医影在线
标题: CT21940:膝关节(有病理) [打印本页]
作者: 巴黎世家 时间: 2009-8-31 02:21
标题: CT21940:膝关节(有病理)
(结果公布:http://www.radida.com/bbs/forum.php?mod=viewthread&tid=70802)
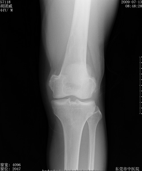
中年男性,膝韧带损伤术前检查!其他病史不清粗,不是我接手病人、且出院了!




























[本贴已被 jiajie 于 2009-8-30 18:29:58 修改过]
[本贴已被 巴黎世家 于 2009-8-30 18:36:04 修改过]
[本贴已被 jiajie 于 2010-9-13 18:59:30 修改过]
作者: 李勇医生 时间: 2009-8-31 02:57
退行性关节炎
作者: pujunzhi 时间: 2009-8-31 03:25
后交叉韧带损伤、增粗,疑出血,韧带附着处骨硬化,为退行性改变。
作者: guanhui 时间: 2009-8-31 03:41
支持后交叉韧带损伤、增粗,疑出血,韧带附着处骨硬化,为退行性改变。
作者: 巴黎世家 时间: 2009-8-31 05:25
http://www.radida.com/radinet/read.php?tid=57684
是同一个诊断,
作者: 破釜沉舟 时间: 2009-8-31 06:06
应排除血友病可能。
作者: heijin23 时间: 2009-8-31 06:48
期待结果
作者: 513ytb 时间: 2009-8-31 07:52
支持后交叉韧带损伤、增粗,疑出血,韧带附着处骨硬化,为退行性改变。.
作者: 巴黎世家 时间: 2009-8-31 08:26
明天给病理结果
作者: zxl51642 时间: 2009-8-31 16:30
1、股骨下段囊状膨胀性病变,边缘硬化明显,内多个残留骨棘呈多房型改变,囊腔密度较高无钙化,膝关节滑膜囊增厚,密度增高,关节腔少量积液。考虑:邻关节囊肿、退变性囊肿(软骨下囊肿)、着色性绒毛结节性滑膜炎、abc、骨巨、良性纤维组织细胞瘤等鉴。虽然年龄偏大,部位于骨端,但有外伤史,本人还是倾向于动脉瘤样骨囊肿(abc)可能性大。邻关节囊肿及软骨下囊肿次之考虑。
2、胫骨髁间棘撕脱骨折,交叉韧带损伤可能;
3、关节退行性改变。
作者: 深泽交通 时间: 2009-8-31 17:02
标题: 回复:ct21940:膝关节(有病理)
以下是引用pujunzhi在2009-8-30 19:25:00的发言:[br]后交叉韧带损伤、增粗,疑出血,韧带附着处骨硬化,为退行性改变。
作者: zjzjr 时间: 2009-8-31 18:23
支持后交叉韧带损伤、增粗,疑出血,韧带附着处骨硬化,为退行性改变。邻关节骨囊肿.
作者: 巴黎世家 时间: 2009-9-1 05:34
病理结果:色素沉着绒毛结节性滑膜炎
作者: 随光逐影 时间: 2009-9-6 21:15
标题: 回复:ct21940:膝关节(有病理)
以下是引用巴黎世家在2009-8-31 21:34:00的发言:[br]病理结果:色素沉着绒毛结节性滑膜炎
——感谢楼主反馈结果,学习了。
作者: jinguoji 时间: 2009-9-16 05:53
感谢反馈结果,学习了。
作者: YRJ0513 时间: 2009-9-16 07:04
谢谢楼主
作者: zgb5618 时间: 2009-9-30 23:49
谢谢
作者: dsl555 时间: 2009-10-1 06:41
感谢反馈结果,学习了。
作者: YRJ0513 时间: 2009-10-1 08:19
谢谢楼主,学习了
作者: 37度 时间: 2010-9-14 16:02
色毛,学习了。
作者: ghp3522 时间: 2010-9-14 16:48
谢谢反馈。
作者: 拾荒者 时间: 2010-9-16 06:00
病理结果:色素沉着绒毛结节性滑膜炎
感谢反馈病理结果!本病为慢性关节病变。以关节滑膜高度增生、绒毛结节形成伴含铁血黄素趁着为特点。病因:有炎症、肿瘤、外伤关节出血、代谢障碍、变态反应及感染等学说。增强扫描呈关节腔内单个或多个强化的软组织结节影或滑膜不规则增厚伴关节积液为本病的特征性表现。
| 欢迎光临 医影在线 (http://bbs.radida.com/bbs/) |
Powered by Discuz! X3.2 |