医影在线

标题: CT22042:胸部复查 [打印本页]

作者: lyb999    时间: 2009-9-6 04:53
标题: CT22042:胸部复查
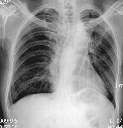
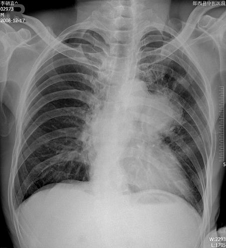
m ,59y,08年12月诊断左侧中央型肺癌,今日复查块影不明显,患者不愿再作ct.
08年cr及ct图像:




























今日片:




[本贴已被 翁志蓬 于 2009-9-5 23:42:45 修改过]

作者: 破釜沉舟    时间: 2009-9-6 05:12
考虑胸腺瘤并肺内浸润。
作者: 子期    时间: 2009-9-6 05:27
期间患者作了什么治疗?
作者: jiahui7z    时间: 2009-9-6 05:29
这个不算什么,曾见过一例典型横“s”征的,做了ct也诊断为ca,一年后又治好了。
作者: 草之原    时间: 2009-9-6 05:43
标题: 回复:胸部复查
以下是引用子期在2009-9-5 21:27:00的发言:[br]期间患者作了什么治疗?

作者: 影像孺子牛    时间: 2009-9-6 05:55
要提供详细的治疗经过,才能下结论。
作者: panyishengct    时间: 2009-9-6 05:59
建议增强,不排外假性动脉瘤。
作者: qc80012345    时间: 2009-9-6 07:01
病史不详???
作者: 987654zwf    时间: 2009-9-6 15:28
要提供详细的治疗经过,才能下结论。
作者: lxq2000    时间: 2009-9-6 16:55
提供详细的病史、治疗经过
作者: 深泽交通    时间: 2009-9-6 16:56
标题: 回复:ct22042:胸部复查
以下是引用987654zwf在2009-9-6 7:28:00的发言:[br]要提供详细的治疗经过,才能下结论。

作者: 泪洒红尘    时间: 2009-9-6 17:34
学习中。
作者: zjzjr    时间: 2009-9-6 17:47
考虑胸腺瘤并肺内浸润。
作者: jiangjing    时间: 2009-9-6 18:09
要提供详细的治疗经过,才能下结论。左上肺部分肺不张【或膨胀不全】
作者: zxl51642    时间: 2009-9-6 18:41
这是一笔糊涂账!
作者: leihencan    时间: 2009-9-6 18:44
考虑原来诊断不明确,应该是纵隔淋巴结结核。
作者: 初学者LANMEI    时间: 2009-9-6 19:02
考虑胸腺瘤并肺内浸润。
作者: 随光逐影    时间: 2009-9-6 19:24
左肺上叶肺癌治疗后改变?
作者: 金火星    时间: 2009-9-6 21:02
炎性假瘤
作者: cainiao003    时间: 2009-9-6 21:31
纵隔型肺癌
作者: ◆七堇年◇    时间: 2009-9-7 00:19
迷茫..感觉象外假性动脉瘤,不象胸腺瘤.
作者: dsl555    时间: 2009-9-7 00:30
要提供详细的治疗经过,才能下结论。
作者: 宇宙CT    时间: 2009-9-7 00:50
要提供详细的治疗经过,才能下结论。
作者: 同    时间: 2009-9-7 02:49
标题: 回复:ct22042:胸部复查
以下是引用987654zwf在2009-9-6 7:28:00的发言:[br]要提供详细的治疗经过,才能下结论。

作者: 湘江一滴    时间: 2009-9-7 03:38
临床治疗经过有利于判断
作者: 黑白光影    时间: 2009-9-7 17:38
一切皆有可能!
见过第一次胃癌以及肺癌诊断的,第二次复查影像定人瞠目结舌。
作者: 微风佛面    时间: 2009-9-7 19:38
要有更详细的治疗经过就好。
如果是肺癌,原来病灶的边界是较清晰。
希望能有进一步的随访资料,让大家共同学习。
作者: 老邱    时间: 2009-9-8 01:51
影像学诊断不能离开临床,同影异病同病不同影。请提供临床资料。
作者: jinguoji    时间: 2009-9-27 06:41
要提供详细的治疗经过,才能下结论。




欢迎光临 医影在线 (http://bbs.radida.com/bbs/) Powered by Discuz! X3.2