

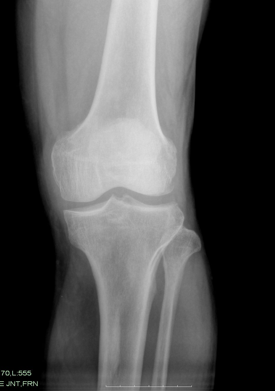
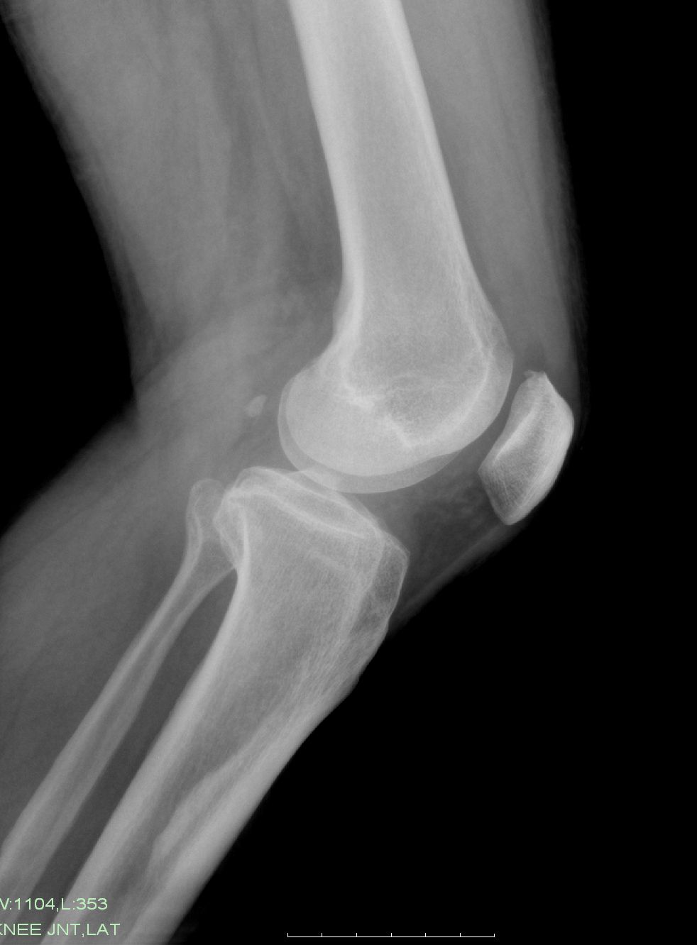
以下是引用zxl51642在2009-9-4 10:43:00的发言:[br]1、关节退变,2、局限性骨皮质增厚,无意义,长期观察,必要时mri。
以下是引用zxl51642在2009-9-4 10:43:00的发言:[br]1、关节退变,2、局限性骨皮质增厚,无意义,长期观察,必要时mri。
以下是引用zjzjr在2009-9-4 16:06:00的发言:[br]局限性骨皮质增厚,轻度退行性变
以下是引用黑白光影在2009-9-4 14:38:00的发言:[br]膝关节构成骨有轻度退行性改变,胫骨上段前内侧局限性骨皮质增厚,正如6楼所说。
| 欢迎光临 医影在线 (http://bbs.radida.com/bbs/) | Powered by Discuz! X3.2 |