医影在线

标题: CT22268:双侧甲状腺肿大 [打印本页]

作者: qian    时间: 2009-9-20 18:19
标题: CT22268:双侧甲状腺肿大
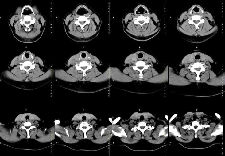
女,54岁,颈部增粗来就诊,体检示双侧甲状腺肿大,进行增强扫描,考虑为结节性甲状腺肿。





[本贴已被 jiajie 于 2009-9-20 18:28:10 修改过]

作者: 江广1996    时间: 2009-9-20 20:53
右侧见多个小的低密度影。图片太小,放大又不清楚。不好说。
作者: yuhongjun    时间: 2009-9-20 22:42
支持楼主。
作者: zjzjr    时间: 2009-9-20 23:33
支持楼主。
作者: 深泽交通    时间: 2009-9-20 23:35
支持楼主
作者: 蓝星    时间: 2009-9-20 23:44
图片太小,
作者: zxl51642    时间: 2009-9-20 23:51
看不太清楚,甲状腺左右叶弥漫性增大,密度不均匀减低,结甲及桥本氏甲状腺炎在ct上均可有此改变,需结合临床及实验室检查。
作者: sunbin    时间: 2009-9-20 23:51
考虑结节性甲状腺肿。
作者: 卜一    时间: 2009-9-21 00:01
支持楼主。
作者: jiangjing    时间: 2009-9-21 01:30
支持楼主。
作者: zbp537    时间: 2009-9-21 03:05
支持结节性甲状腺肿。
作者: 黑白光影    时间: 2009-9-21 04:58
这样上片太省事了,看不清。
作者: 守望可可    时间: 2009-9-21 07:46
标题: 回复:ct22268:双侧甲状腺肿大
以下是引用zxl51642在2009-9-20 15:51:00的发言:[br]看不太清楚,甲状腺左右叶弥漫性增大,密度不均匀减低,结甲及桥本氏甲状腺炎在ct上均可有此改变,需结合临床及实验室检查。

支持!
作者: ct诊断高手    时间: 2009-9-21 07:48
支持楼主。
作者: 随光逐影    时间: 2009-9-21 15:22
考虑双侧甲状腺肿。




欢迎光临 医影在线 (http://bbs.radida.com/bbs/) Powered by Discuz! X3.2