









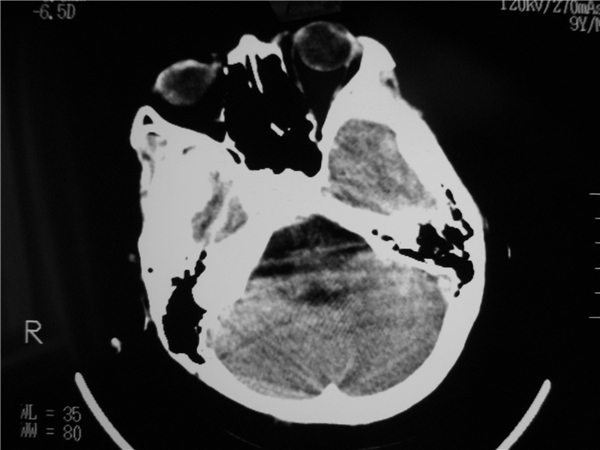
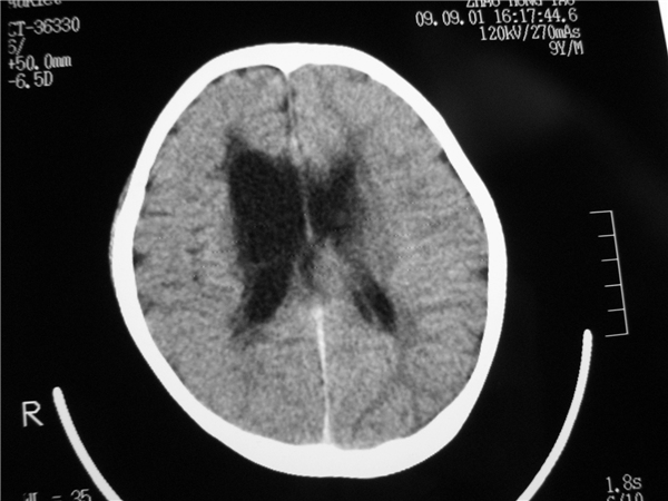
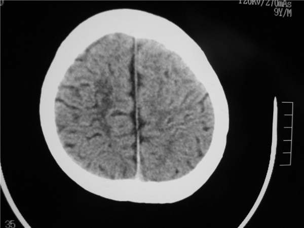
以下是引用余辉在2009-9-2 8:06:00的发言:[br]右侧侧脑室扩大,脑髓质量明显减少,胼胝体区结构不良,脑沟增深。考虑右侧大脑萎缩伴胼胝体发育不良(可能后遗改变(hie史?)),请查病史。第三脑室四脑室扩张,应该有脑积水存在
以下是引用dyqct在2009-9-1 21:57:00的发言:[br]右侧侧脑室扩大,脑髓质量明显减少,脑沟增深。考虑右侧大脑萎缩(可能后遗改变),请查病史。
以下是引用hguox在2009-9-1 21:52:00的发言:[br]胼胝体发育不全
以下是引用dyqct在2009-9-1 21:57:00的发言:[br]右侧侧脑室扩大,脑髓质量明显减少,脑沟增深。考虑右侧大脑萎缩(可能后遗改变),请查病史。
以下是引用拾荒者在2009-9-2 20:53:00的发言:[br]右侧侧脑室扩大,脑髓质量明显减少,胼胝体区结构不良,脑沟增深。考虑右侧大脑萎缩伴胼胝体发育不良。至于是否合并脑炎,可结合实验室检查或脑脊液检查。
| 欢迎光临 医影在线 (http://bbs.radida.com/bbs/) | Powered by Discuz! X3.2 |