医影在线

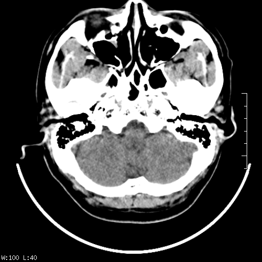
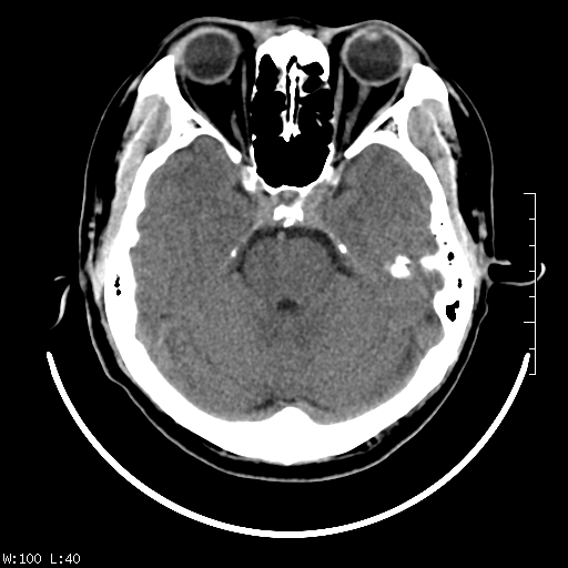
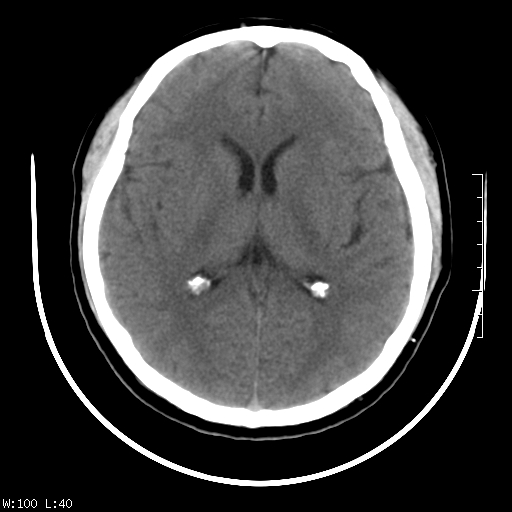
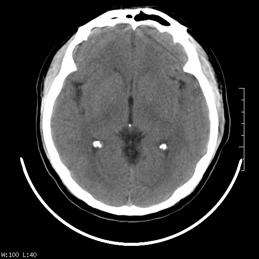
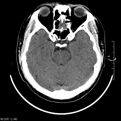
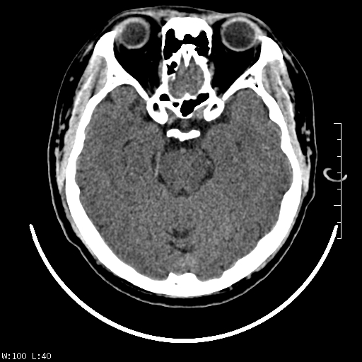
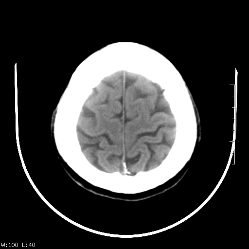
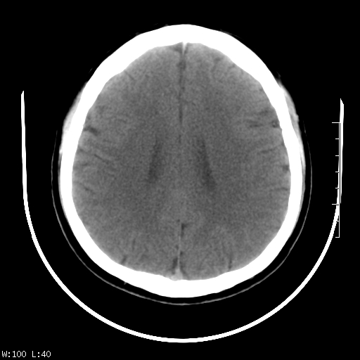
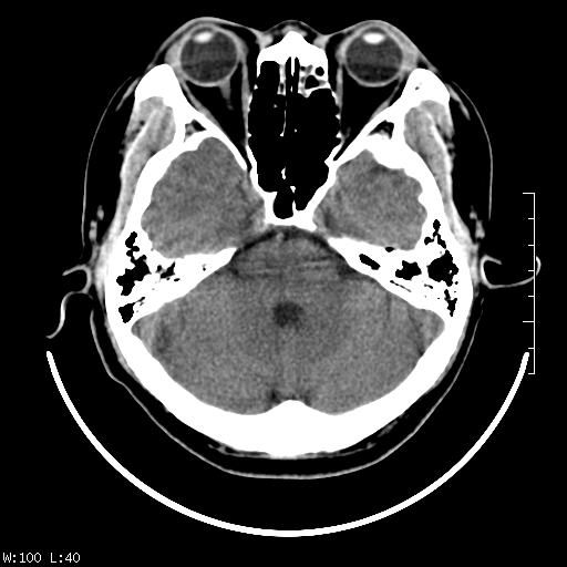
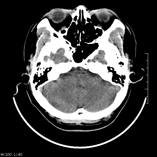
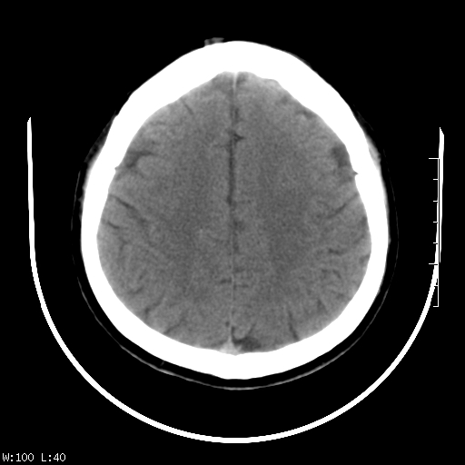
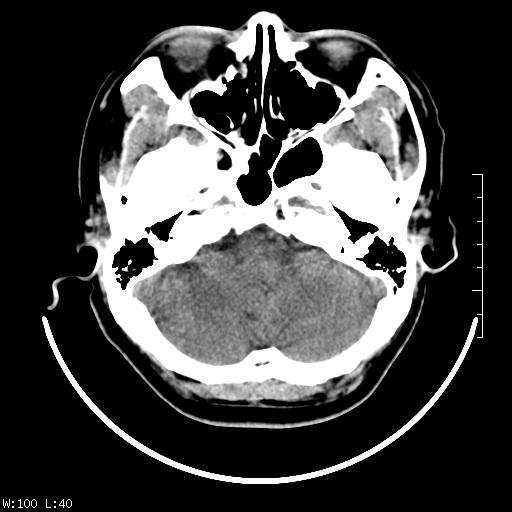
标题: CT22236:男,45,经常头痛。看看脑干正常吗? [打印本页]

作者: 731208    时间: 2009-9-18 14:40
标题: CT22236:男,45,经常头痛。看看脑干正常吗?


















[本贴已被 jiajie 于 2009-9-18 9:20:52 修改过]

作者: 张辉9999    时间: 2009-9-18 14:45
未见明显异常,建议ct增强或mri检查。
作者: 帅河马    时间: 2009-9-18 14:55
同意
作者: woer05ba8    时间: 2009-9-18 15:47
没见异常密度及形态改变啊,我认为是正常的。
作者: 随光逐影    时间: 2009-9-18 15:53
颅脑ct轴位平扫颅内未见明确异常。
作者: 施明    时间: 2009-9-18 16:10
ct没事 mr吧。
作者: 忧颜    时间: 2009-9-18 17:25
正常,还是mri
作者: cefcmj    时间: 2009-9-18 17:36
颅脑ct平扫未见明确异常,必要时mri检查。
作者: zjzjr    时间: 2009-9-18 17:41
颅脑ct平扫未见异常
作者: 边生丽    时间: 2009-9-18 18:27
颅脑ct平扫未见明确异常,必要时mri检查。
作者: 无为胡    时间: 2009-9-18 20:32
正常
作者: zbp537    时间: 2009-9-18 21:07
未见异常。
作者: 黑白光影    时间: 2009-9-19 04:50
未见异常。
作者: zsl6918    时间: 2009-9-19 05:32
谈不上异常
作者: yuhongjun    时间: 2009-9-19 14:14
未见异常。
作者: ljwdlove    时间: 2009-9-20 17:46
没见异常
作者: 漫步者    时间: 2009-9-21 07:40
mr呗
作者: ct诊断高手    时间: 2009-9-21 07:46
颅脑ct平扫未见明确异常,必要时mri检查。




欢迎光临 医影在线 (http://bbs.radida.com/bbs/) Powered by Discuz! X3.2