医影在线

标题: PED2886:胸片 [打印本页]

作者: hulei666    时间: 2009-9-8 04:22
标题: PED2886:胸片
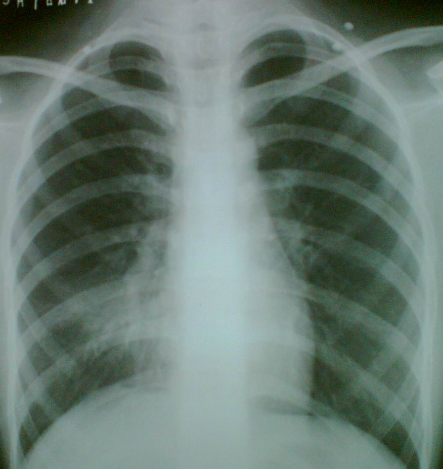
女,12岁,咳嗽,抗炎12天未痊愈行胸片检查(中途有好转后又复发),大家看看有没有右肺中叶综合征的可能?



[本贴已被 jiajie 于 2009-9-7 21:25:42 修改过]

作者: yuebin    时间: 2009-9-8 04:30
像炎性实变,支原体肺炎待排。
作者: 帅河马    时间: 2009-9-8 04:35
考虑感染,支持中叶综合征。
作者: 江广1996    时间: 2009-9-8 04:56
考虑感染.如果考虑中叶综合征,照个右侧位和前凸位片不是一目了然吗?
作者: 513ytb    时间: 2009-9-8 07:51
感染.
作者: wwwwyf    时间: 2009-9-8 08:01
感染.
作者: 随光逐影    时间: 2009-9-8 16:28
考虑右肺中叶肺炎;建议抗炎治疗后复查。
作者: zxl51642    时间: 2009-9-9 00:19
考虑右肺中叶肺炎;建议抗炎治疗后复查。
作者: sunbin    时间: 2009-9-9 01:04
右肺中叶实变,建议加照右侧位片。或ct检查。
作者: 同    时间: 2009-9-9 04:10
标题: 回复:ped2886:胸片
以下是引用帅河马在2009-9-7 20:35:00的发言:[br]考虑感染,支持中叶综合征。

作者: 拾荒者    时间: 2009-9-9 04:43
右下肺门区片絮状阴影,右心缘模糊,首先考虑炎症。
作者: 水蓝色的    时间: 2009-9-9 04:53
支持右肺中叶综合症。
作者: dyqct    时间: 2009-9-9 05:48
标题: 回复:ped2886:胸片
以下是引用sunbin在2009-9-8 17:04:00的发言:[br]右肺中叶实变,建议加照右侧位片。或ct检查。

支持!
作者: 黑白光影    时间: 2009-9-9 06:15
标题: 回复:ped2886:胸片
以下是引用江广1996在2009-9-7 20:56:00的发言:[br]考虑感染.如果考虑中叶综合征,照个右侧位和前凸位片不是一目了然吗?

作者: muzi888    时间: 2009-9-9 23:56
考虑感染,支持中叶综合征。
作者: zjzjr    时间: 2009-9-10 04:23
考虑右肺中叶肺炎;建议抗炎治疗后复查。
作者: 胡宇    时间: 2009-9-10 06:31
右肺中叶实变,建议加照右侧位片。或ct检查。
作者: 湘江一滴    时间: 2009-9-11 06:24
支持中叶综合症,考虑感染
作者: 37度    时间: 2009-9-11 20:24
考虑右肺中叶肺炎;建议抗炎治疗后复查。
作者: jinguoji    时间: 2009-9-12 02:07
考虑右肺中叶肺炎,建议继续抗炎治疗后复查。




欢迎光临 医影在线 (http://bbs.radida.com/bbs/) Powered by Discuz! X3.2