









































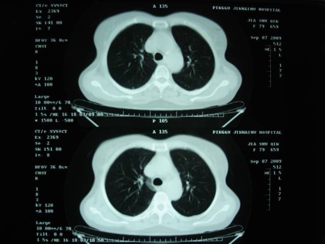
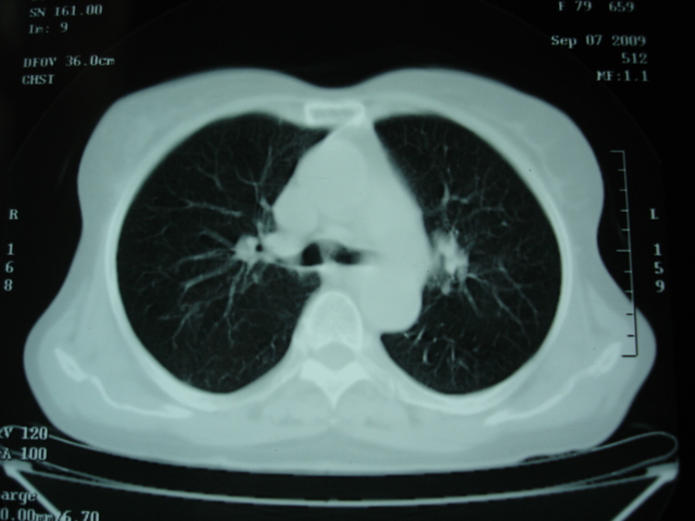
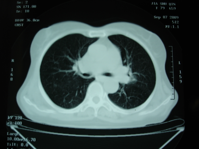
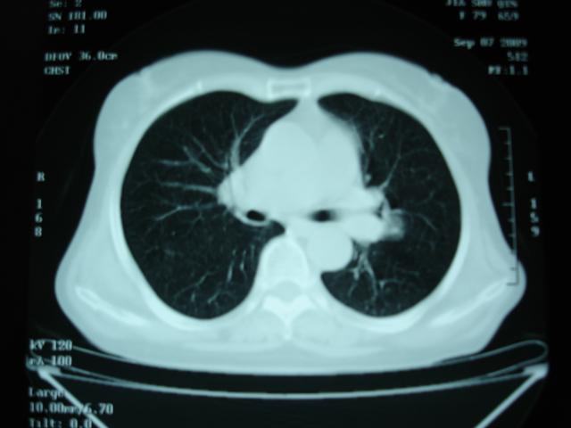
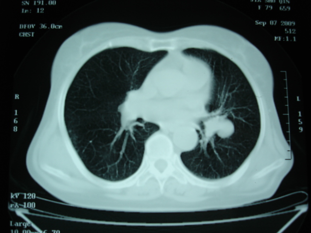
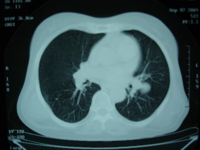
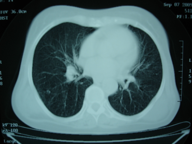
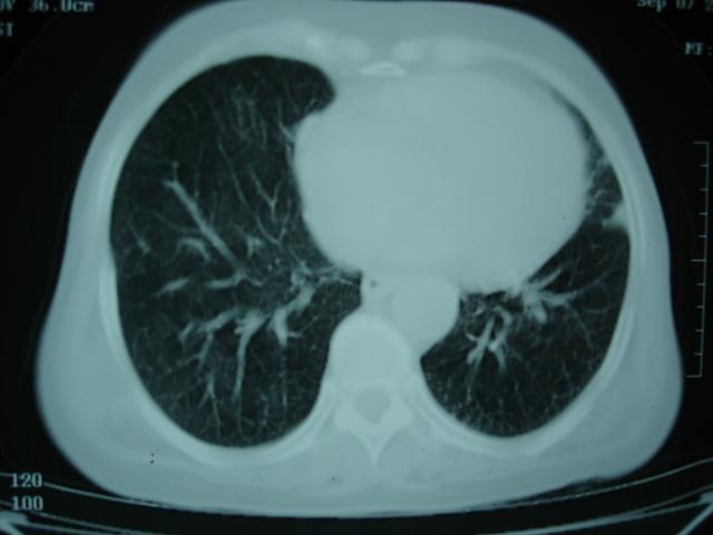
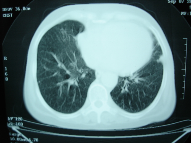
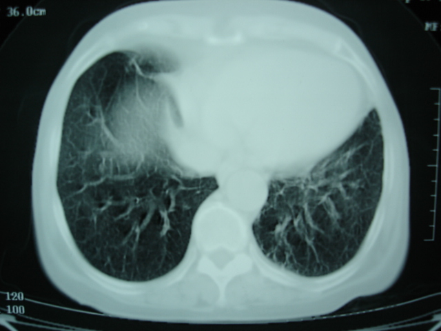
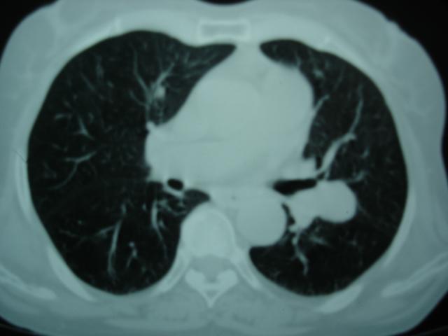
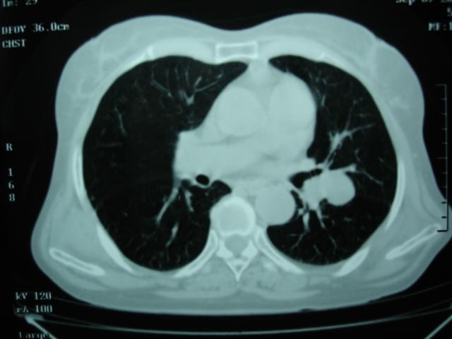
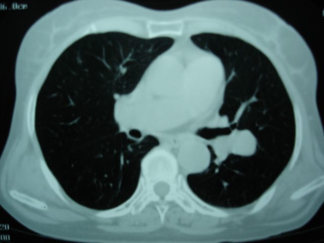
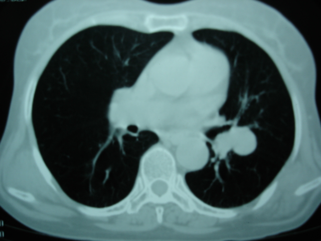
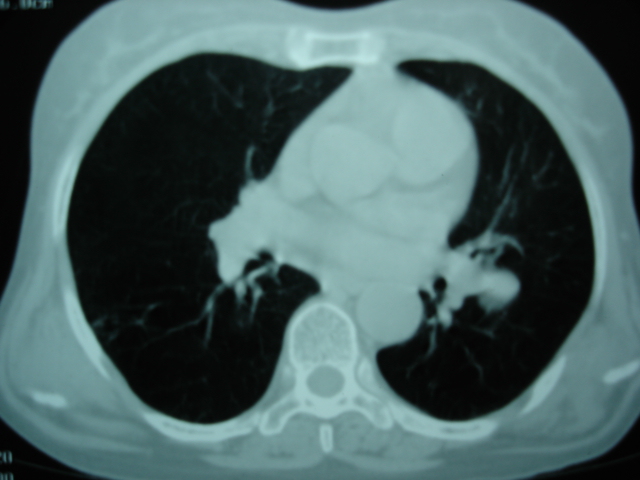
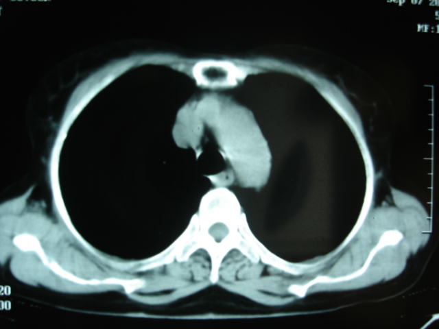
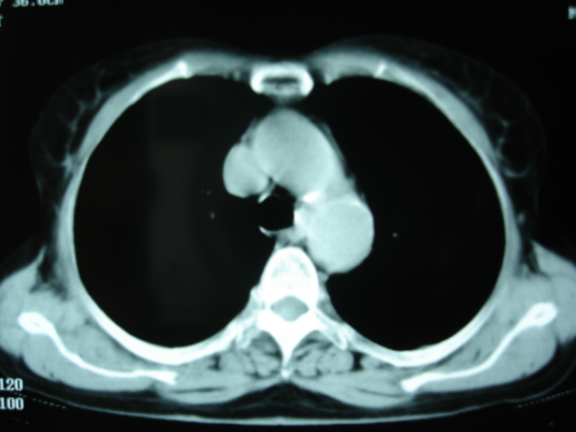
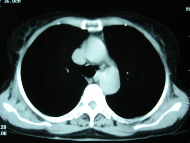
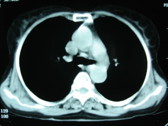
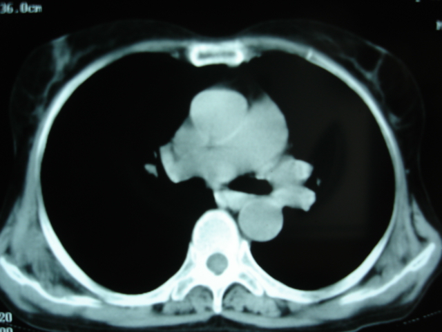
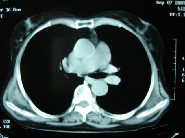
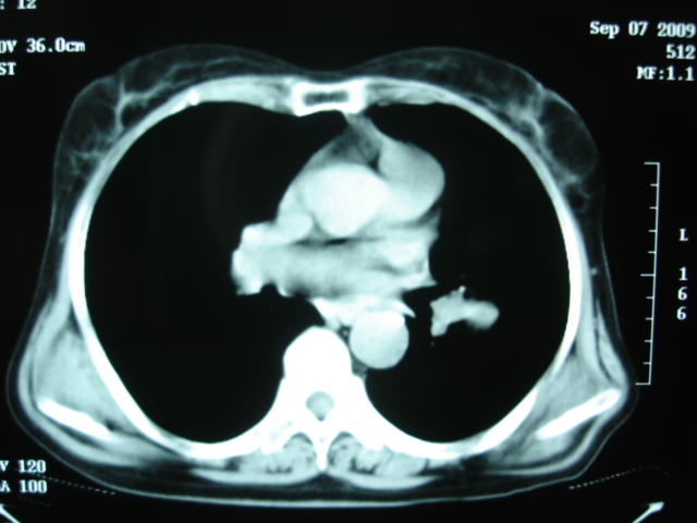
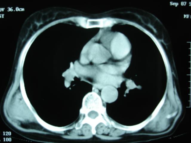
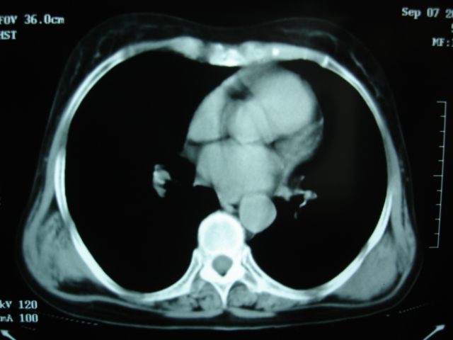
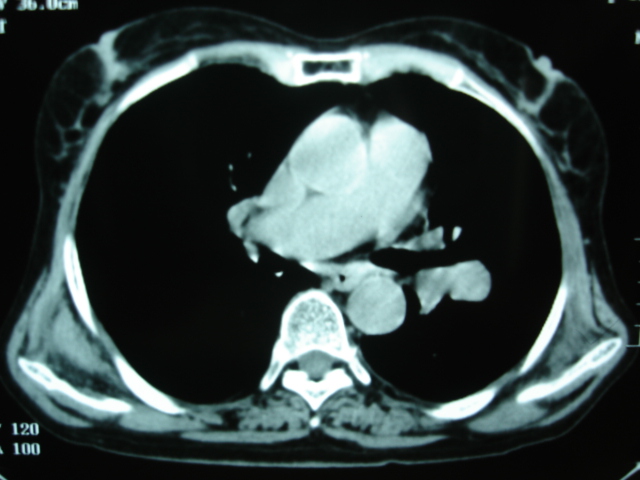
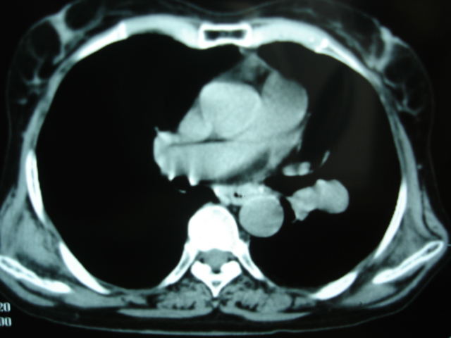
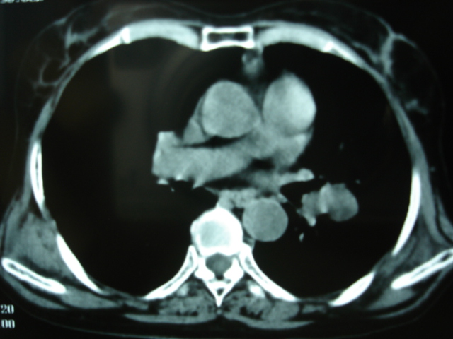
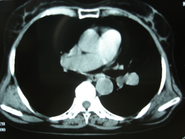
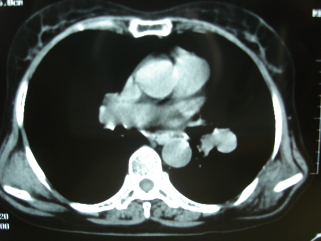
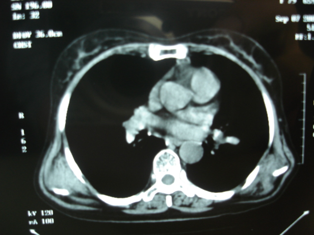
以下是引用卜一在2009-9-7 19:51:00的发言:[br][br] 1 左侧胸内甲状腺占位-多考虑甲状腺腺瘤! 2、左肺门占位-建议增强扫描以便明确性质。 3 慢支并感染! [br]
以下是引用shibing在2009-9-7 20:40:00的发言:[br]左侧胸内甲状腺占位-多考虑甲状腺腺瘤! 2、左肺门占位-建议增强扫描以便明确性质。 3 慢支并感染! [br]
| 欢迎光临 医影在线 (http://bbs.radida.com/bbs/) | Powered by Discuz! X3.2 |