医影在线

标题: CT22052:腰5/骶1椎间膨突出外,还有点异常,不知是什么东东 [打印本页]

作者: sqw475    时间: 2009-9-7 07:10
标题: CT22052:腰5/骶1椎间膨突出外,还有点异常,不知是什么东东
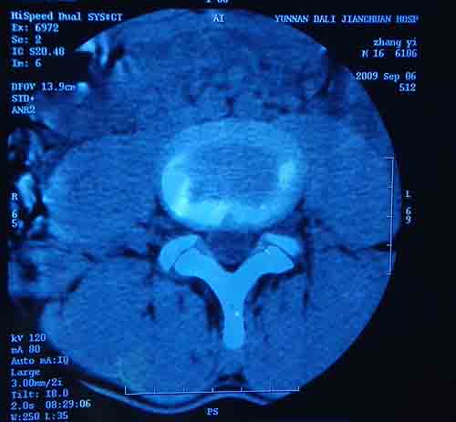
腰5/骶1椎间膨突出外,还有点异常,不知是什么东东,请各位大虾帮忙看看(12骨窗最明显)















[本贴已被 jiajie 于 2009-9-7 20:58:49 修改过]

作者: lczeng    时间: 2009-9-7 08:38
椎体后缘软骨结节
作者: zbp537    时间: 2009-9-7 15:02
软骨结节
作者: 随光逐影    时间: 2009-9-7 15:15
支持 椎体后缘软骨结节。
作者: huqi8888    时间: 2009-9-7 16:19
椎体后缘软骨结节
作者: zxl51642    时间: 2009-9-7 16:28
支持椎体后缘软骨结节。
作者: LIAOQIANG    时间: 2009-9-7 16:42
支持椎体后缘软骨结节。
作者: 深泽交通    时间: 2009-9-7 16:53
标题: 回复:腰5/骶1椎间膨突出外,还有点异常,不知是什么东东
以下是引用liaoqiang在2009-9-7 8:42:00的发言:[br]支持椎体后缘软骨结节。

作者: cuichen1218    时间: 2009-9-7 17:24
标题: 回复:腰5/骶1椎间膨突出外,还有点异常,不知是什么东东
支持椎体后缘软骨结节
作者: 泪洒红尘    时间: 2009-9-7 17:42
支持椎体后缘软骨结节
作者: 卜一    时间: 2009-9-7 17:43
支持 椎体后缘软骨结节。
作者: 黑白光影    时间: 2009-9-7 18:00
支持 椎体后缘软骨结节。
作者: ziyoufeixiang    时间: 2009-9-7 18:14
支持 椎体后缘软骨结节。
作者: zjzjr    时间: 2009-9-7 18:18
支持椎体后缘软骨结节。
作者: ncy888888    时间: 2009-9-7 18:20
支持
作者: sqw475    时间: 2009-9-7 18:39
谢谢!学习了
作者: dyqct    时间: 2009-9-7 19:27
支持 椎体后缘软骨结节。
作者: doc张    时间: 2009-9-7 19:33
支持椎体后缘软骨结节
作者: 初学者LANMEI    时间: 2009-9-7 21:55
支持椎体后缘软骨结节
作者: 987654zwf    时间: 2009-9-8 01:41
正常!
作者: jinguoji    时间: 2009-9-8 01:45
椎体后缘软骨结节。
作者: lyb999    时间: 2009-9-8 03:50
软骨结节




欢迎光临 医影在线 (http://bbs.radida.com/bbs/) Powered by Discuz! X3.2