医影在线

标题: CT22301:女,67岁,上腹部疼痛一周伴皮肤黄染,无发热。 [打印本页]

作者: wpf    时间: 2009-9-23 00:27
标题: CT22301:女,67岁,上腹部疼痛一周伴皮肤黄染,无发热。
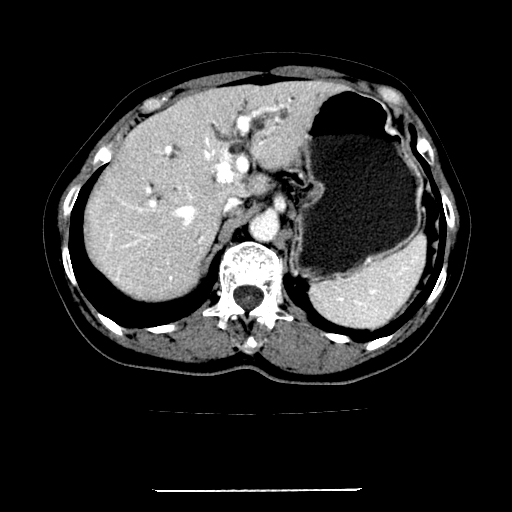
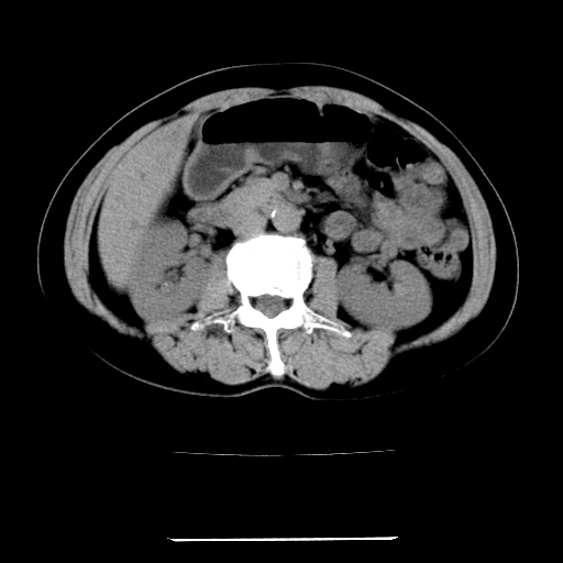
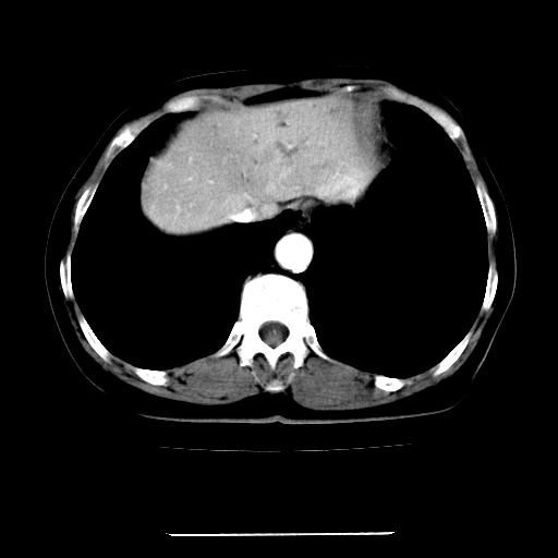
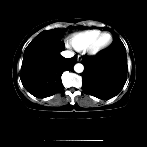
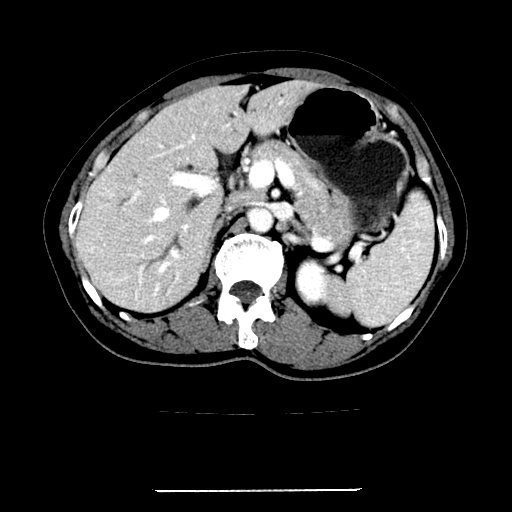
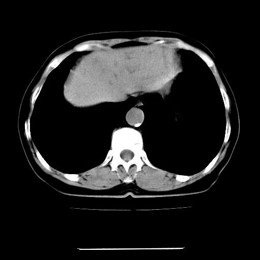
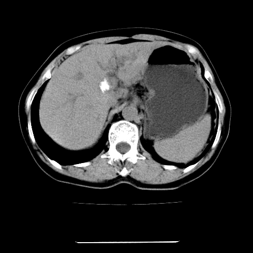
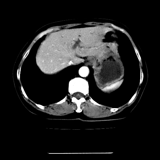
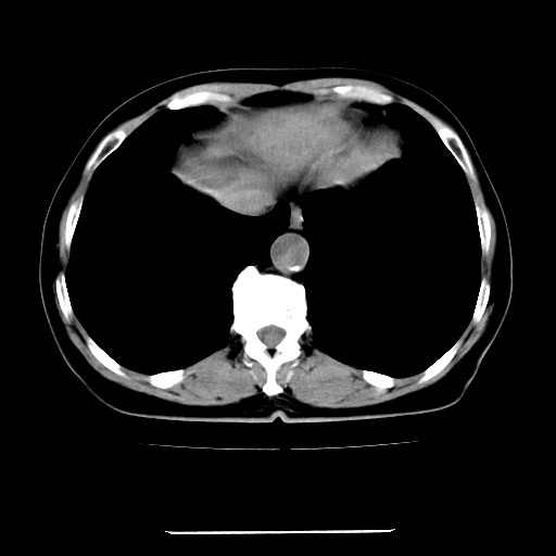
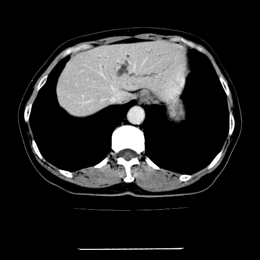
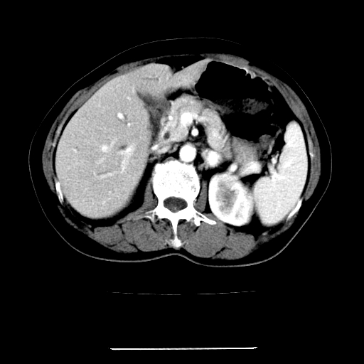
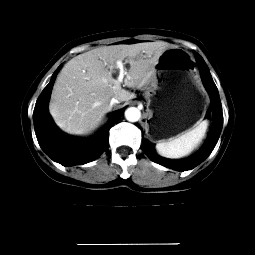
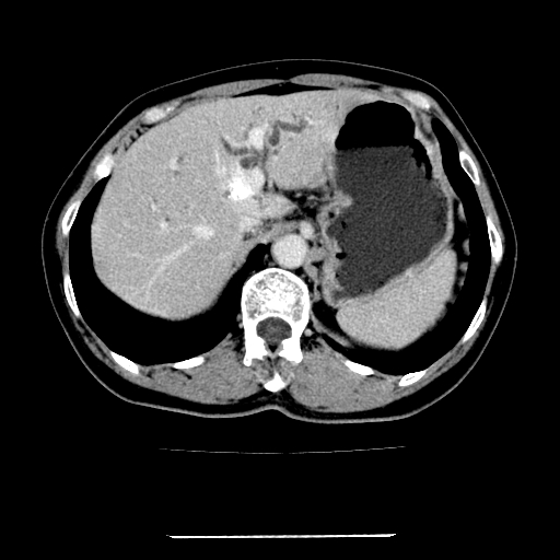
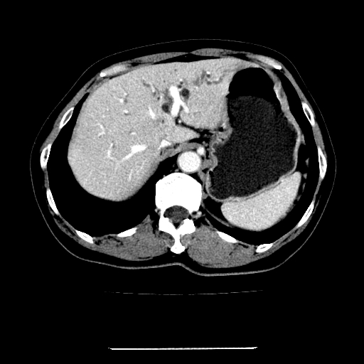
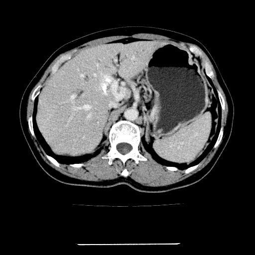
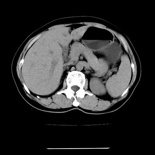
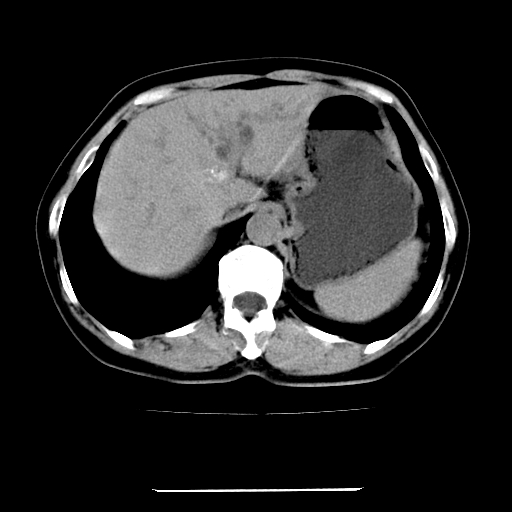
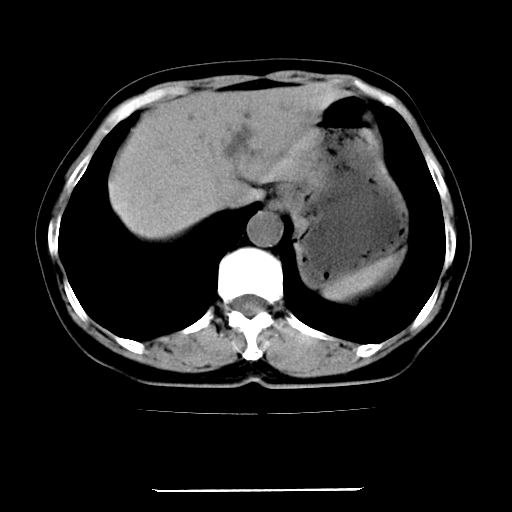
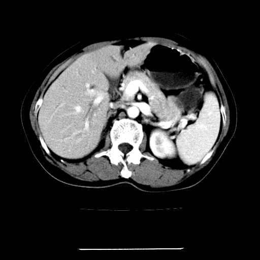
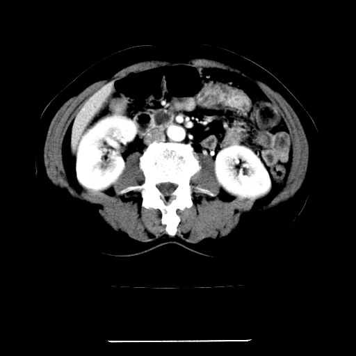
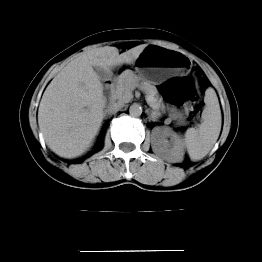
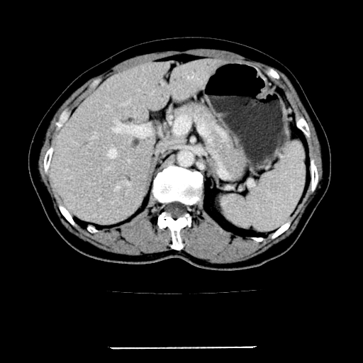
女,67岁,上腹部疼痛一周伴皮肤黄染,无发热。




























































[本贴已被 翁志蓬 于 2009-9-22 23:06:03 修改过]

作者: zxl51642    时间: 2009-9-23 01:19
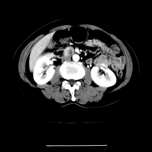
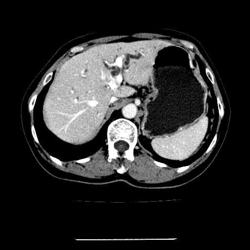
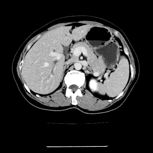
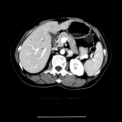
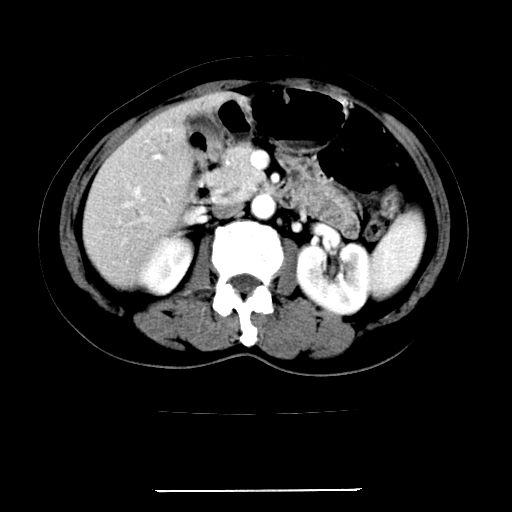
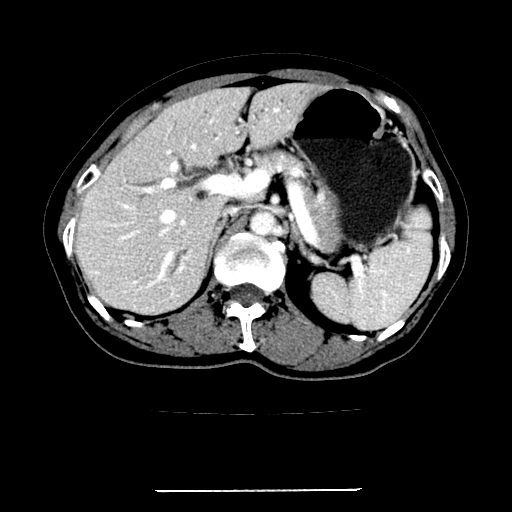
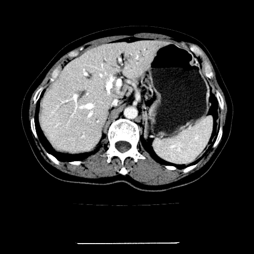
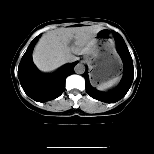
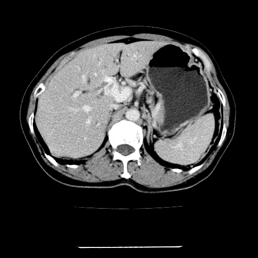
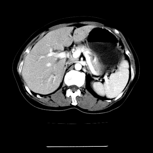
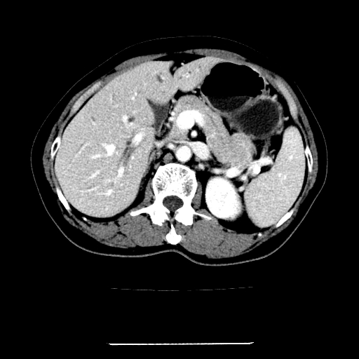
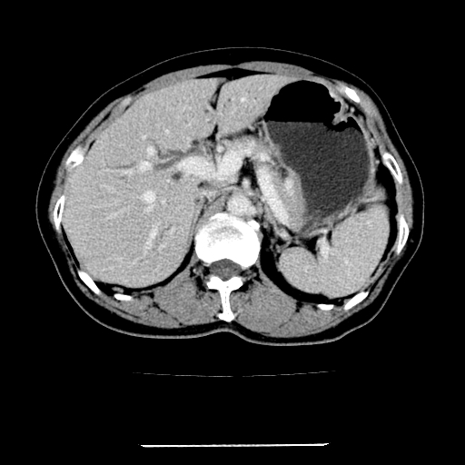
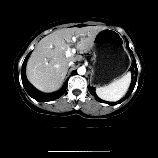
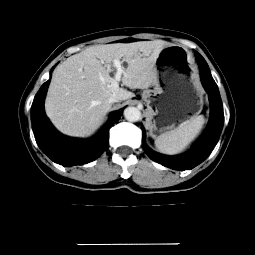
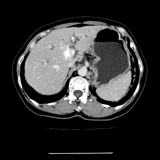
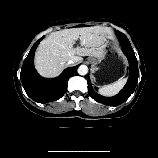
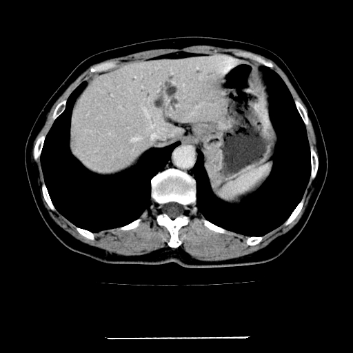
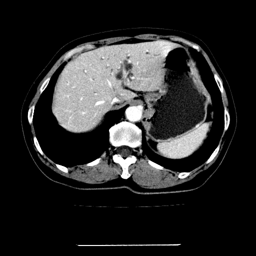
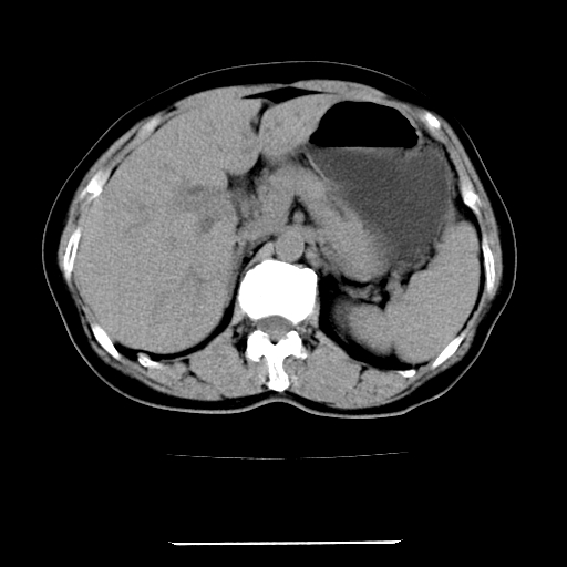
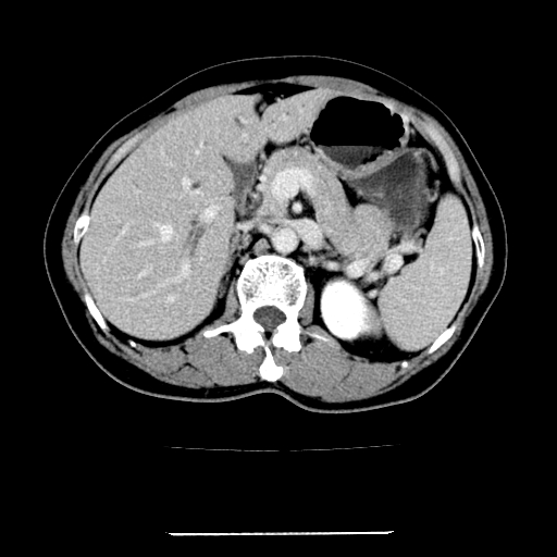
左叶肝内胆管结石,并远端肝内胆管扩张。
作者: 杨,皢素    时间: 2009-9-23 01:23
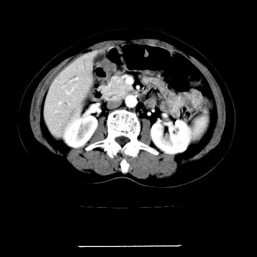
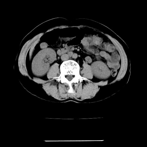
考虑:肝内胆管结石继发肝内胆管扩张,右肾旋转不良。
作者: sunbin    时间: 2009-9-23 01:31
支持肝内胆管结石并肝内胆管扩张。
作者: bmw011    时间: 2009-9-23 02:24
标题: 回复:女,67岁,上腹部疼痛一周伴皮肤黄染,无发热。
以下是引用zxl51642在2009-9-22 17:19:00的发言:[br]左叶肝内胆管结石,并远端肝内胆管扩张。

作者: 随光逐影    时间: 2009-9-23 03:16
肝内外胆管结石并肝内胆管扩张。
作者: 卜一    时间: 2009-9-23 03:18
支持肝内胆管结石并肝内胆管扩张。
作者: songyi    时间: 2009-9-23 04:18
肝内外胆管结石并肝内胆管扩张
作者: zbp537    时间: 2009-9-23 04:22
考虑肝内胆管结石并肝内胆管扩张。
作者: 泪洒红尘    时间: 2009-9-23 04:29
学习中。
作者: 宝天曼    时间: 2009-9-23 06:08
支持肝内胆管结石并肝内胆管扩张
作者: liaizhi    时间: 2009-9-23 06:13
考虑胆管结石并左叶肝内胆管扩张。
作者: mlfx123321    时间: 2009-9-23 06:16
肝内胆管结石继发肝内胆管扩张
作者: zhangling    时间: 2009-9-23 06:31
肝内外胆管扩张,左叶胆管内结石
作者: zsl6918    时间: 2009-9-23 16:03
建议薄层观察,除外肝门部胆管细胞癌
作者: 深泽交通    时间: 2009-9-23 16:50
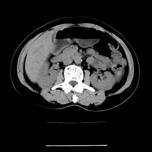
考虑肝胆管癌;胰头占位?【形态失常,体积增大】
作者: LIAOQIANG    时间: 2009-9-23 17:14
1、肝门高密度影下层面和胰头层面可见轻度胆管扩张,而静脉和延迟期均未见扫描完胰头,不能完全排除胰头占位。2、肝门部高密度影,考虑钙化或结石。
作者: qiuleiyu    时间: 2009-9-23 17:16
考虑肝门胆管癌伴门脉左支受侵包埋,建议mrcp进一步检查。
作者: 边生丽    时间: 2009-9-23 17:29
支持肝内胆管结石并肝内胆管扩张。
作者: hzmdoc    时间: 2009-9-23 17:57
支持左叶肝内胆管结石,并远端肝内胆管扩张
作者: jiahui7z    时间: 2009-9-23 18:41
考虑肝内胆管结石并肝内胆管扩张。
作者: muzi888    时间: 2009-9-23 19:02
支持肝内胆管结石并肝内胆管扩张。
作者: chinanyd    时间: 2009-9-23 23:41
肝内胆管结石并胆管扩张
作者: 黑白光影    时间: 2009-9-24 04:26
肝内外胆管结石并肝内胆管扩张。
作者: dr.yang    时间: 2013-3-26 23:23
肝内外胆管结石并肝内胆管扩张。




欢迎光临 医影在线 (http://bbs.radida.com/bbs/) Powered by Discuz! X3.2