


以下是引用卜一在2009-9-1 8:23:00的发言:[br]1、双侧豆状核小软化灶;[br]2、提示双侧海马硬化,建议mrs。支持!
以下是引用ayi在2009-9-1 0:41:00的发言:[br]1、双侧豆状核小软化灶;[br]2、提示双侧海马硬化,建议mrs。
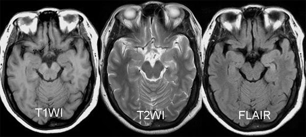
以下是引用三博在2009-9-10 12:42:00的发言:[br]病理:左侧海马硬化。[br]苍白球软化灶。[br]左侧海马信号增高,体积变小,右侧海马信号未见明显异常,
以下是引用三博在2009-9-10 12:42:00的发言:[br]病理:左侧海马硬化。[br]苍白球软化灶。[br]左侧海马信号增高,体积变小,右侧海马信号未见明显异常,
以下是引用三博在2009-9-10 12:42:00的发言:[br]病理:左侧海马硬化。[br]苍白球软化灶。[br]左侧海马信号增高,体积变小,右侧海马信号未见明显异常,
| 欢迎光临 医影在线 (http://bbs.radida.com/bbs/) | Powered by Discuz! X3.2 |