以上是2009-05-25的照片。


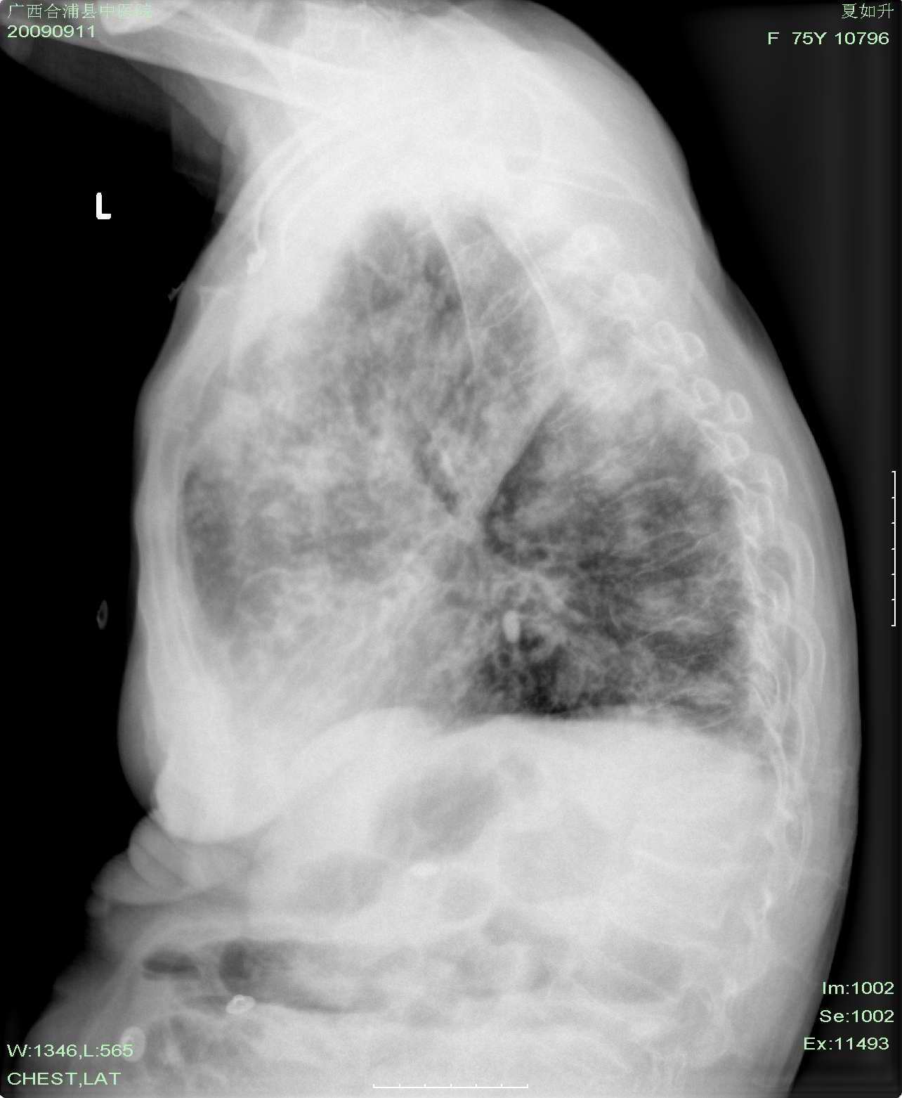
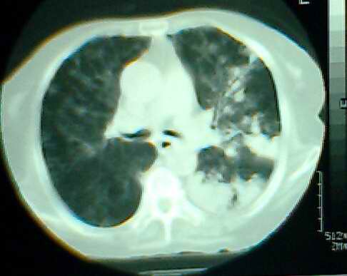
以下是引用hhx58在2009-9-11 19:48:00的发言:[br]有4个是心电监护的电极。[br]ct图片可见有肺气囊。但未拿到片上传。














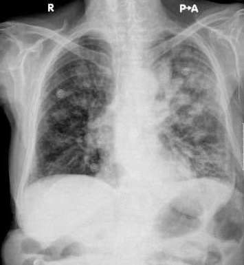
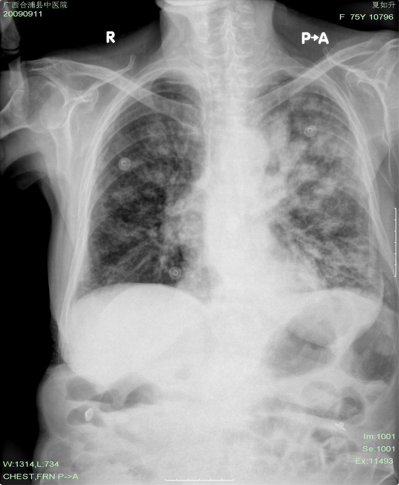
以下是引用37度在2009-9-12 11:54:00的发言:[br][br] [br] 支气管扩张合并混合型感染 [br] [br]
以下是引用dyqct在2009-9-12 8:42:00的发言:[br]慢性支气管炎合并间质纤维化、肺气肿、支气管扩张、感染。建议ct进一步检查。
以下是引用黑白光影在2009-9-12 16:43:00的发言:[br]慢支并感染(霉菌?)
| 欢迎光临 医影在线 (http://bbs.radida.com/bbs/) | Powered by Discuz! X3.2 |