医影在线
标题: CT21954:典型病例,请讨论。结果明天上传。 [打印本页]
作者: 梦红楼 时间: 2009-8-31 19:10
标题: CT21954:典型病例,请讨论。结果明天上传。
(结果公布:http://www.radida.com/bbs/forum.php?mod=viewthread&tid=70845)
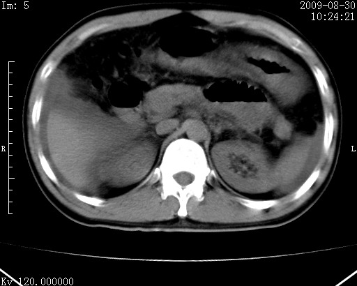
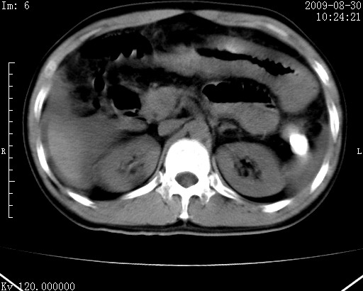
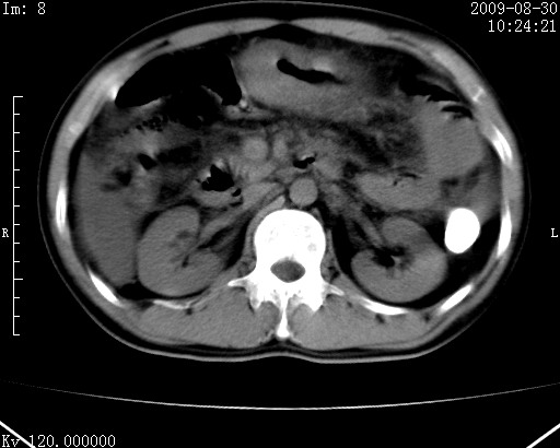
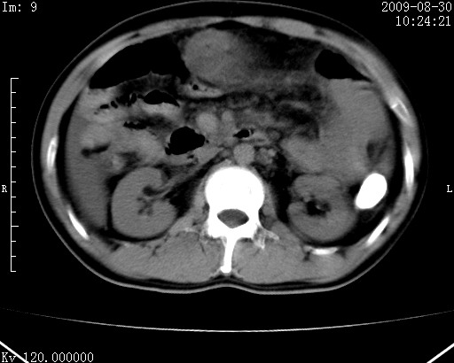
患者唐某,男31岁,已婚,本地务农。
自述入院前两天一次进食较多冷饮之后,出现阵发性上腹部疼痛,次日加剧伴恶心、呕吐,呕吐后症状稍减轻。食欲差。大便每天1-2次,量少,暗红色水样。小便赤。无畏寒、发热、咳嗽等呼吸道症状。无高血压及胃病史。
检查:体温、血压及脉搏正常.皮肤无黄染,浅表无淋巴结肿大。左腹肌紧张,左上腹有压痛,无反跳痛,可触及包块。
生化:钾、钠、氯、钙、ph正常,总胆红素和直接胆红素稍高,空腹血糖稍高。
尿淀粉酶:1256 u/l(正常60-401)。
血常规:wbc 22.4x109/l gr88% ly9.6%其余基本正常。
胃镜:急性胃炎。立位腹平片:未见异常。
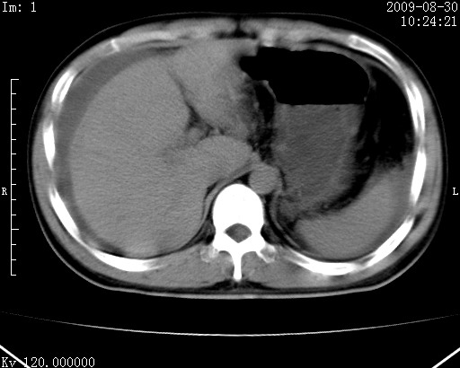
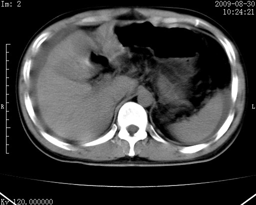
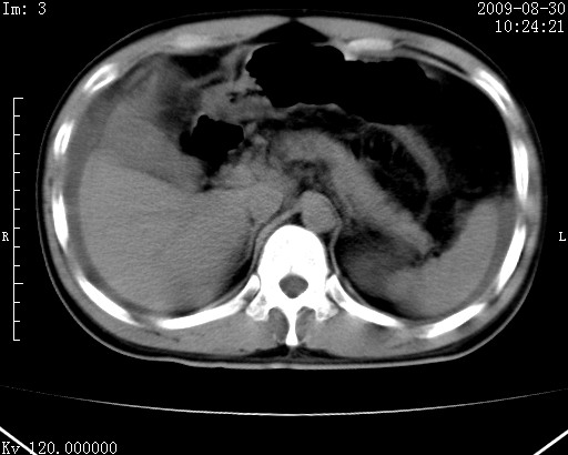
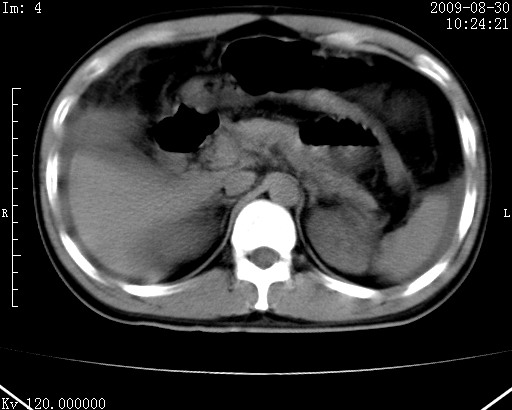
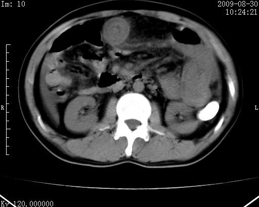
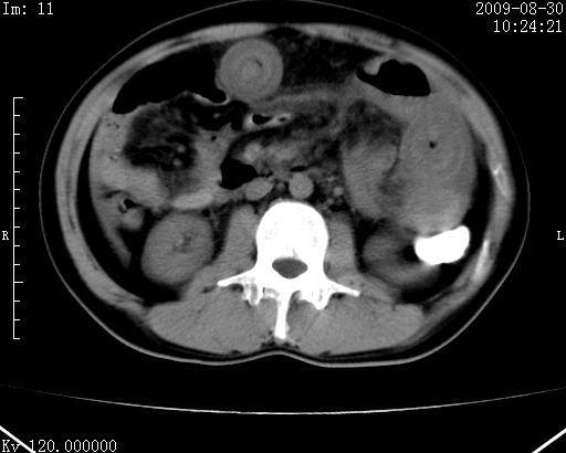
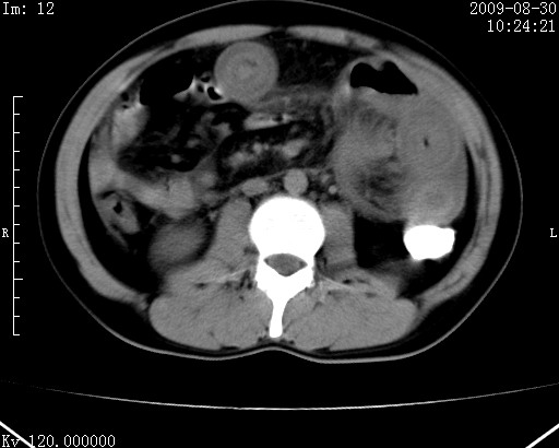
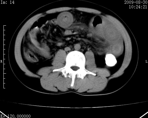
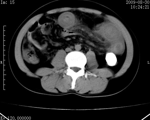
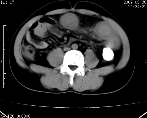
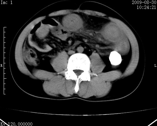
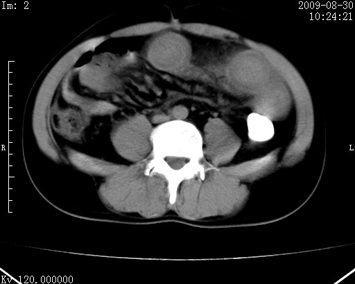
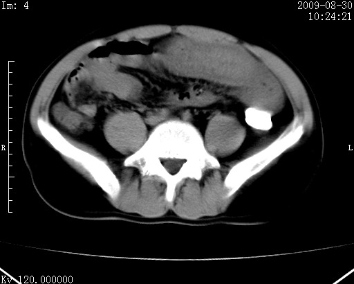
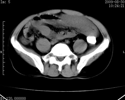
下面是ct平扫,降结肠内是对比剂。

























[本贴已被 jiajie 于 2009-8-31 20:08:56 修改过]
[本贴已被 jiajie 于 2010-9-14 18:33:00 修改过]
作者: 梦红楼 时间: 2009-8-31 19:17
标题: 结果
前天患者手术,现公布结果:
术前影像诊断:上段空肠急性缺血性坏死并腹水。建议手术治疗。
术中见上段空肠约70cm长范围坏死,从屈氏韧带远端约10cm处开始。坏死肠管肿胀变形变色,管壁明显环形增厚,部分聚成大肿块,无扭转和套叠。肠系膜上动脉分支内广泛泥沙状血栓。肠切除。
临床诊断:肠系膜上动脉梗塞并急性肠坏死。
开始时我们科也有人认为是套叠,最后统一意见,不考虑肠套。我们看到的“靶征”,“晕圈征”,“双圈征”实际上只是单根肠管的横断面。坏死肿胀后肠壁各层的密度不一样。
[本贴已被 梦红楼 于 2009-9-1 10:50:12 修改过]
作者: 深泽交通 时间: 2009-8-31 19:20
考虑急性坏死性肠炎伴腹水
作者: zxl51642 时间: 2009-8-31 19:35
脾区结肠多发肠套叠并缺血坏死,腹水。鉴别:淋巴瘤、结肠癌、炎性病变、tb。
作者: shibing 时间: 2009-8-31 19:49
典型肠套叠
作者: 13081830109 时间: 2009-8-31 19:56
典型肠套叠
作者: 余辉 时间: 2009-8-31 19:57
支持考虑肠套叠伴肠管缺血坏死
作者: cmcedu 时间: 2009-8-31 21:09
的确典型啊,谢谢你哦,考虑肠套叠伴肠管坏死,定位似乎应该定在空肠呢?小肠部分扩张,结肠扩张不明显。等待结果。
作者: 湘江一滴 时间: 2009-8-31 21:12
考虑肠套叠伴肠坏死、腹水
作者: 黑白光影 时间: 2009-8-31 21:38
支持考虑肠套叠伴肠管缺血坏死
作者: 513ytb 时间: 2009-8-31 22:40
支持考虑肠套叠伴肠管缺血坏死
作者: zjzjr 时间: 2009-8-31 22:49
靶征,支持考虑肠套叠伴肠坏死、腹水
作者: 高学强 时间: 2009-9-1 00:41
支持考虑肠套叠伴肠管缺血坏死
腹水
作者: huangyinshan 时间: 2009-9-1 00:47
支持考虑肠套叠伴肠管缺血坏死
腹水
作者: 梦红楼 时间: 2009-9-1 05:16
标题: 结果公布
结果:肠系膜上动脉梗塞并急性肠坏死。
本例没有增强,所以要肯定为肠系膜上动脉梗塞是不可能的。我认为只要肯定是肠坏死并建议立即手术也就没错。临床医生认为如果增强的话,仅仅是你们多了一例教学片。
[本贴已被 梦红楼 于 2009-9-1 11:01:04 修改过]
作者: zxl51642 时间: 2009-9-1 17:22
标题: 回复:ct21954:典型病例,请讨论。结果明天上传。
以下是引用梦红楼在2009-8-31 21:16:00的发言:[br]一定没有肠套叠。大家可继续讨论。
那就考虑第二诊断:淋巴瘤。
作者: LIAOQIANG 时间: 2009-9-1 18:08
支持考虑肠套叠伴肠管缺血坏死。
作者: qiuleiyu 时间: 2009-9-1 18:42
左侧腹小肠腔管壁明显增厚,部分内示靶征,走行异常,部分肠系膜绳样改变,肝包膜下及肠间较多液体密度,然梗阻近端肠腔积气不明显。
考虑;肠扭曲伴肠坏死。
作者: 子十 时间: 2009-9-1 18:47
肠套叠并肠管坏死及腹水
作者: 随光逐影 时间: 2009-9-6 22:12
结果:肠系膜上动脉梗塞并急性肠坏死。
——感谢楼主反馈结果,学习了。
作者: ghp3522 时间: 2010-9-15 05:39
谢谢反馈。
作者: xiongneo 时间: 2010-9-15 06:22
学习
作者: pujunzhi 时间: 2010-9-15 07:33
结果:肠系膜上动脉梗塞并急性肠坏死。感谢楼主反馈结果,好病例,学习了。
作者: liyf 时间: 2010-9-15 07:44
腹部肠管肠管弥漫性增厚、肿胀,考虑为肠管缺血或淤血改变,未排除空肠管坏死。腹水。
作者: 37度 时间: 2010-9-15 15:59
有结果了,回顾分析,套叠只会在局部出现同心圆征,不会很长一段肠管都有,还是水肿坏死。
作者: 拾荒者 时间: 2010-9-16 06:09
感谢楼主反馈结果及点评!学习了!
作者: chinanyd 时间: 2010-9-18 00:17
学习了,谢谢楼主!
| 欢迎光临 医影在线 (http://bbs.radida.com/bbs/) |
Powered by Discuz! X3.2 |