医影在线

标题: X6255:男 40 [打印本页]

作者: 帅河马    时间: 2009-9-3 21:38
标题: X6255:男 40
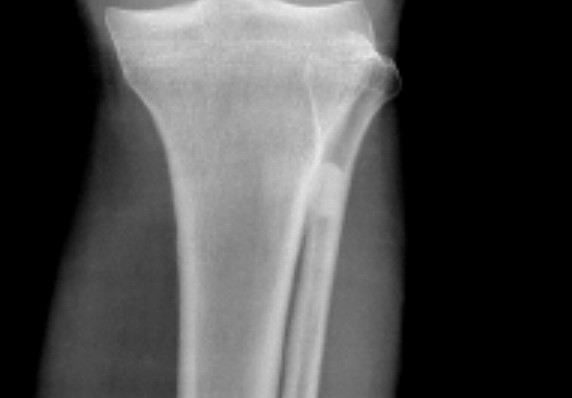
外伤就诊
腓骨上段髓腔内高密度应是???


[本贴已被 jiajie 于 2009-9-3 19:48:24 修改过]

作者: 自贡刘剑    时间: 2009-9-3 22:15
骨岛
作者: zxl51642    时间: 2009-9-3 22:19
内生骨瘤。
作者: 泪洒红尘    时间: 2009-9-3 22:40
支持2、3楼。
作者: 黑白光影    时间: 2009-9-3 22:52
标题: 回复:患者 男 40


正位怎么看都有与胫骨重叠密度影,但侧位又那么干净利索,如果是外凸瘤的话,难道就垂直得这么好?

支持以上所楼主吧!
作者: dyqct    时间: 2009-9-3 23:18
内生骨瘤。
作者: 奥特之父    时间: 2009-9-4 00:16
常见,考虑骨岛。
作者: jinguoji    时间: 2009-9-4 00:30
考虑骨岛。
作者: 谨言慎行    时间: 2009-9-4 01:17
考虑骨岛
作者: 37度    时间: 2009-9-4 01:20
诸葛亮是不是孔明啊。
作者: 医盲    时间: 2009-9-4 01:42
内生骨瘤!
作者: zjzjr    时间: 2009-9-4 02:05
支持2、3楼。一个病.
作者: jiahui7z    时间: 2009-9-4 03:08
支持大家
作者: qsbaomingcheng    时间: 2009-9-4 03:41
内生骨瘤
作者: zhanggenliang    时间: 2009-9-4 03:45
支持内生软骨瘤
作者: GANENG.2008    时间: 2009-9-4 06:04
内生骨瘤。
作者: 清风无痕    时间: 2009-9-4 06:17
考虑内生骨瘤。
作者: 斌斌    时间: 2009-9-4 06:33
内生骨瘤
作者: 影象小泰斗    时间: 2009-9-4 06:52
考虑骨岛.
作者: 513ytb    时间: 2009-9-4 07:13
内生骨瘤.
作者: 观影朔征    时间: 2009-9-4 15:17
骨岛
作者: 江广1996    时间: 2009-9-4 17:25
内生骨瘤
作者: 592438394    时间: 2009-9-4 18:46
内生骨瘤.
作者: badoucai    时间: 2009-9-5 00:35
致密性骨瘤-------骨岛
作者: 拾荒者    时间: 2009-9-5 05:41
骨岛。
作者: hexue    时间: 2009-9-6 19:33
常见,考虑骨岛。
作者: 随光逐影    时间: 2009-9-7 07:54
支持 腓骨上段内生骨瘤。
作者: shibing    时间: 2014-8-21 14:27
标题: Re:X6255:男    40
考虑骨岛。




欢迎光临 医影在线 (http://bbs.radida.com/bbs/) Powered by Discuz! X3.2