医影在线

标题: X6304:胸片 [打印本页]

作者: 学无崖    时间: 2009-9-14 20:52
标题: X6304:胸片
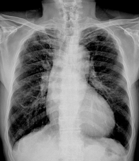
慢支病史20多年,咳痰,偶有带血,时常呼吸困难。



[本贴已被 cefcmj 于 2009-9-14 14:00:00 修改过]

作者: 黑白光影    时间: 2009-9-14 21:01
还是只能考虑慢性支气管炎性病变。
作者: 火焰3    时间: 2009-9-14 21:19
考虑慢支,肺气肿。
作者: 医盲    时间: 2009-9-14 22:47
考虑慢支并肺气肿。
作者: zxl51642    时间: 2009-9-14 22:51
慢支,肺气肿,间质纤维化。右室段延长,心尖部圆顿上翘,提示右室增大,建议彩超。
作者: nakatashi    时间: 2009-9-14 23:11
1、慢支肺气肿。
2、主动脉型心脏。
作者: zjgdzq    时间: 2009-9-14 23:22
慢支肺气肿,这么长的病史,可能有支扩
作者: ft445741743    时间: 2009-9-14 23:50
间质纤维化?
作者: dyqct    时间: 2009-9-14 23:53
考虑慢支,肺气肿、间质纤维化,主动脉迂曲。
作者: 随光逐影    时间: 2009-9-15 01:07
1)考虑慢性支气管炎并肺气肿。2)心影呈“主动脉型”。
作者: zhanggenliang    时间: 2009-9-15 03:23
慢支,肺气肿,心脏呈主动脉型
作者: 拾荒者    时间: 2009-9-15 04:42
考虑慢支,肺气肿、间质纤维化;咯血可能是支扩所致。
作者: cefcmj    时间: 2009-9-15 04:45
符合慢性支气管炎并肺气肿。
作者: qsbaomingcheng    时间: 2009-9-15 05:22
考虑慢支,肺气肿、间质纤维化;咯血可能是支扩所致。
作者: 泪洒红尘    时间: 2009-9-15 05:29
考虑慢支,肺气肿。
作者: hexue    时间: 2009-9-15 05:29
慢性支气管炎并肺气肿。
作者: 未见异常    时间: 2009-9-15 06:15
慢支肺气肿 肺心病?
作者: yuhongjun    时间: 2009-9-15 14:23
符合慢性支气管炎并肺气肿。
作者: zjzjr    时间: 2009-9-15 17:49
1)考虑慢性支气管炎并肺气肿。2)心影呈“主动脉型”。
作者: jinguoji    时间: 2009-9-15 18:07
慢性支气管炎,肺气肿。
作者: 九月120    时间: 2009-9-15 19:30
慢支炎、肺气肿、双肺间质纤维化,主动脉型心影。
作者: yang356    时间: 2009-9-15 19:49
慢支,肺气肿,右上肺纤维条索影,不排除结核病灶.还是ct检查.
作者: dr.yang    时间: 2009-9-15 20:09
标题: 回复:x6304:胸片
以下是引用dyqct在2009-9-14 15:53:00的发言:[br]考虑慢支,肺气肿、间质纤维化,主动脉迂曲。

作者: 帅河马    时间: 2009-9-15 22:25
慢支,肺气肿,右上肺纤维条索影,不排除结核病灶.还是ct检查.
心脏改变,建议彩超。
作者: 吴医师    时间: 2009-9-16 00:05
考虑慢支,肺气肿、间质纤维化
作者: 谨言慎行    时间: 2009-9-16 01:17
慢性支气管炎、肺气肿。
作者: jiahui7z    时间: 2009-9-16 03:23
慢性支气管炎、肺气肿
作者: wwwwyf    时间: 2009-9-16 04:11
可能有支扩
作者: 影象小泰斗    时间: 2009-9-16 08:01
考虑慢支并肺气肿
作者: 刘备    时间: 2009-9-16 08:14
学习了~~
作者: 寻芳者    时间: 2009-9-16 08:44
建议做个hrct啊--------------------
作者: 592438394    时间: 2009-9-16 19:20
考虑慢支,肺气肿。
作者: 施明    时间: 2009-9-16 20:21
间质有问题
作者: 康鹏    时间: 2009-9-16 21:04
1.慢性支气管炎、肺气肿合并肺内感染
建议ct扫描。除外其他。
2.心影呈“主动脉型”。
作者: zhangweidong    时间: 2009-9-16 23:09
考虑:慢支肺气肿。
作者: sunbin    时间: 2009-9-17 00:07
慢支肺气肿,间质性纤维化,主动脉型心脏。
作者: shibing    时间: 2014-8-22 10:57
1)考虑慢性支气管炎并肺气肿。2)心影呈“主动脉型”。




欢迎光临 医影在线 (http://bbs.radida.com/bbs/) Powered by Discuz! X3.2