医影在线

标题: CT22221:请各位老师看看 [打印本页]

作者: shuhangyong    时间: 2009-9-17 23:55
标题: CT22221:请各位老师看看






[本贴已被 翁志蓬 于 2009-9-17 22:35:10 修改过]

作者: shuhangyong    时间: 2009-9-17 23:56
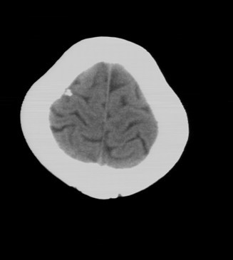
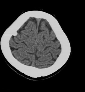
后枕部疼痛来检查的,无任何相关病史
作者: tian1238    时间: 2009-9-18 00:17
骨瘤吧?
作者: 随光逐影    时间: 2009-9-18 00:18
考虑脑膜钙化或小脑膜瘤钙化。
作者: shibing    时间: 2009-9-18 00:37
钙化
作者: 同    时间: 2009-9-18 00:41
考虑骨瘤或小脑膜瘤钙化。
作者: 卜一    时间: 2009-9-18 00:42
考虑骨瘤或小脑膜瘤钙化。
作者: 深泽交通    时间: 2009-9-18 01:07
脑沟内钙化灶,考虑陈旧性脑膜感染
作者: scdlc2008    时间: 2009-9-18 01:23
钙化
作者: sunbin    时间: 2009-9-18 01:40
考虑脑膜钙化或小脑膜瘤钙化。
作者: bmw011    时间: 2009-9-18 03:32
钙化灶。
作者: 黑白光影    时间: 2009-9-18 05:28
考虑脑膜钙化或小脑膜瘤钙化。
作者: sxz2001    时间: 2009-9-18 05:37
钙化灶
作者: 高学强    时间: 2009-9-18 07:16
考虑脑膜钙化
作者: yuhongjun    时间: 2009-9-18 14:27
考虑脑膜钙化或小脑膜瘤钙化。
作者: jinguoji    时间: 2009-9-18 17:01
考虑脑膜钙化或小脑膜瘤钙化。
作者: zjzjr    时间: 2009-9-18 17:22
小脑膜瘤钙化
作者: 501337013    时间: 2009-9-30 06:24
良性钙斑
作者: 初学者LANMEI    时间: 2009-9-30 21:16
考虑脑膜钙化或小脑膜瘤钙化




欢迎光临 医影在线 (http://bbs.radida.com/bbs/) Powered by Discuz! X3.2