医影在线
标题: CT22085:双肺多发结节 [打印本页]
作者: xxhwh 时间: 2009-9-9 06:11
标题: CT22085:双肺多发结节
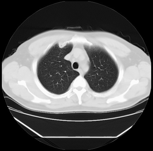
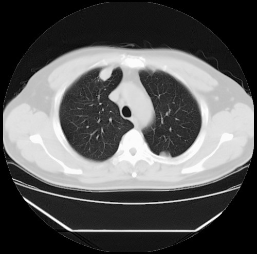
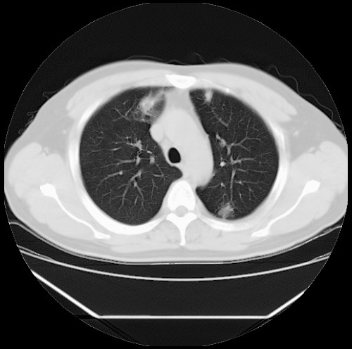
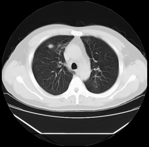
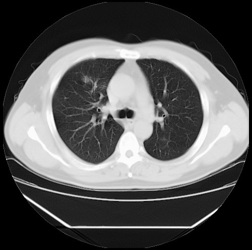
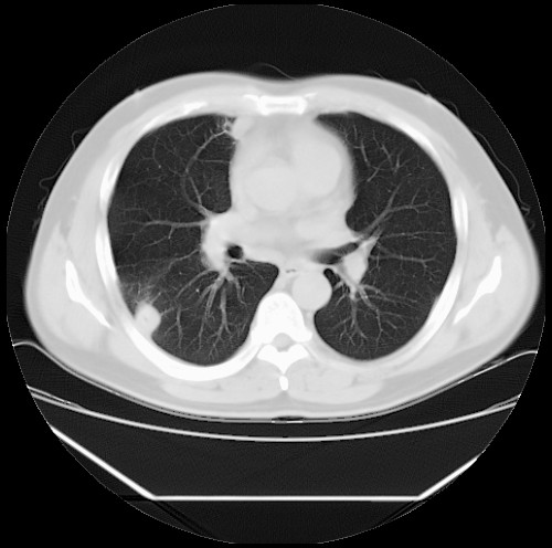
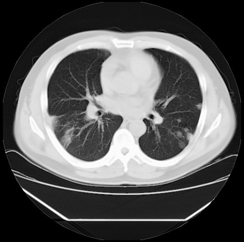
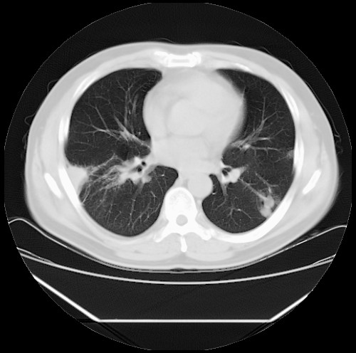
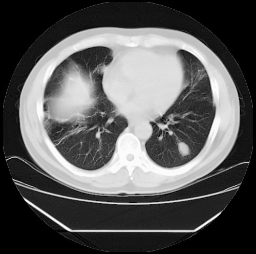
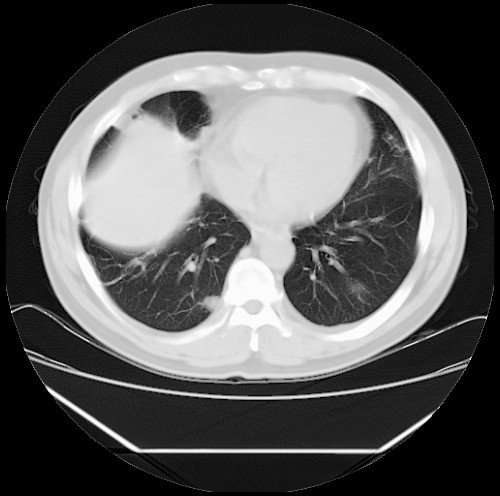
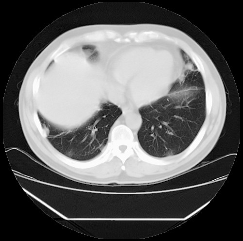
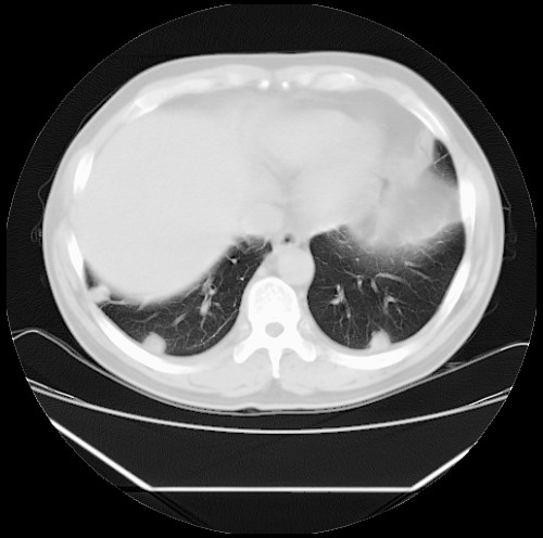
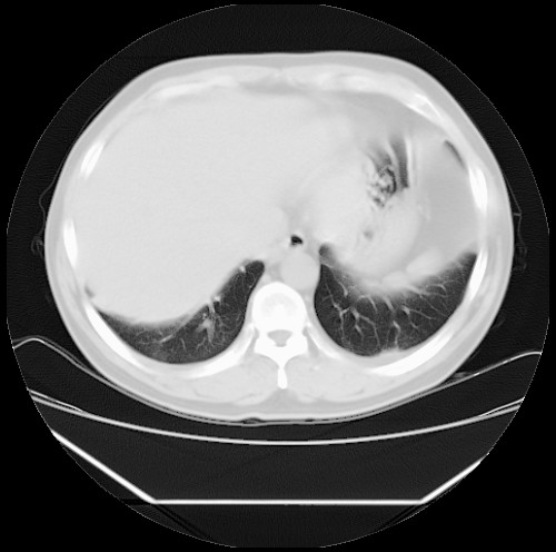
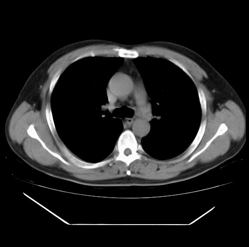
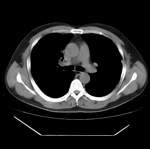
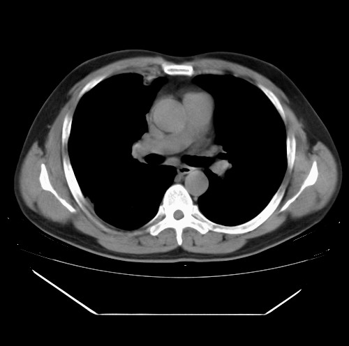
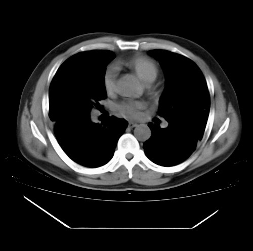
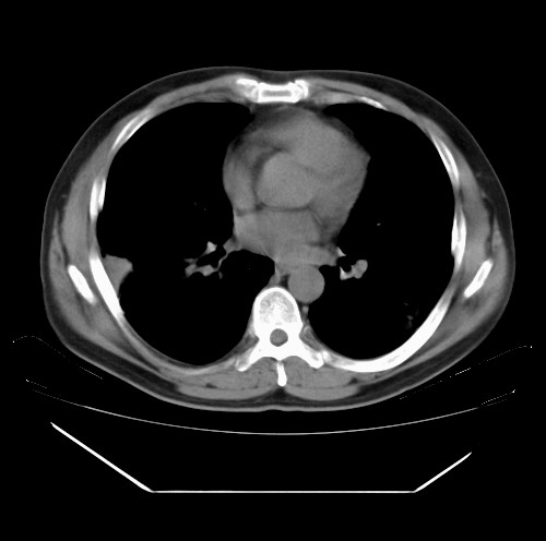
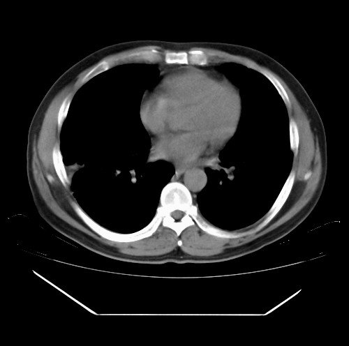
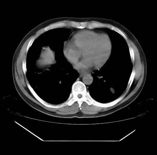
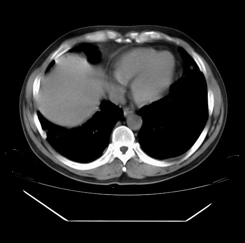
男,44岁,咳嗽,痰中带血2天。






























[本贴已被 xxhwh 于 2009-9-8 22:17:26 修改过]
[本贴已被 jiajie 于 2009-9-9 10:35:49 修改过]
作者: 子期 时间: 2009-9-9 06:32
倾 向于结核。
作者: dyqct 时间: 2009-9-9 06:52
肉芽肿、结核、转移、金黄色葡萄球菌感染均有可能,请查血象及肿瘤标记物。
作者: 江广1996 时间: 2009-9-9 07:14
病灶大部分位于胸膜下,结节大小相差不是很大,肺尖太干净。这种结核没见过,我认为可排除。
金黄色葡萄球菌感染有高热。临床是典型的。
首先考虑转移,不除外肉芽肿、真菌感染。建议查其它。
作者: 513ytb 时间: 2009-9-9 07:14
转移.
作者: 胡宇 时间: 2009-9-9 07:16
肉芽肿、结核、转移、金黄色葡萄球菌感染均有可能,请查血象及肿瘤标记物。
作者: 心路寻觅 时间: 2009-9-9 07:17
病灶大部位于胸膜下,考虑转移可能性大!!!!
作者: 守望可可 时间: 2009-9-9 07:48
标题: 回复:双肺多发结节
以下是引用江广1996在2009-9-8 23:14:00的发言:[br]病灶大部分位于胸膜下,结节大小相差不是很大,肺尖太干净。这种结核没见过,我认为可排除。[br]金黄色葡萄球菌感染有高热。临床是典型的。[br]首先考虑转移,不除外肉芽肿、真菌感染。建议查其它。
言之有理,甚为支持!
作者: jiahui7z 时间: 2009-9-9 08:04
学习以上。本人考虑转移瘤可能性大。
作者: 卜一 时间: 2009-9-9 14:53
以下是引用江广1996在2009-9-8 23:14:00的发言:
病灶大部分位于胸膜下,结节大小相差不是很大,肺尖太干净。这种结核没见过,我认为可排除。
金黄色葡萄球菌感染有高热。临床是典型的。
首先考虑转移,不除外肉芽肿、真菌感染。建议查其它。
言之有理,甚为支持!!!
作者: 宇宙CT 时间: 2009-9-9 16:54
病灶大部分位于胸膜下,结节大小相差不是很大,肺尖太干净。这种结核没见过,我认为可排除。
金黄色葡萄球菌感染有高热。临床是典型的。
首先考虑转移,不除外肉芽肿、真菌感染。建议查其它。
言之有理,甚为支持!
作者: 深泽交通 时间: 2009-9-9 16:55
标题: 回复:双肺多发结节
以下是引用dyqct在2009-9-8 22:52:00的发言:[br]肉芽肿、结核、转移、金黄色葡萄球菌感染均有可能,请查血象及肿瘤标记物。
作者: gjxinzhou 时间: 2009-9-9 17:16
标题: 回复:双肺多发结节
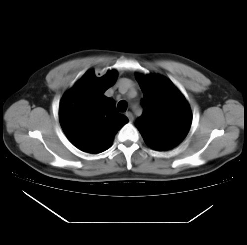
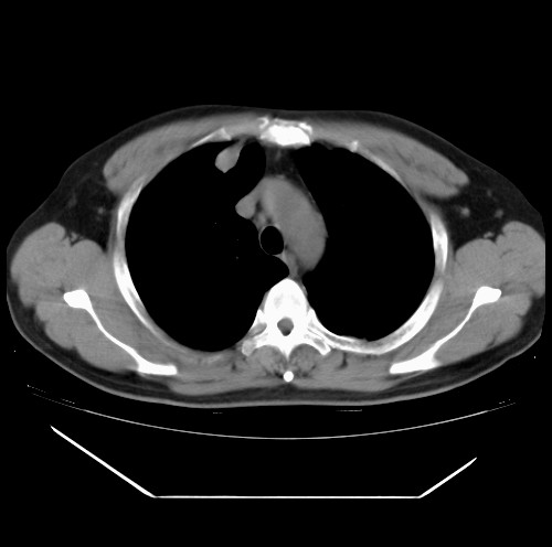
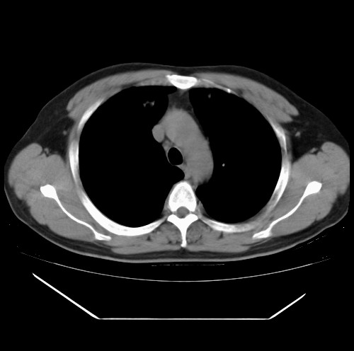
除肺内及胸膜下可见多发大结节外,在肺小叶中心核、小叶间隔及支气管血管束上亦可见多方小结节,可以认为是随机分布。考虑转移可能性大。
作者: zxl51642 时间: 2009-9-9 17:26
首先考虑转移,建议进一步检查寻找原发灶,排除其他。
作者: 泪洒红尘 时间: 2009-9-9 17:39
标题: 回复:双肺多发结节
以下是引用江广1996在2009-9-8 23:14:00的发言:[br]病灶大部分位于胸膜下,结节大小相差不是很大,肺尖太干净。这种结核没见过,我认为可排除。[br]金黄色葡萄球菌感染有高热。临床是典型的。[br]首先考虑转移,不除外肉芽肿、真菌感染。建议查其它。
支持
作者: cmcedu 时间: 2009-9-9 17:40
仔细观察病灶形态,病灶边界部分清楚,结合临床症状,首先考虑转移,纵隔内多个肿大淋巴结影。
作者: zhangling 时间: 2009-9-9 18:08
双肺血管纹理末端多发类圆形结节,边界光滑清晰 气管前腔静脉后淋巴结肿大
考虑转移瘤
作者: 高学强 时间: 2009-9-9 19:07
肉芽肿、结核、转移、金黄色葡萄球菌感染均有可能,请查血象及肿瘤标记物。
作者: doc张 时间: 2009-9-9 19:16
沿血管分布,位于血管末端。转移瘤多见,血行性菌栓也可见到。
作者: 影像孺子牛 时间: 2009-9-9 19:26
标题: 回复:ct22085:双肺多发结节
以下是引用dyqct在2009-9-8 22:52:00的发言:[br]肉芽肿、结核、转移、金黄色葡萄球菌感染均有可能,请查血象及肿瘤标记物。
作者: shibing 时间: 2009-9-9 19:31
首先考虑转移,不除外肉芽肿
作者: 万元户 时间: 2009-9-9 19:35
抗炎治疗后复查,我们遇到过一例,诊断为转移。可抗炎一段时间复查,病灶没有了
作者: 随光逐影 时间: 2009-9-9 19:45
考虑两肺多发性转移瘤。
作者: liaizhi 时间: 2009-9-9 19:49
考虑转移性病灶可能性大,胸膜局限性增厚血源性感染不除,结合病检。
作者: 37度 时间: 2009-9-9 19:55
肉芽肿、结核、转移、金黄色葡萄球菌感染、真菌感染均有可能,请查血象及肿瘤标记物。 抗炎治疗后复查,我们遇到过一例,诊断为转移。可抗炎一段时间复查,病灶没有了。
作者: eyuan9941 时间: 2009-9-9 20:21
标题: 回复:ct22085:双肺多发结节
以下是引用江广1996在2009-9-8 23:14:00的发言:[br]病灶大部分位于胸膜下,结节大小相差不是很大,肺尖太干净。这种结核没见过,我认为可排除。[br]金黄色葡萄球菌感染有高热。临床是典型的。[br]首先考虑转移,不除外肉芽肿、真菌感染。建议查其它。
作者: zjzjr 时间: 2009-9-9 20:42
考虑转移瘤,不除外金黄色葡萄球菌肺炎.
作者: 湘江一滴 时间: 2009-9-9 20:58
考虑肉芽肿、结核、转移瘤、真菌感染、请完善相关检查
作者: 影象小泰斗 时间: 2009-9-9 22:27
肉芽肿、结核、转移、金黄色葡萄球菌感染均有可能,请查血象及肿瘤标记物!
作者: zb5205 时间: 2009-9-9 22:55
细菌性肺炎是肺泡炎,肺泡内的渗出物有纤维素性、脓性及浆液─化脓性等,病变范围有大叶也有小叶。、x线检查不能鉴别肺泡内渗出物的性质,但可根据病变的范围,是否形成脓腔及阴影形态等提供鉴别不同菌种引起肺炎的一些影像资料,仅从x线影像准确鉴别病原菌的性质是很困难的。根据文献资料,我们归纳了几种肺炎的病理表现和x线征象,我们可以从菌种、病灶范围、渗出物性质和x线影像作出分析,供大家参考:
1) 肺炎球菌:为大叶性,可有灶性,分期明确;肺泡渗出物主要为纤维素性;大片状均匀阴影。
2) 葡萄球菌:主要为灶性,可有大叶,肺泡内渗出物为脓性;小斑片状不均匀阴影,易形成脓腔。
3) 链球菌:主要为灶性,大叶少见;肺泡内渗出物为浆液---脓性;小斑片不均匀阴影。
4) 流感杆菌:主要为灶性,大叶少见,肺泡内渗出物为浆液---血性;多为斑片状阴影,也有肺段及大叶阴影。
5) 绿脓杆菌:主要为灶性,可有大叶;肺泡内渗出物为脓性;小斑片状不均匀阴影,也有大叶阴影。
在临床上对于大叶性肺炎、小叶性肺炎、非典型肺炎的一般x线表现比较熟悉,诊断比较容易。典型的金黄色葡萄球菌肺炎及腺病毒肺炎的x线表现文献上也谈论得较多 。但有些肺炎的x线影像表现比较特殊,如果不认识容易误诊。我们列举以下几种:
1) 肺水肿样表现:在x线上以两肺门为中心的蝶巽状分布,或两下野对称,密度不均匀,范围广泛,边缘模糊。
2) 包裹性胸膜炎样表现:靠某一胸壁,呈底向胸壁侧,边缘突面向肺野的大片阴影。若不仔细观察,容易误诊为胸膜炎,与胸膜炎不同之点为边缘略模糊。
3) 单发或多发大团块病灶:有的病灶边缘相当清楚,容易误诊为肿瘤,心包囊肿等。经过2至3周后即可吸收。关于急性肺炎表现为团块状的原因,有人认为可能与这孔氏孔蔓延有关。
4) 一侧肺多叶实变:在x线上呈大片状阴影,与肺不张不易区别。病变进展快,可以发展成肺硬变。
5) 粟粒样表现:两 肺有多数粟粒状阴影,容易误为结核等,抗炎症治疗后数天内即可吸收。
本例双肺多发类圆形高密度灶,边清,结合病史多考虑双肺多发转移改变,可以结合实验室检查。
作者: scdlc2008 时间: 2009-9-10 00:43
考虑双肺多发转移改变,可以结合实验室检查。
作者: 民和医院 时间: 2009-9-10 01:35
支持 转移瘤
作者: mlfx123321 时间: 2009-9-10 01:49
支持 转移瘤
作者: wzr 时间: 2009-9-10 03:39
首先考虑肉芽肿
作者: 黑白光影 时间: 2009-9-10 17:46
首先考虑转移
作者: jinguoji 时间: 2009-9-11 22:26
考虑转移瘤可能性大。
| 欢迎光临 医影在线 (http://bbs.radida.com/bbs/) |
Powered by Discuz! X3.2 |