医影在线
标题: CT21959:骨肿瘤请会诊。 [打印本页]
作者: frzh 时间: 2009-8-31 20:32
标题: CT21959:骨肿瘤请会诊。
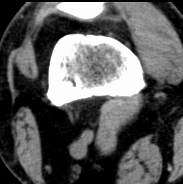
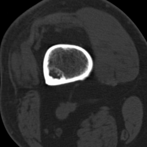
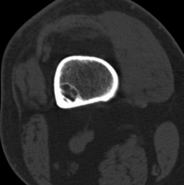
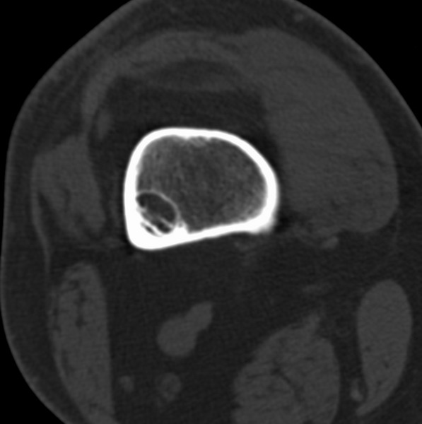
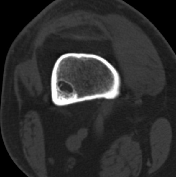
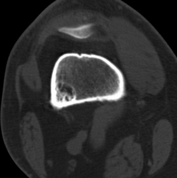
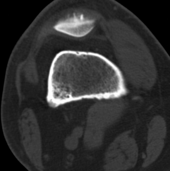
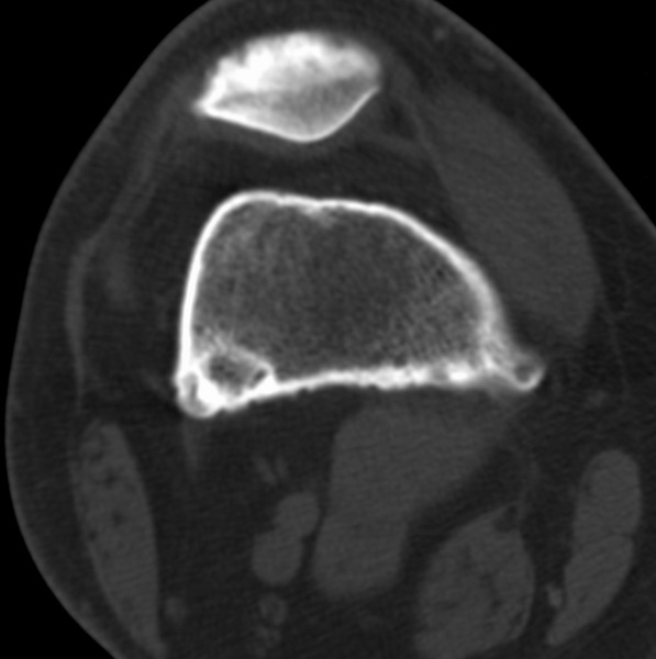
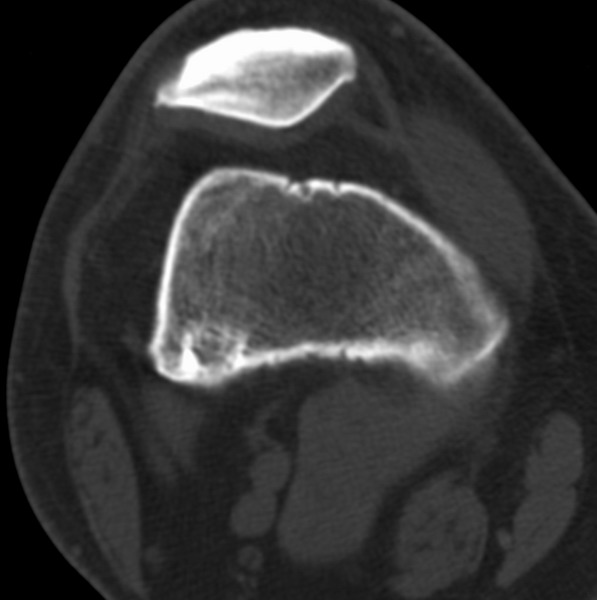
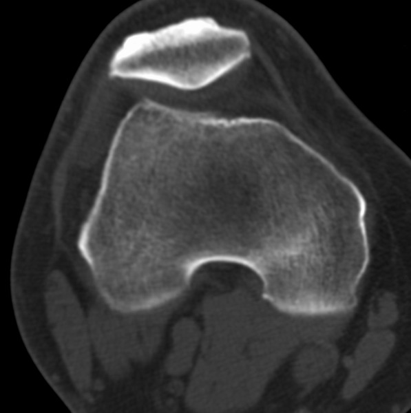
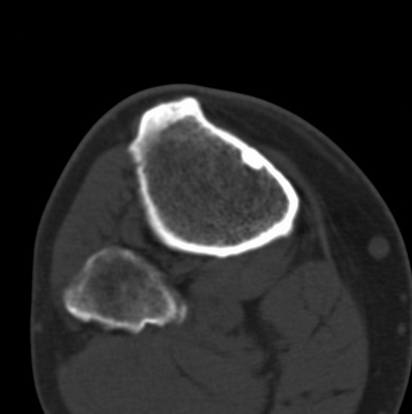
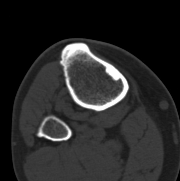
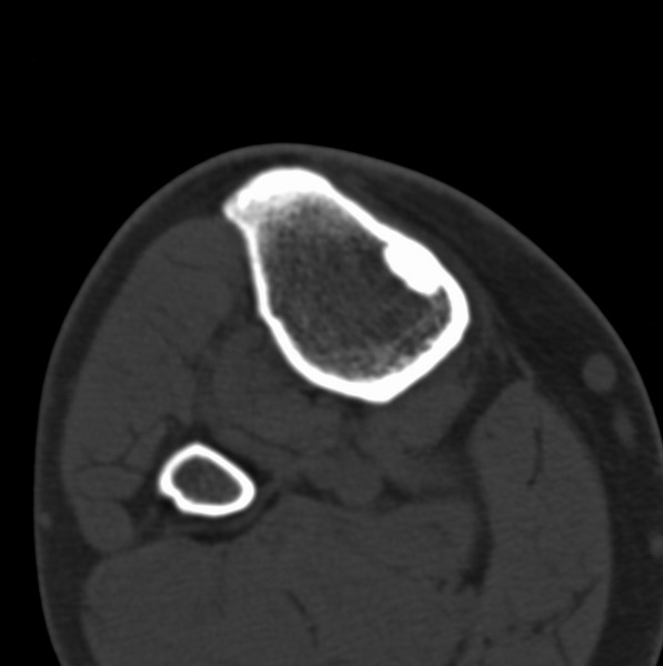
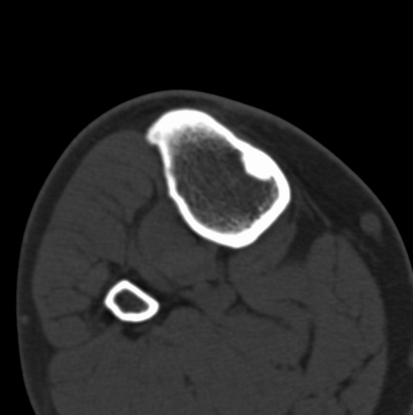
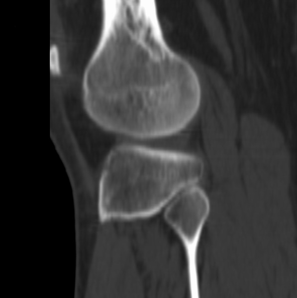
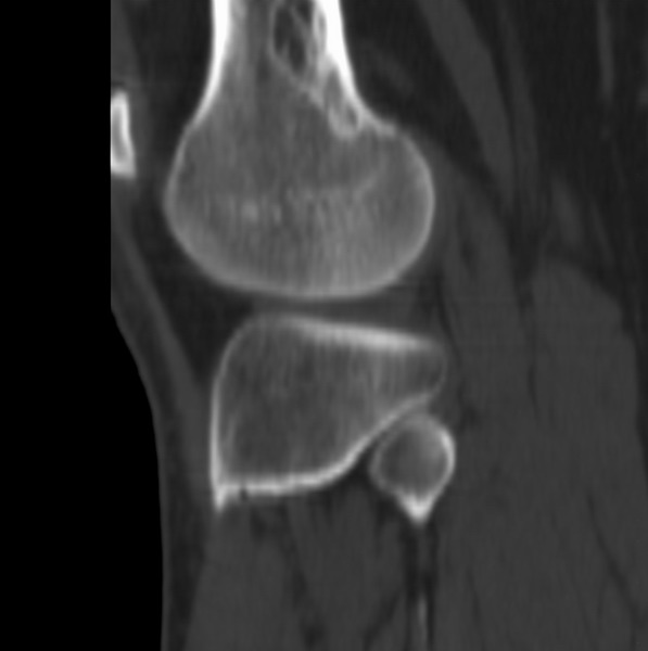
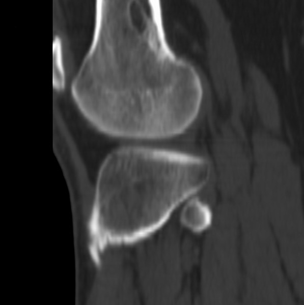
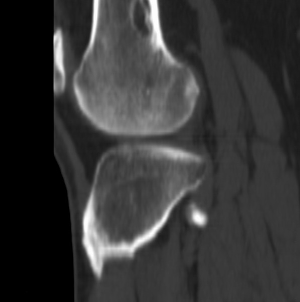
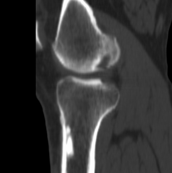
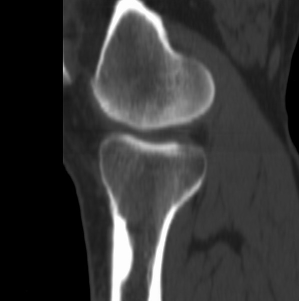
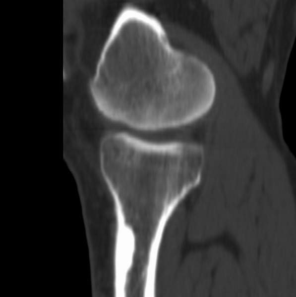
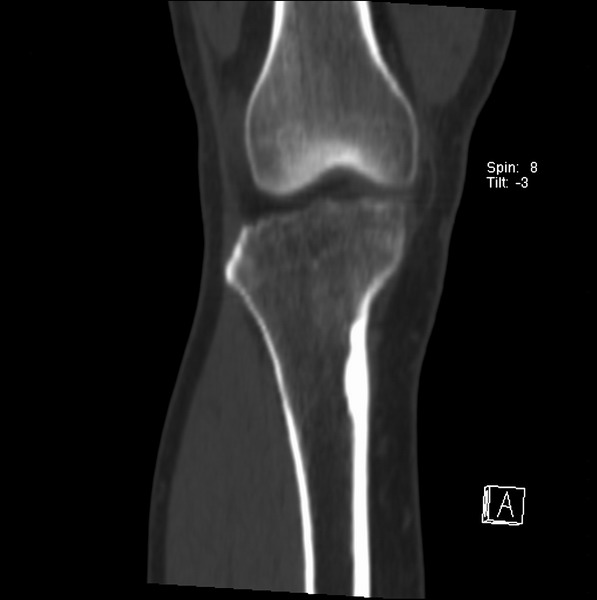
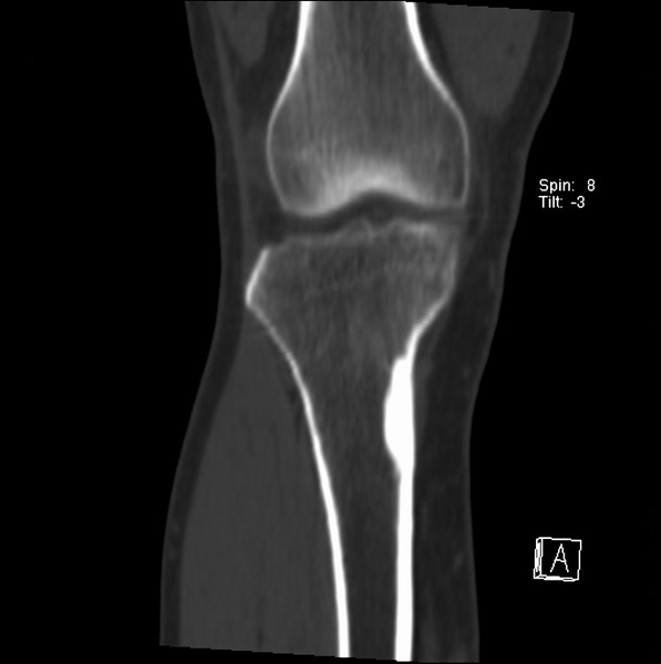
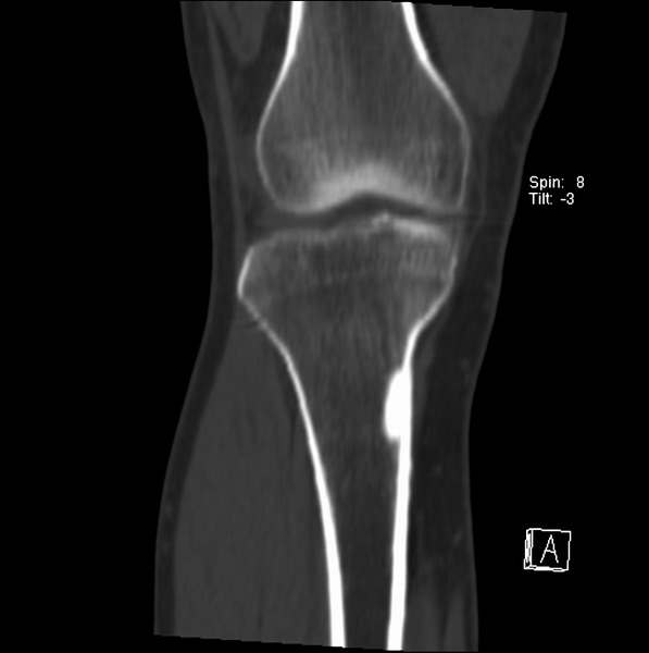
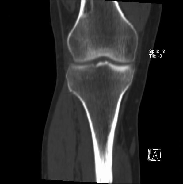
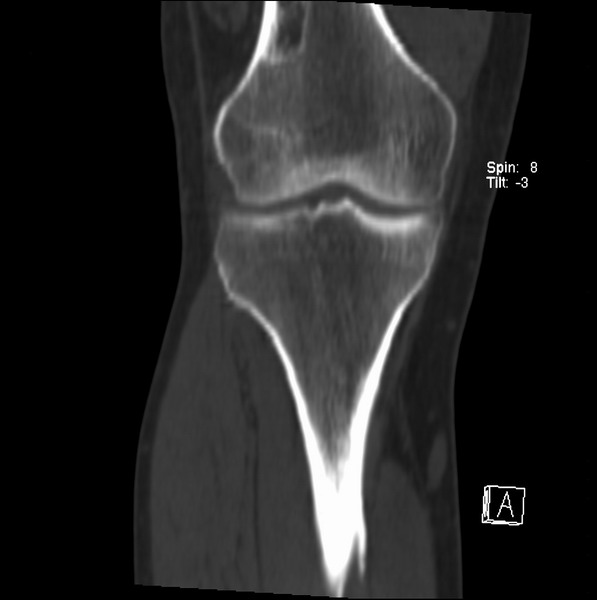
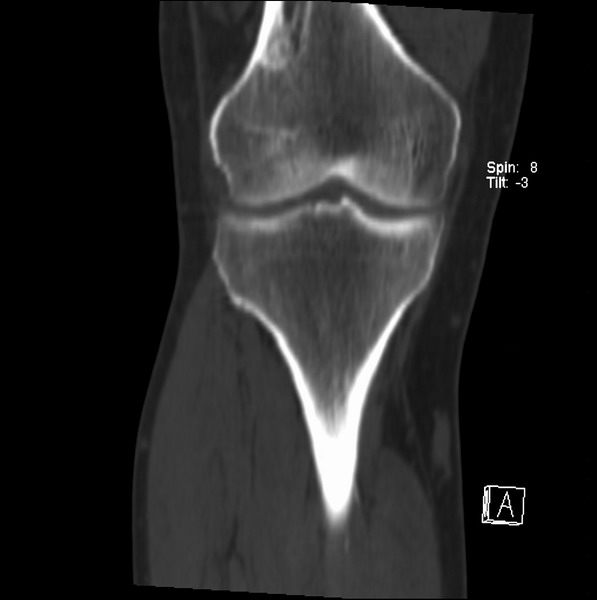
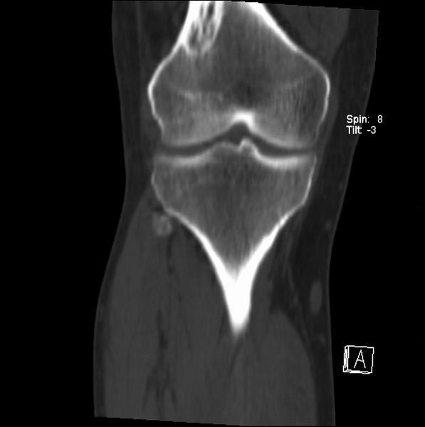
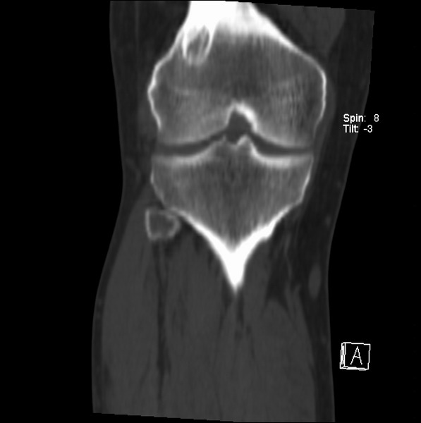
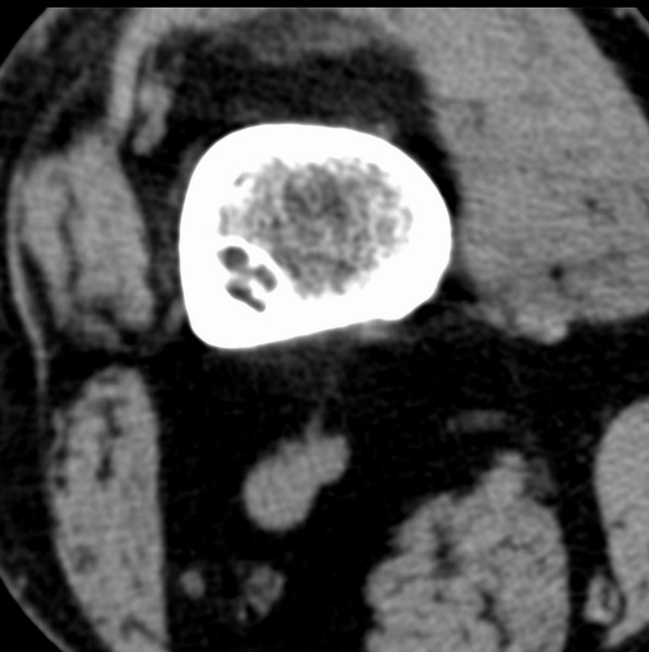
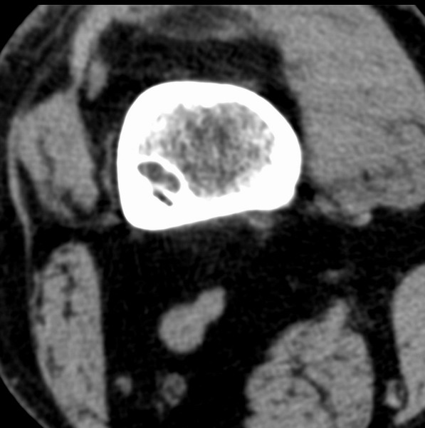
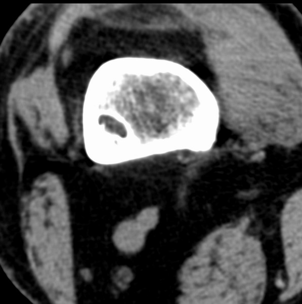
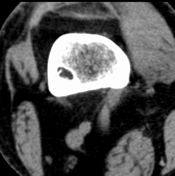
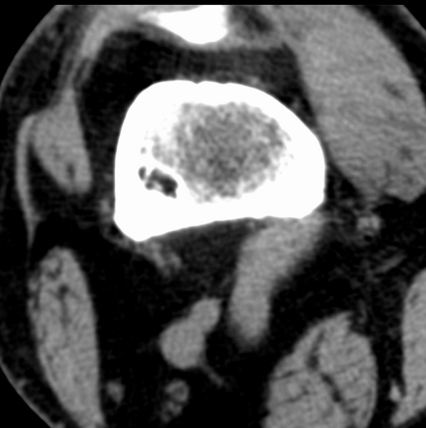
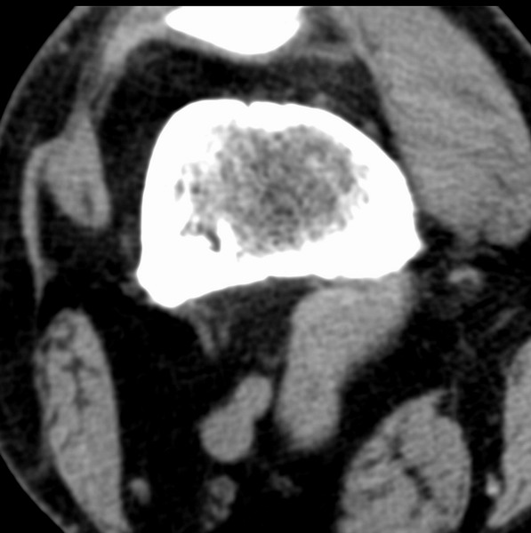
右侧膝关节疼痛一月
男、48
股骨下段、胫骨上段。































[本贴已被 jiajie 于 2009-8-31 20:11:56 修改过]
作者: frzh 时间: 2009-8-31 20:36
标题: asdsadasdsadsa
dssadasdasdasdasdsadasdad








[本贴已被 frzh 于 2009-8-31 12:38:52 修改过]
作者: zxl51642 时间: 2009-8-31 20:54
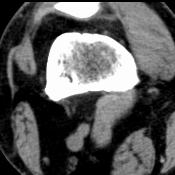
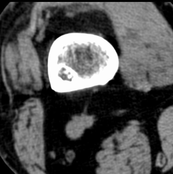
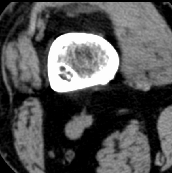
1、股骨干骺端病变考虑干骺端纤维性皮质缺损愈后(非骨化性纤维瘤)改变,胫骨近端内生骨瘤(或干骺端纤维性皮质缺损愈后改变);
2、骨关节炎,骨质增生,股骨外侧髁退变性囊肿(关节面软骨下囊肿);
3、髌骨前缘裂纹骨折?
作者: 513ytb 时间: 2009-8-31 22:28
股骨干骺端病变考虑干骺端纤维性皮质缺损愈后(非骨化性纤维瘤)改变,胫骨近端内生骨瘤(或干骺端纤维性皮质缺损愈后改变);
作者: zgb5618 时间: 2009-8-31 22:50
考虑骨样骨瘤
作者: 卜一 时间: 2009-8-31 23:19
多发内生软骨瘤!
作者: 深泽交通 时间: 2009-8-31 23:43
标题: 回复:骨肿瘤请会诊。
以下是引用卜一在2009-8-31 15:19:00的发言:[br]多发内生软骨瘤!
作者: zjzjr 时间: 2009-8-31 23:44
1、股骨干骺端病变考虑干骺端纤维性皮质缺损愈后(非骨化性纤维瘤)改变,胫骨近端内生骨瘤;
2、骨关节炎,骨质增生,股骨外侧髁退变性囊肿(关节面软骨下囊肿);
作者: 147971863 时间: 2009-9-1 00:49
标题: 回复:骨肿瘤请会诊。
以下是引用卜一在2009-8-31 15:19:00的发言:[br]多发内生软骨瘤!
作者: frzh 时间: 2009-9-1 03:41
标题: 回复:骨肿瘤请会诊。
以下是引用513ytb在2009-8-31 14:28:00的发言:[br]股骨干骺端病变考虑干骺端纤维性皮质缺损愈后(非骨化性纤维瘤)改变,胫骨近端内生骨瘤(或干骺端纤维性皮质缺损愈后改变);
髌骨未见异常.
作者: LIAOQIANG 时间: 2009-9-1 17:49
股骨干骺端病变考虑非骨化性纤维瘤。
作者: qiuleiyu 时间: 2009-9-1 19:04
标题: 回复:ct21959:骨肿瘤请会诊。
以下是引用liaoqiang在2009-9-1 9:49:00的发言:[br]股骨干骺端病变考虑非骨化性纤维瘤。
作者: 黑白光影 时间: 2009-9-1 21:16
1、股骨干骺端病变考虑干骺端纤维性皮质缺损愈后(非骨化性纤维瘤)改变,胫骨近端内生骨瘤;
2、骨关节炎,骨质增生,股骨外侧髁退变性囊肿(关节面软骨下囊肿);
作者: 随光逐影 时间: 2009-9-6 22:27
标题: 回复:ct21959:骨肿瘤请会诊。
以下是引用黑白光影在2009-9-1 13:16:00的发言:[br]1、股骨干骺端病变考虑干骺端纤维性皮质缺损愈后(非骨化性纤维瘤)改变,胫骨近端内生骨瘤;[br]2、骨关节炎,骨质增生,股骨外侧髁退变性囊肿(关节面软骨下囊肿);
作者: 随光逐影 时间: 2009-9-6 22:28
标题: 回复:ct21959:骨肿瘤请会诊。
以下是引用黑白光影在2009-9-1 13:16:00的发言:[br]1、股骨干骺端病变考虑干骺端纤维性皮质缺损愈后(或非骨化性纤维瘤)改变,胫骨近端内生骨瘤;[br]2、骨关节炎,骨质增生,股骨外侧髁退变性囊肿(关节面软骨下囊肿);
作者: fengyingying123 时间: 2009-9-10 05:19
1、股骨干骺端病变考虑干骺端纤维性皮质缺损愈后(非骨化性纤维瘤)改变,胫骨近端内生骨瘤;
2、骨关节炎,骨质增生,股骨外侧髁退变性囊肿(关节面软骨下囊肿);
作者: zsl6918 时间: 2009-9-10 06:55
支持非骨化性纤维瘤
作者: 奥林克 时间: 2009-9-12 00:36
非骨化性纤维瘤
| 欢迎光临 医影在线 (http://bbs.radida.com/bbs/) |
Powered by Discuz! X3.2 |