医影在线

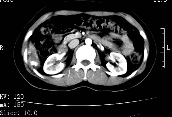
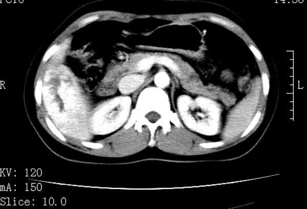
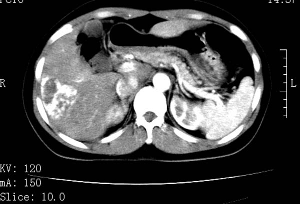
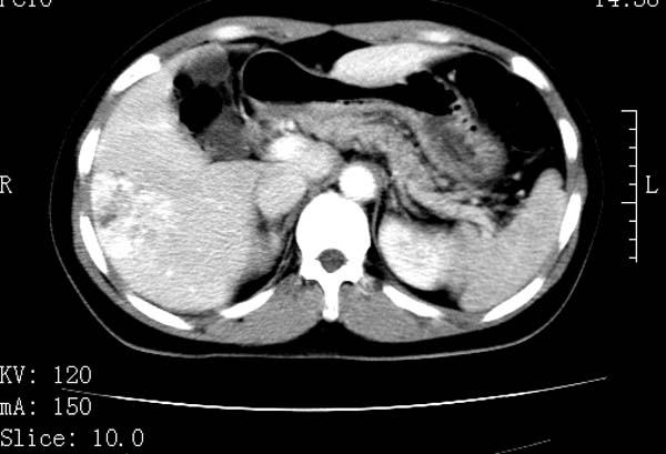
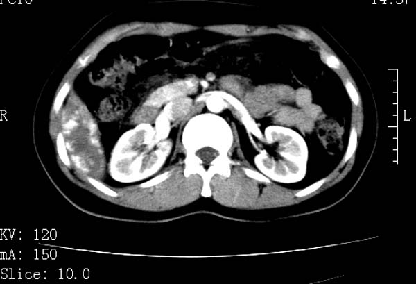
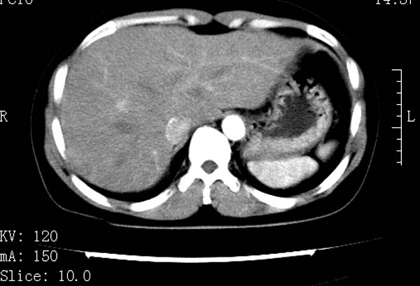
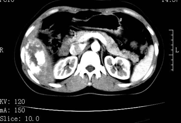
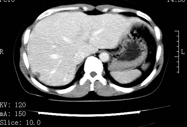
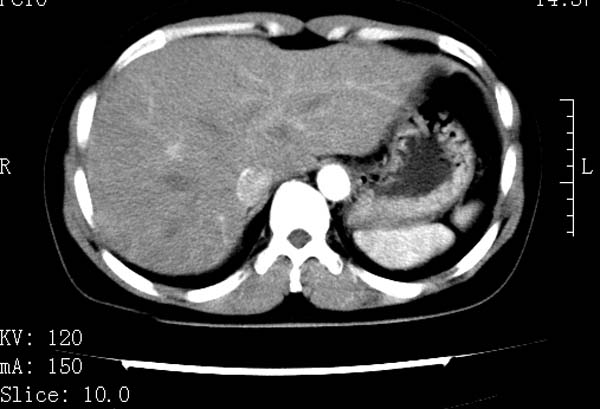
标题: CT22086:女44岁 肝右叶占位增强示巨大血管瘤,门脉期发现小 [打印本页]

作者: zhangling    时间: 2009-9-9 17:32
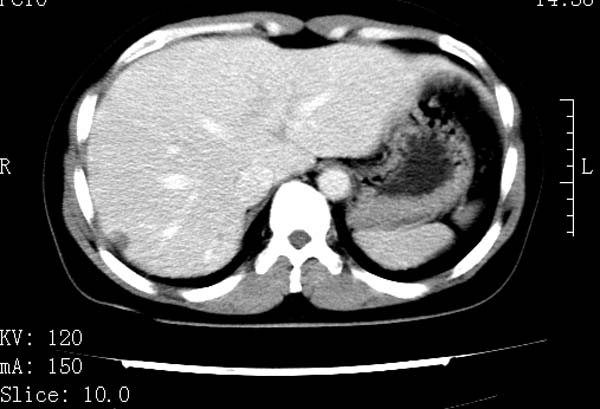
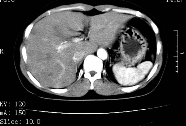
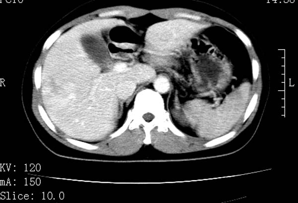
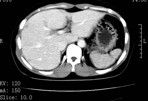
标题: CT22086:女44岁 肝右叶占位增强示巨大血管瘤,门脉期发现小













































[本贴已被 jiajie 于 2009-9-9 10:39:58 修改过]

作者: 深泽交通    时间: 2009-9-9 17:42
支持楼主
作者: 泪洒红尘    时间: 2009-9-9 18:10
支持肝右叶血管瘤诊断。
作者: zxl51642    时间: 2009-9-9 18:24
肝右叶海绵状血管瘤
作者: zhangling    时间: 2009-9-9 18:25
标题: 回复:女44岁 肝右叶占位增强示巨大血管瘤,门脉期发现小
请大家观察一下小灶   发表意见,谢谢  



作者: zxl51642    时间: 2009-9-9 18:58
小病灶也是血管瘤。
作者: muzi888    时间: 2009-9-9 19:08
支持肝右叶血管瘤诊断。小灶是否为囊肿,
作者: 高学强    时间: 2009-9-9 19:22
支持
作者: 影像孺子牛    时间: 2009-9-9 19:23
小病灶也是血管瘤。
作者: 万元户    时间: 2009-9-9 19:25
血管瘤
作者: 初学者LANMEI    时间: 2009-9-9 19:26
支持肝右叶血管瘤诊断。小灶是否为囊肿,
作者: liaizhi    时间: 2009-9-9 19:43
考虑血管瘤。
作者: shibing    时间: 2009-9-9 19:43
肝右叶海绵状血管瘤,小灶也是血管瘤。
作者: 随光逐影    时间: 2009-9-9 19:48
多发性血管瘤可能。
作者: 37度    时间: 2009-9-9 19:52
肝右叶海绵状血管瘤,小灶也是血管瘤。
作者: zjzjr    时间: 2009-9-9 20:46
血管瘤
作者: 梦红楼    时间: 2009-9-9 21:59
肝右叶海绵状血管瘤
作者: 卜一    时间: 2009-9-9 22:04
支持肝右叶血管瘤诊断。
作者: zb5205    时间: 2009-9-9 23:38
支持肝右叶血管瘤诊断。 小病灶亦考虑血管瘤改变。温习一下:
    肝海绵状血管瘤ct平扫常呈均匀低密度,与邻近血管密度相仿。在脂肪肝背景下可呈相对高密度。在增强扫描时,一般早期(动脉期)呈周边结节状或弧形强化,其密度与同层面的血管密度相仿,随着时间延迟向中央渐进性充填,注药后5~7分钟,逐渐扩大至全瘤强化,强化密度逐渐降至稍高于或等于正常肝脏。大的血管瘤往往中央有星形、大的低密度区,可以为纤维化或囊性变所致,纤维化成分可在延迟2 o分钟时完全充填,呈等密度,但囊变区则不会强化。不典型ct表现常见于≤3 cm的小血管瘤。小的血管瘤可以在动脉期即呈全部致密的均匀强化,不呈典型的周边结节状强化表现,但其密度往往较高,与主动脉相仿,在延迟期呈高或等密度。其他不典型的ct表现有:增强扫描强化不明显,呈点状较轻程度的强化,充填慢,可能与供血动脉较细和较大的血管间隙有关以及中央先强化等。
作者: scdlc2008    时间: 2009-9-10 00:48
血管瘤
作者: 边生丽    时间: 2009-9-10 01:28
小病灶也是血管瘤。
作者: mlfx123321    时间: 2009-9-10 01:40
肝脏多发血管瘤
作者: 张佳    时间: 2009-9-10 02:19
多考虑fnh
作者: wzr    时间: 2009-9-10 03:37
小病灶也是血管瘤。
作者: 湘江一滴    时间: 2009-9-10 03:50
延迟扫描三个病灶都呈等密度改变。肝多发血管瘤,较典型。
作者: yuhongjun    时间: 2009-9-10 14:03
肝右叶海绵状血管瘤,小灶也是血管瘤。
作者: 黑白光影    时间: 2009-9-10 17:48
多发性血管瘤
作者: jinguoji    时间: 2009-9-11 22:30
支持肝右叶血管瘤。




欢迎光临 医影在线 (http://bbs.radida.com/bbs/) Powered by Discuz! X3.2