医影在线

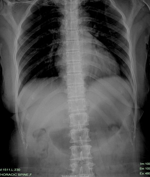
标题: X6328:M45,l阑尾炎术后5天,胸背痛渐进加重。 [打印本页]

作者: 当兵的    时间: 2009-9-21 20:03
标题: X6328:M45,l阑尾炎术后5天,胸背痛渐进加重。




[本贴已被 cefcmj 于 2009-9-21 16:02:39 修改过]

作者: jiahui7z    时间: 2009-9-21 20:18
膈下未见游离气体。
作者: 施明    时间: 2009-9-21 21:49
没事
作者: 当兵的    时间: 2009-9-21 22:35
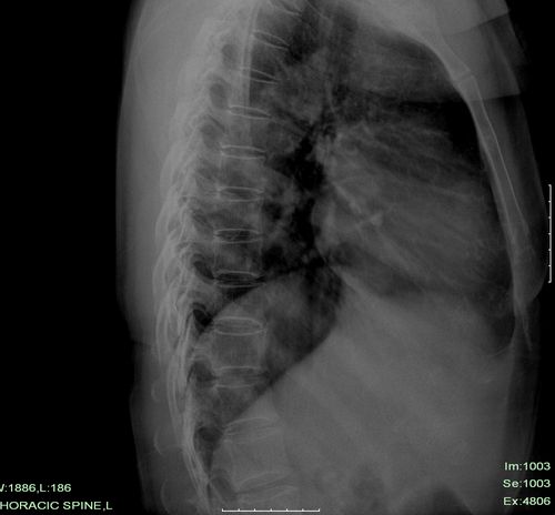
标题: 侧位片

作者: zxl51642    时间: 2009-9-21 22:53
男性还是女性?要是男性乳房影也忒发达了!胸片双肺未见明显异常,侧位片示主动脉管径增宽;kub未包括盆腔,片内未见明显气液平面及膈下游离气体。
作者: rongjiang    时间: 2009-9-21 23:17
胃扩张
作者: dyqct    时间: 2009-9-22 00:25
胃扩张.支持!
作者: 随光逐影    时间: 2009-9-22 01:00
未见明确异常。
作者: yuhongjun    时间: 2009-9-22 01:09
未见明确异常。
作者: shiqingfa    时间: 2009-9-22 02:17
胃扩张.支持
作者: 拾荒者    时间: 2009-9-22 02:57
未见明显异常,建议结合ct或超声检查!
作者: 37度    时间: 2009-9-22 03:31
标题: 回复:x6328:m45,l阑尾炎术后5天,胸背痛渐进加重。
以下是引用拾荒者在2009-9-21 18:57:00的发言:[br]未见明显异常,建议结合ct或超声检查!

作者: 592438394    时间: 2009-9-22 05:15
未见明确异常。
作者: 蒂萨    时间: 2009-9-22 05:30
胃扩张.支持
作者: zy_zj    时间: 2009-9-22 05:33
未见明确异常,胃里积气较多和患者的症状有什么关系吗?
作者: 影像之路    时间: 2009-9-22 06:29
未见明确异常
作者: zhangweidong    时间: 2009-9-22 06:40
未见明显异常。
作者: zhanggenliang    时间: 2009-9-22 06:49
考虑胃扩张。术后胃肠功能较差造成的
作者: 胡宇    时间: 2009-9-22 07:01
胃扩张.支持!
作者: 湘江一滴    时间: 2009-9-22 07:06
标题: 回复:x6328:m45,l阑尾炎术后5天,胸背痛渐进加重。
以下是引用随光逐影在2009-9-21 17:00:00的发言:[br]未见明确异常。

作者: 黑白光影    时间: 2009-9-22 15:15
未见明确异常,建议复查或作进一步检查。
作者: 观影朔征    时间: 2009-9-23 04:15
标题: 回复:x6328:m45,l阑尾炎术后5天,胸背痛渐进加重。
以下是引用黑白光影在2009-9-22 7:15:00的发言:[br]未见明确异常,建议复查或作进一步检查。

作者: hexue    时间: 2009-9-23 06:28
未见明确异常。
作者: jinguoji    时间: 2009-9-23 17:51
未见明确异常。
作者: sunbin    时间: 2009-9-24 01:30
未见明显异常。
作者: gaoyang8    时间: 2009-9-24 01:55
未见明显异常。
作者: 飞翔十里    时间: 2009-9-24 04:24
未见明显异常
作者: shibing    时间: 2014-9-4 09:57
未见明确异常。




欢迎光临 医影在线 (http://bbs.radida.com/bbs/) Powered by Discuz! X3.2