






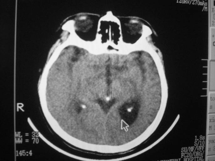
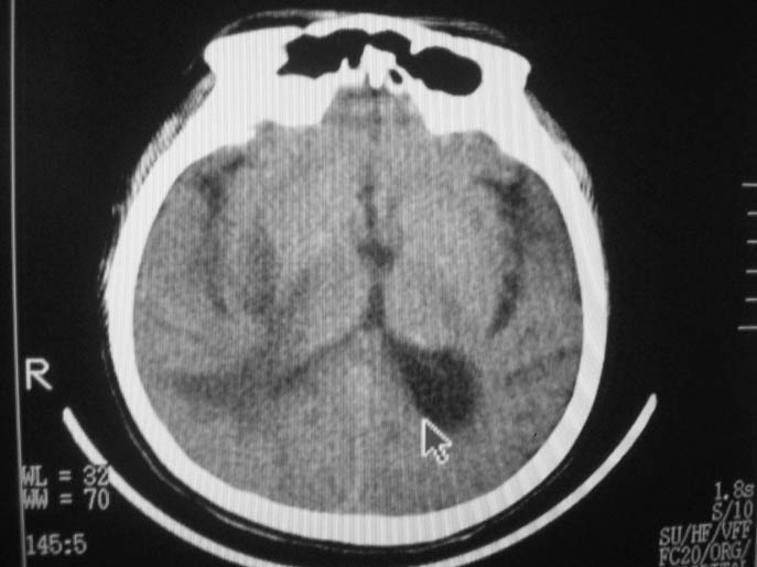
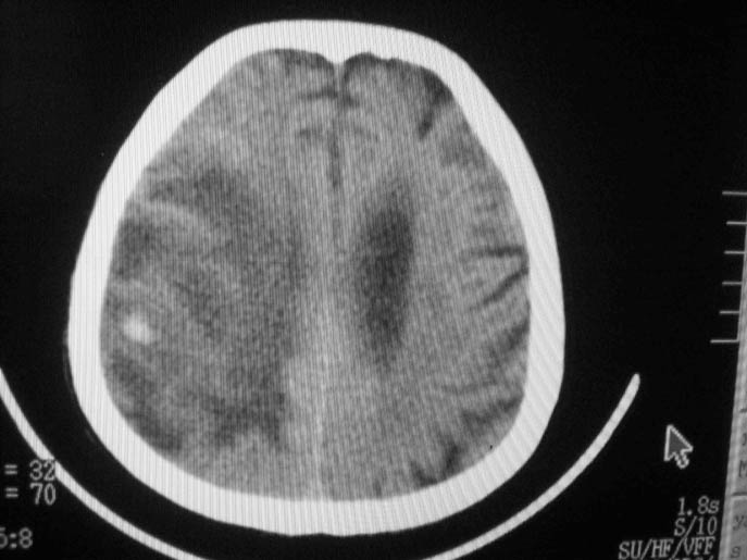
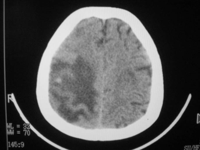
以下是引用卜一在2009-9-7 16:23:00的发言:[br]支持:胶质瘤伴出血!
以下是引用随光逐影在2009-9-8 7:40:00的发言:[br]考虑脑转移瘤或胶质瘤并肿瘤卒中;建议行ct增强扫描检查。
以下是引用随光逐影在2009-9-8 7:40:00的发言:[br]考虑脑转移瘤或胶质瘤并肿瘤卒中;建议行ct增强扫描检查。
以下是引用随光逐影在2009-9-8 7:40:00的发言:[br]考虑脑转移瘤或胶质瘤并肿瘤卒中;建议行ct增强扫描检查。
以下是引用熊熊在2009-9-7 18:31:00的发言:[br]胶质瘤伴出血[br]建议增强
| 欢迎光临 医影在线 (http://bbs.radida.com/bbs/) | Powered by Discuz! X3.2 |