医影在线

标题: CT22224:肺部肿块 [打印本页]

作者: zhangyang66    时间: 2009-9-18 01:03
标题: CT22224:肺部肿块
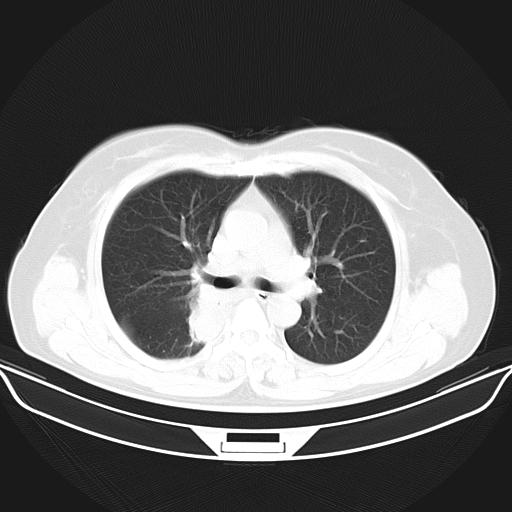
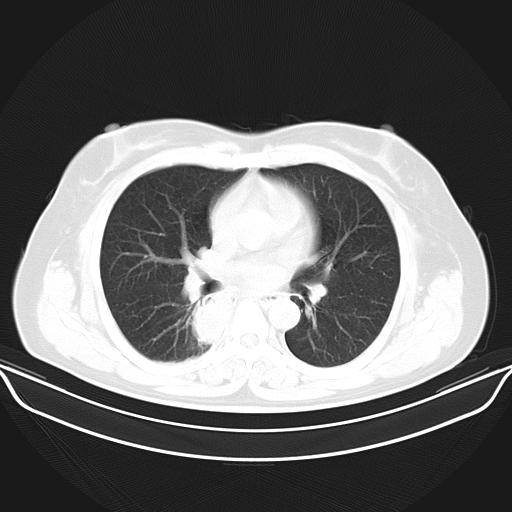
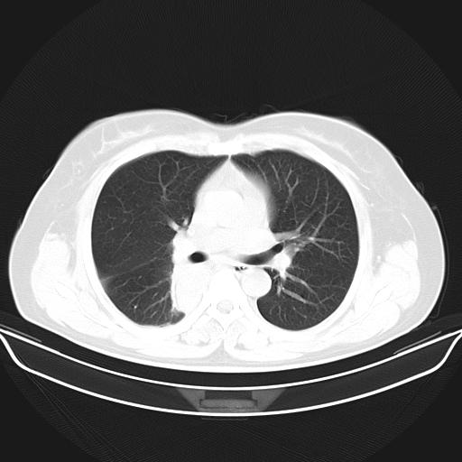
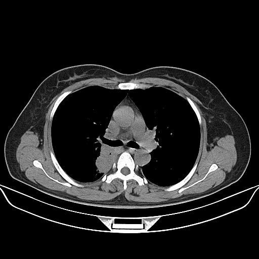
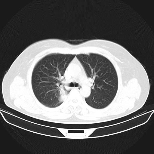
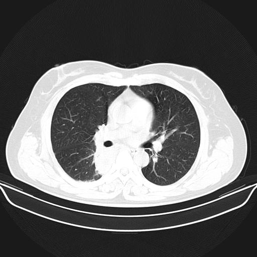
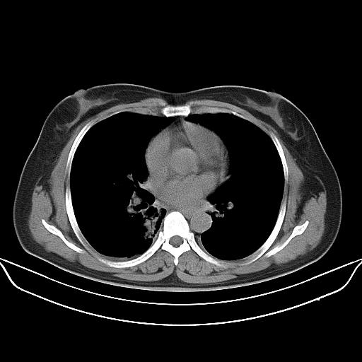
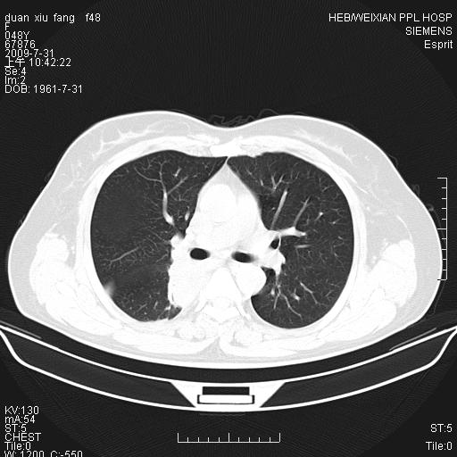
f,48,主因咳嗽咳血来我院检查,无发热。



















[本贴已被 翁志蓬 于 2009-9-17 22:40:17 修改过]

作者: 深泽交通    时间: 2009-9-18 01:10
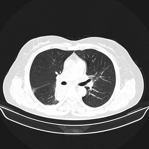
右肺癌肿
作者: 忧颜    时间: 2009-9-18 01:15
病灶边缘尚清,主体位于后下总膈,不除外神经源性肿瘤,建议行mri检查。
作者: 水蓝色的    时间: 2009-9-18 03:11
右肺癌可能
作者: bmw011    时间: 2009-9-18 03:15
右肺癌可能
作者: eyuan9941    时间: 2009-9-18 04:51
右肺癌可能
作者: sxz2001    时间: 2009-9-18 05:24
建议增强扫描或者抗炎治疗后复查
作者: 高学强    时间: 2009-9-18 06:55
右肺癌可能
作者: yuhongjun    时间: 2009-9-18 14:32
右肺癌可能
作者: 张辉9999    时间: 2009-9-18 14:49
右肺癌可能  ,不除外神经源性肿瘤。
作者: 随光逐影    时间: 2009-9-18 15:19
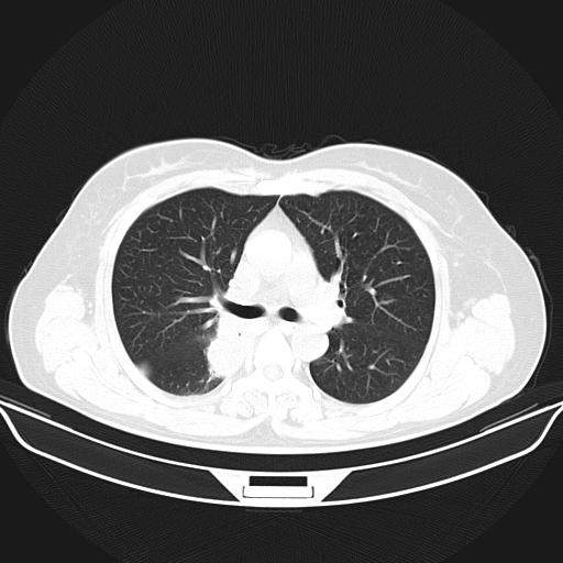
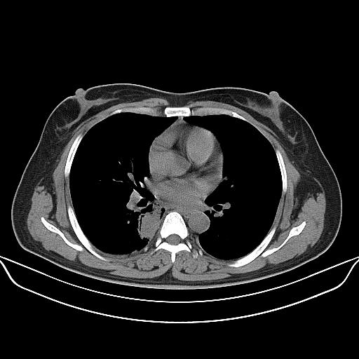
1)右肺下叶背段团块状软组织密度影;建议抗炎治疗后复查排除肿瘤性病变。2)右侧少量胸腔积液。
作者: jinguoji    时间: 2009-9-18 17:06
右肺癌可能,建议增强扫描或者抗炎治疗后复查。
作者: zjzjr    时间: 2009-9-18 17:18
胸膜下脂肪影存在,考虑炎性假瘤,建议治疗后复查.
作者: 黑白光影    时间: 2009-9-19 04:21
右肺癌可能,建议增强扫描或者抗炎治疗后复查。
作者: haogandian    时间: 2009-9-19 04:32
支持13楼意见
作者: 江广1996    时间: 2009-9-19 07:21
右肺癌可能
作者: pysylhj    时间: 2009-9-19 08:30
右肺癌可能性大
作者: hnsyhjc    时间: 2009-9-20 23:50
谈一谈个人的看法:机器性能应该不错,可惜扫描方法不太正确,即没有及时薄层扫描图像,也没有增强检查,这样的检查方法不正确的图片拿来研究只能是猜一猜:右肺下叶阻塞性改变,建议进一步检查删除肺癌。
作者: zhangyang66    时间: 2009-9-21 04:42
支气管镜检查未见异性细胞,抗炎治疗20天,肿块明显缩小。
作者: 漫步者    时间: 2009-9-21 04:54
抗炎后复查。
作者: dr.yang    时间: 2013-3-26 22:11
支气管镜检查未见异性细胞,抗炎治疗20天,肿块明显缩小。--学习了




欢迎光临 医影在线 (http://bbs.radida.com/bbs/) Powered by Discuz! X3.2