤一年后,现头疼.
以下是引用潇潇洒洒在2009-8-30 17:56:00的发言:[br]凹陷的很像颅骨内板。
| 欢迎光临 医影在线 (http://bbs.radida.com/bbs/) |
Powered by Discuz! X3.2 |