医影在线

标题: X6237:请教,肩关节 [打印本页]

作者: 07619    时间: 2009-9-1 03:38
标题: X6237:请教,肩关节
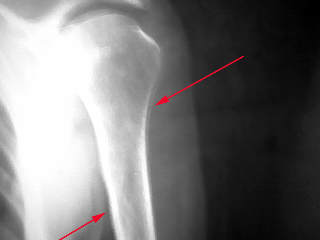
男,76。上臂软组织包块


[本贴已被 jiajie 于 2009-8-31 20:22:48 修改过]

作者: qsbaomingcheng    时间: 2009-9-1 04:34
片子太虚了,箭头所指考虑模糊伪影所致
作者: 森林木医生    时间: 2009-9-1 05:17
不太像你说的软组织包块,我倒是人为可能是拍照时病人动了以后所产生的,而且如果说是骨膜反应也不是太确切。总之我认为不像软组织包块!(个人意见)
作者: 黑白光影    时间: 2009-9-1 05:44
没事。
作者: 观影朔征    时间: 2009-9-1 05:48
标题: 回复:x6237:请教,肩关节
以下是引用qsbaomingcheng在2009-8-31 20:34:00的发言:[br]片子太虚了,箭头所指考虑模糊伪影所致

作者: wwwwyf    时间: 2009-9-1 05:54
骨膜反应,须在复查观察
作者: zhanggenliang    时间: 2009-9-1 07:10
不是骨膜反应。整个片子感觉太模糊。照相时病人动了吧。重新照一下不就行了
作者: dyqct    时间: 2009-9-1 15:36
重照吧!
作者: LIAOQIANG    时间: 2009-9-1 16:17
整个片子感觉太模糊,重照吧。
作者: zxl51642    时间: 2009-9-1 16:29
整个片子感觉太模糊,重照吧。假如骨膜弥漫性增厚,要考虑肺部病变。
作者: zjzjr    时间: 2009-9-1 17:39
重照吧!
作者: 泪洒红尘    时间: 2009-9-1 17:49
骨膜伴随影。
作者: jiahui7z    时间: 2009-9-1 19:35
废片,重拍!
作者: 胡宇    时间: 2009-9-1 20:39
重照吧!
作者: 小猫钓鱼    时间: 2009-9-1 22:59
三级废片,重照!
作者: 施明    时间: 2009-9-1 23:49
废片。重照。
作者: 拾荒者    时间: 2009-9-2 05:42
标题: 回复:x6237:请教,肩关节
以下是引用zhanggenliang在2009-8-31 23:10:00的发言:[br]不是骨膜反应。整个片子感觉太模糊。照相时病人动了吧。重新照一下不就行了

作者: 随光逐影    时间: 2009-9-7 07:14
考虑伪影。
作者: ql    时间: 2009-9-8 01:08
像photoshop壁画的感觉,不能确定
作者: shibing    时间: 2014-8-21 16:25
骨膜伴随影。




欢迎光临 医影在线 (http://bbs.radida.com/bbs/) Powered by Discuz! X3.2