医影在线

标题: CT22032B:枕骨破坏(从新调整窗宽窗位) [打印本页]

作者: zbp537    时间: 2009-9-7 20:06
标题: CT22032B:枕骨破坏(从新调整窗宽窗位)
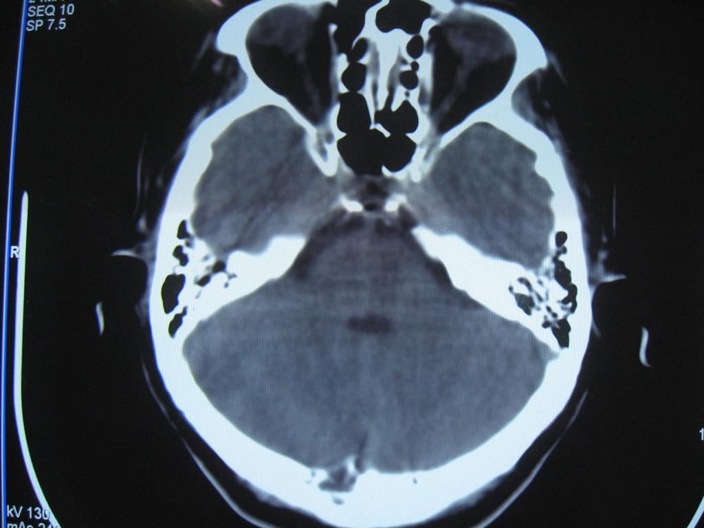
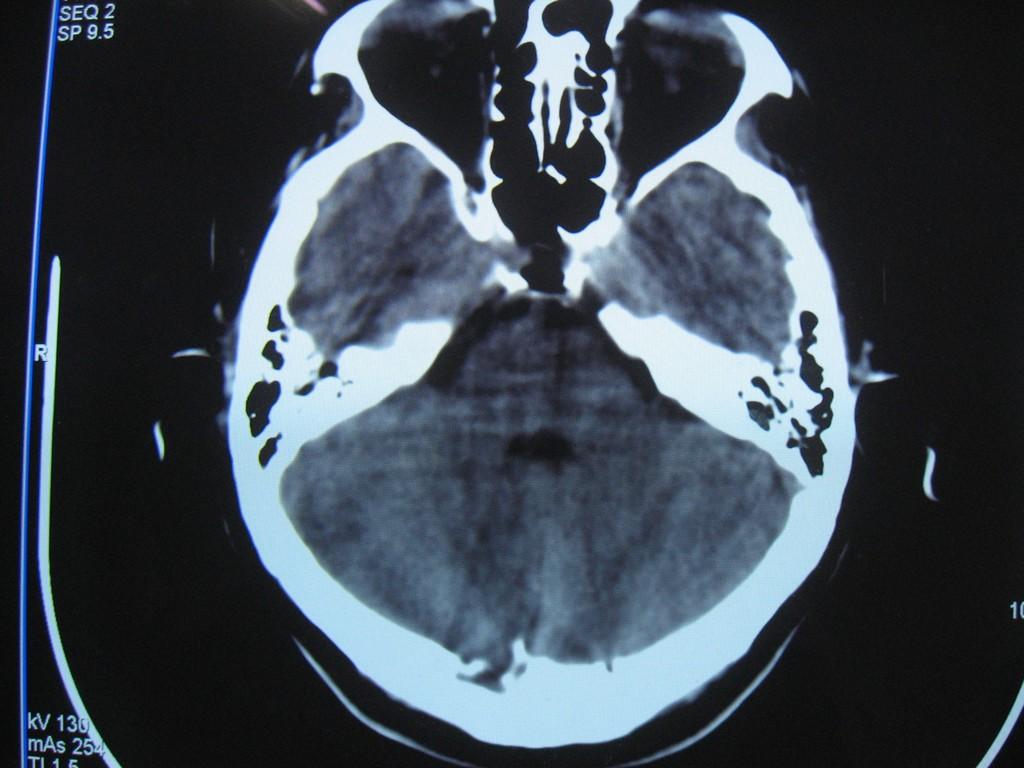
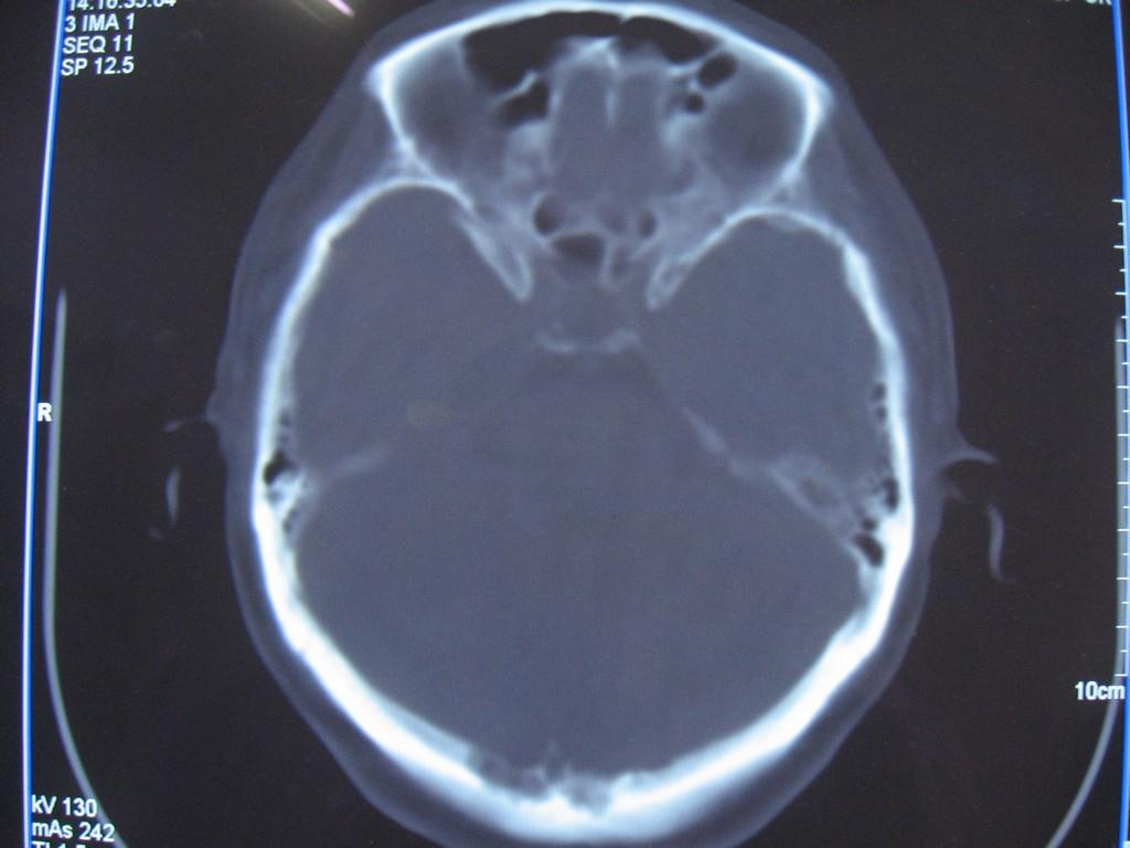
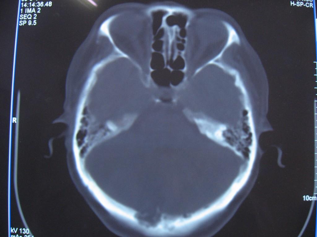
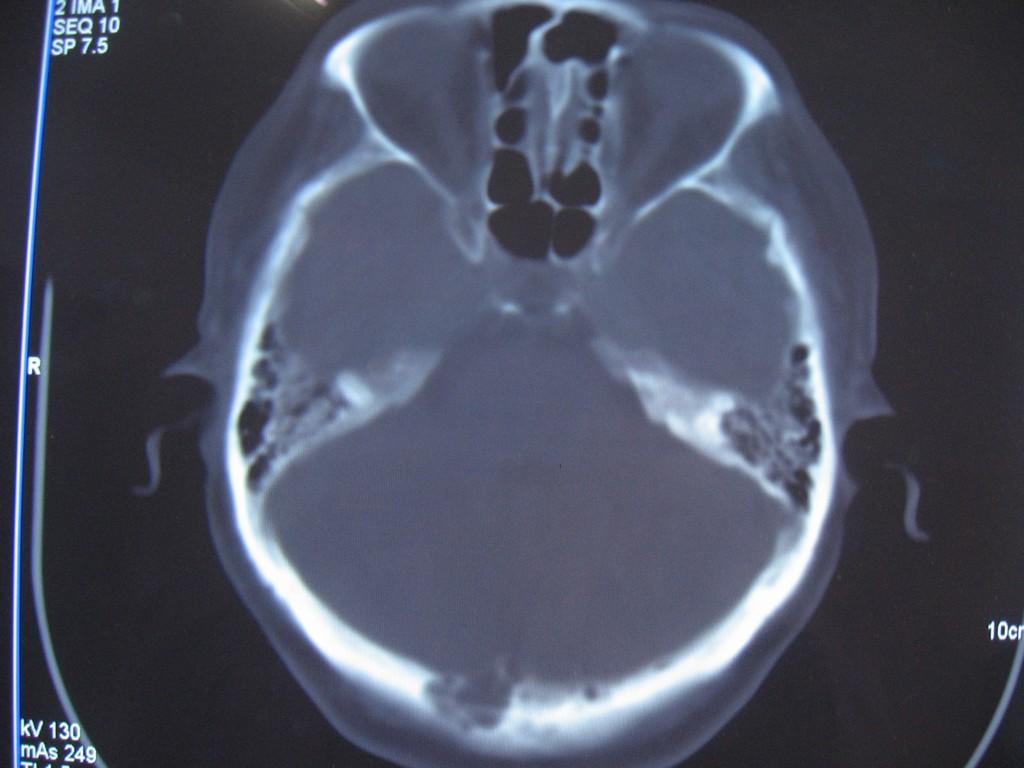
女性病人,53岁,偶尔感枕部针刺样疼痛,ct扫描如下。









[本贴已被 jiajie 于 2009-9-7 21:04:31 修改过]

作者: zxl51642    时间: 2009-9-7 22:30
蛛网膜颗粒压迹。鉴别:骨巨,嗜酸性肉芽肿,骨髓瘤。
作者: 513ytb    时间: 2009-9-7 22:32
蛛网膜颗粒压迹。
作者: 深泽交通    时间: 2009-9-7 22:44
标题: 回复:枕骨破坏(从新调整窗宽窗位)
骨巨,嗜酸性肉芽肿,骨髓瘤,动脉瘤样骨囊肿可能
作者: wawaquan    时间: 2009-9-7 23:01
支持蛛网膜颗粒压迹。
作者: 卜一    时间: 2009-9-7 23:27
支持蛛网膜颗粒压迹。
作者: zjzjr    时间: 2009-9-7 23:56
支持蛛网膜颗粒压迹。
作者: 中国人    时间: 2009-9-8 00:42
考虑嗜酸性肉芽肿。
作者: 987654zwf    时间: 2009-9-8 01:08
支持蛛网膜颗粒压迹,鉴别:骨巨,嗜酸性肉芽肿,骨髓瘤、转移瘤
作者: 熊熊    时间: 2009-9-8 02:26
支持蛛网膜颗粒压迹,鉴别:骨巨,嗜酸性肉芽肿,骨髓瘤、转移瘤
作者: 道哥    时间: 2009-9-8 02:54
支持蛛网膜颗粒压迹,嗜酸性肉芽肿发生于30岁以下,基本排除,骨髓瘤、转移瘤多伴有软组织肿块,范围较广。
作者: lyb999    时间: 2009-9-8 05:12
意义不太大
作者: mlfx123321    时间: 2009-9-8 06:41
支持蛛网膜颗粒压迹
作者: 随光逐影    时间: 2009-9-8 15:38
枕骨蛛网膜颗粒压迹。
作者: jinguoji    时间: 2009-9-8 16:23
支持蛛网膜颗粒压迹。
作者: 黑白光影    时间: 2009-9-8 20:50
这外片子发过吧?
支持蛛网膜颗粒压迹。




欢迎光临 医影在线 (http://bbs.radida.com/bbs/) Powered by Discuz! X3.2