医影在线

标题: CT22284:M70y,有意思的病人。 [打印本页]

作者: lczeng    时间: 2009-9-22 03:23
标题: CT22284:M70y,有意思的病人。
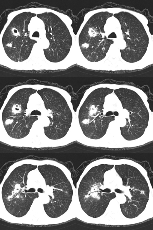
70岁男性,石匠工作史20+年,因胸痛、咳嗽数日就诊。无喀痰或痰血,无发热、盗汗。无明显腹痛。








局部薄层扫描:



[本贴已被 翁志蓬 于 2009-9-21 20:42:51 修改过]

作者: 梦红楼    时间: 2009-9-22 04:24
肺部病变考虑机遇性感染。左膈下囊肿与脾脏关系密切,脾脏囊肿可能。
作者: 蒂萨    时间: 2009-9-22 05:20
考虑肺癌肺内转移,纵隔淋巴肿大,肝左叶外段不规则低密度灶,脾巨大囊质性占位,腹膜后淋巴结肿大。
作者: 沉默是金    时间: 2009-9-22 05:36
不除外韦格氏肉芽肿
作者: 光影相伴    时间: 2009-9-22 05:43
标题: 回复:ct22284:m70y,有意思的病人。
以下是引用蒂萨在2009-9-21 21:20:00的发言:[br]考虑肺癌肺内转移,纵隔淋巴肿大,肝左叶外段不规则低密度灶,脾巨大囊质性占位,腹膜后淋巴结肿大。

作者: zy_zj    时间: 2009-9-22 06:00
支气管肺泡癌伴肺内转移,淋巴结转移可能。感染性病变不能完全除外,结核?建议查痰。
作者: 湘江一滴    时间: 2009-9-22 06:21
双上肺多发结节性空洞边沿有毛刺,考虑韦格氏肉芽肿,不除外肺泡癌。建议进一步检查
作者: zxl51642    时间: 2009-9-22 19:04
1、双肺多发囊性转移瘤可能性大;2、左上腹巨大囊性占位,壁厚且多发钙化,来源肾上腺可能,不排除恶性;3、左肾囊肿。
作者: 随光逐影    时间: 2009-9-22 20:23
1)两肺多发病灶、纵隔及腹膜后淋巴结肿大,不排除淋巴瘤。2)脾脏囊肿可能。3)左肾囊肿。
作者: tian1238    时间: 2009-9-22 22:38
学习
作者: zb5205    时间: 2009-9-22 22:57
学习了,期待结果。
作者: 黑白光影    时间: 2009-9-23 00:48
1)两肺多发病灶、纵隔及腹膜后淋巴结肿大,不排除淋巴瘤。2)脾脏囊肿可能。3)左肾囊肿。
作者: dr.yang    时间: 2013-3-26 22:21
学习了




欢迎光临 医影在线 (http://bbs.radida.com/bbs/) Powered by Discuz! X3.2