医影在线
标题: PED2887:女,12岁,车祸伤。 [打印本页]
作者: 小初学者 时间: 2009-9-9 02:54
标题: PED2887:女,12岁,车祸伤。
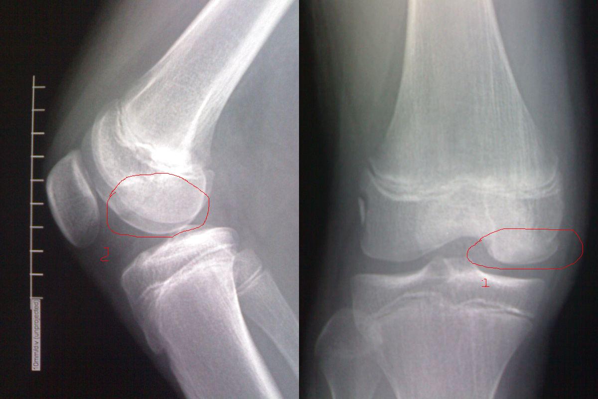
女,12岁。右膝关节车祸伤



[本贴已被 jiajie 于 2009-9-8 18:55:52 修改过]
[本贴已被 小初学者 于 2009-9-8 18:57:23 修改过]
作者: 拾荒者 时间: 2009-9-9 04:28
右膝关节外侧髁边缘锐利的条片状高密度影,局部骨质缺损,局部软组织未见明显异常,不太支持骨折,考虑剥脱性骨软骨炎可能。
作者: dyqct 时间: 2009-9-9 05:50
标题: 回复:ped2887:女,12岁,车祸伤。
以下是引用拾荒者在2009-9-8 20:28:00的发言:[br]右膝关节外侧髁边缘锐利的条片状高密度影,局部骨质缺损,局部软组织未见明显异常,不太支持骨折,考虑剥脱性骨软骨炎可能。
支持!
作者: 黑白光影 时间: 2009-9-9 06:12
考虑剥脱性骨软骨炎可能。支持
作者: zxl51642 时间: 2009-9-9 17:44
标题: 回复:ped2887:女,12岁,车祸伤。
1、股骨内侧髁骨折;
2、外侧髁考虑永存骨骺。

[本贴已被 zxl51642 于 2009-9-9 9:45:40 修改过]
作者: 随光逐影 时间: 2009-9-9 22:39
1)右侧股骨内侧髁骨折波及关节面。2)考虑右侧股骨外侧髁剥脱性骨软骨炎,不排除永存骨骺。
作者: muzi888 时间: 2009-9-9 23:55
支持楼上
作者: zxl51642 时间: 2009-9-10 00:38
标题: 膝关节
剥脱性骨软骨炎为关节软骨及软骨下骨的无菌性坏死,并非正真炎症,又称kunig‘s病,好发青少年,男多于女,x线表现为关节面局限性骨质疏松区围绕一块相对致密骨片,形成一环形透明巢包含一块小死骨,碎片可形成游离体,脱落部分留有局部骨关节面的缺损凹陷,部分病变可由修复新骨形成而消失。
此例病变部位无关节面软骨覆盖,不应考虑剥脱性骨软骨炎,可考虑永存骨骺(二次骨化中心不愈合)。
[本贴已被 zxl51642 于 2009-9-9 16:40:33 修改过]
作者: zjzjr 时间: 2009-9-10 00:59
标题: 回复:ped2887:女,12岁,车祸伤。
以下是引用zxl51642在2009-9-9 9:44:00的发言:[br]1、股骨内侧髁骨折;[br]2、外侧髁考虑永存骨骺。[br]
[br][br][br][本贴已被 zxl51642 于 2009-9-9 9:45:40 修改过]
作者: 胡宇 时间: 2009-9-10 06:35
以下是引用zxl51642在2009-9-9 9:44:00的发言:
1、股骨内侧髁骨折;
2、外侧髁考虑永存骨骺。
[本贴已被 zxl51642 于 2009-9-9 9:45:40 修改过]
作者: 影象小泰斗 时间: 2009-9-11 06:28
学习中。。。。
作者: 代课学生 时间: 2009-9-11 19:36
股骨内髁骨折可以肯定,外髁是骨折、软骨炎还是永存骨骺?请结合临床详细查一查。
作者: 37度 时间: 2009-9-11 20:23
标题: 回复:ped2887:女,12岁,车祸伤。
以下是引用随光逐影在2009-9-9 14:39:00的发言:[br]1)右侧股骨内侧髁骨折波及关节面。2)考虑右侧股骨外侧髁剥脱性骨软骨炎,不排除永存骨骺。[br]
作者: jinguoji 时间: 2009-9-12 02:05
支持zxl51642的意见。
作者: yuhongjun 时间: 2009-11-30 14:08
1)右侧股骨内侧髁骨折波及关节面。2)考虑右侧股骨外侧髁剥脱性骨软骨炎,不排除永存骨骺。
欢迎光临 医影在线 (http://bbs.radida.com/bbs/) |
Powered by Discuz! X3.2 |