医影在线
标题: CT22302:发现右上肺阴影2月(有结果) [打印本页]
作者: xxhwh 时间: 2009-9-23 02:46
标题: CT22302:发现右上肺阴影2月(有结果)
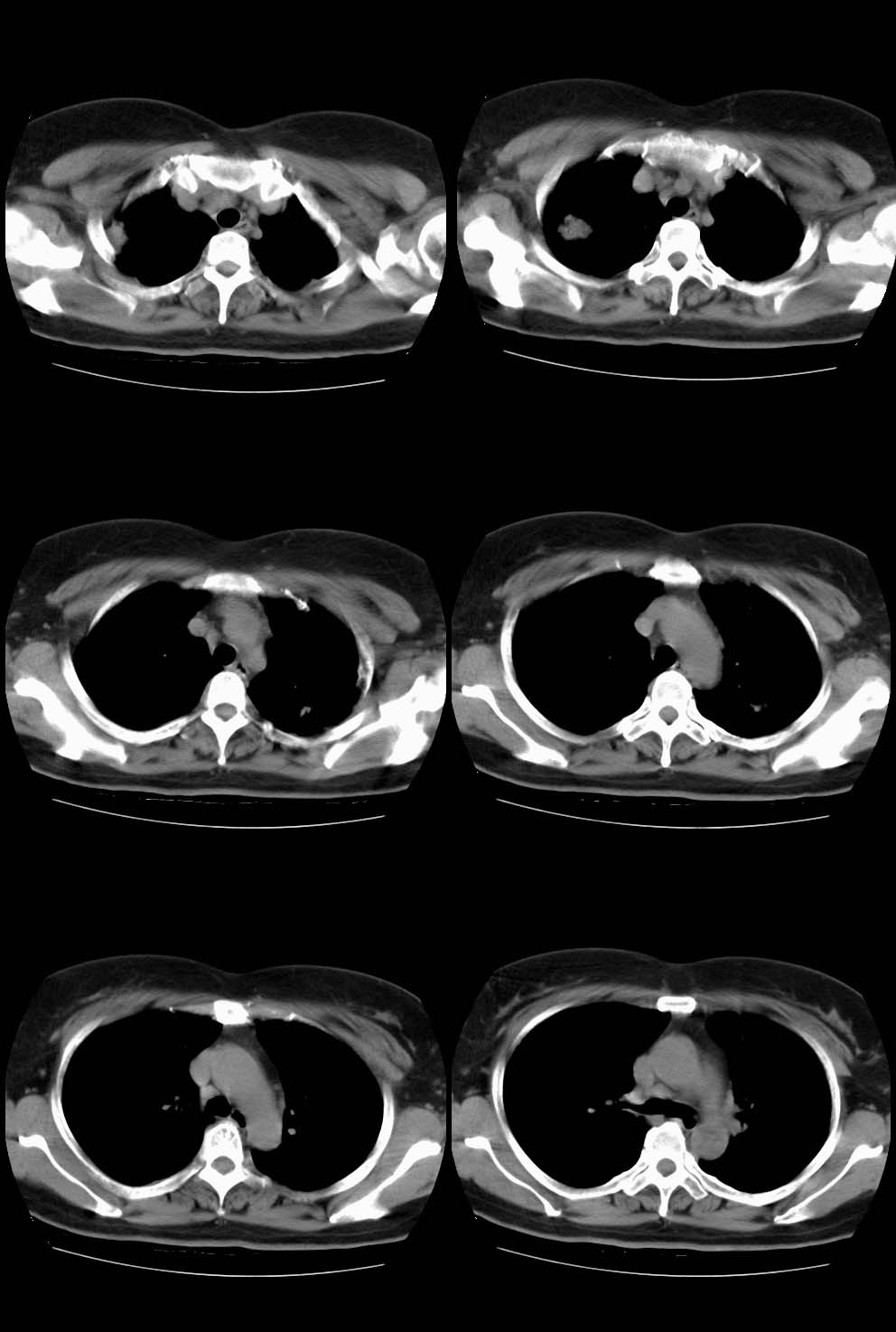
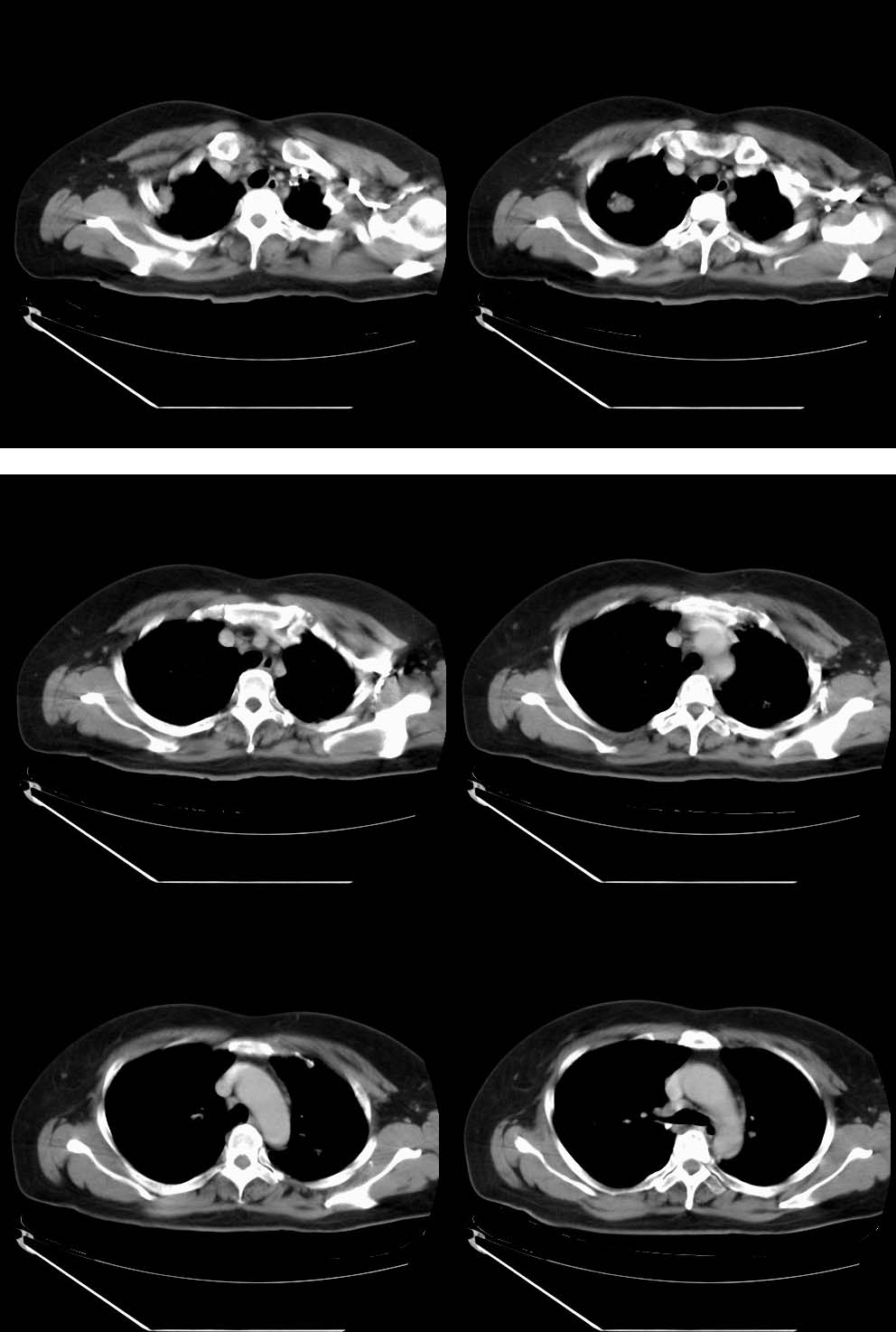
女,64岁,2月前体检透视发现右上肺阴影,未行任何治疗。无咳嗽咳痰、胸痛胸闷症状。生化检查(血象、防癌全套等)均未示异常。轻—中度强化。



[本贴已被 xxhwh 于 2009-9-22 18:52:25 修改过]
[本贴已被 翁志蓬 于 2009-9-22 23:06:58 修改过]
作者: 星星点灯 时间: 2009-9-23 03:10
考虑结核,不除外右上肺肺癌。
作者: 卜一 时间: 2009-9-23 03:15
双肺继发性肺结核!
作者: 随光逐影 时间: 2009-9-23 03:20
考虑两肺上叶继发性肺结核,不排除右肺上叶周围型肺癌。
作者: songyi 时间: 2009-9-23 04:19
考虑两肺上叶继发性肺结核,不排除右肺上叶周围型肺癌。
作者: zbp537 时间: 2009-9-23 04:23
支持结核,右上肺块影不除外周围型肺癌,建议穿刺活检。
作者: 泪洒红尘 时间: 2009-9-23 04:24
考虑双上肺继发性肺结核!
作者: yangyudong333 时间: 2009-9-23 04:27
考虑两肺上叶继发性肺结核,不排除右肺上叶周围型肺癌。
作者: wangjianwen216 时间: 2009-9-23 05:00
标题: 回复:发现右上肺阴影2月(有结果)
以下是引用songyi在2009-9-22 20:19:00的发言:[br]考虑两肺上叶继发性肺结核,不排除右肺上叶周围型肺癌。
作者: 宝天曼 时间: 2009-9-23 06:02
支持结核,右上肺块影不除外周围型肺癌,建议穿刺活检。
作者: bmw011 时间: 2009-9-23 06:03
见点状钙化的卫星灶,左上肺也有点状钙化灶。
右肺上叶结核瘤。
作者: liaizhi 时间: 2009-9-23 06:06
考虑结核。
作者: zhangling 时间: 2009-9-23 06:10
像结核
作者: laiyan-liuwei 时间: 2009-9-23 06:13
右上肺占位考虑结核球,左上肺病灶有钙化,考虑慢性炎变,所以双肺改变考虑结核
作者: 987654zwf 时间: 2009-9-23 06:47
考虑两肺上叶继发性肺结核,不排除右肺上叶周围型肺癌
作者: 513ytb 时间: 2009-9-23 07:12
考虑两肺上叶继发性肺结核,不排除右肺上叶周围型肺癌.
作者: zsl6918 时间: 2009-9-23 15:54
双肺继发性结核
作者: 深泽交通 时间: 2009-9-23 16:38
tb可能
作者: LIAOQIANG 时间: 2009-9-23 17:06
考虑两肺上叶继发性肺结核,不排除右肺上叶周围型肺癌。
作者: zxl51642 时间: 2009-9-23 17:11
右上病变有脂肪及钙化,考虑良性病变,错构瘤可能性大,左上陈旧性tb。
作者: 边生丽 时间: 2009-9-23 17:24
支持结核,右上肺块影不除外周围型肺癌,建议穿刺活检
作者: hzmdoc 时间: 2009-9-23 17:49
考虑两肺上叶继发性肺结核,不排除右肺上叶周围型肺癌。
作者: llghzacwj 时间: 2009-9-23 17:55
右肺上叶肿块,边缘毛糙,未见钙化,考虑周围型肺癌,左肺斑点状及索条状高密度,考虑结核。
作者: qiuleiyu 时间: 2009-9-23 18:20
肿块内有钙化,虽无明确卫星病灶,还是考虑结核球可能大,随访除外新生物。
另左上肺纤维硬结灶。
作者: muzi888 时间: 2009-9-23 18:54
双肺继发性肺结核!
作者: chinanyd 时间: 2009-9-23 23:35
结核
作者: yuhongjun 时间: 2009-9-24 01:46
支持结核,右上肺块影不除外周围型肺癌,建议穿刺活检。
作者: eyuan9941 时间: 2009-9-24 02:02
结核
作者: 黑白光影 时间: 2009-9-24 04:34
考虑两肺上叶继发性肺结核,不排除右肺上叶周围型肺癌。
作者: hnsyhjc 时间: 2009-9-27 16:52
右上肺结节有分叶征、但似可见细小的沙粒状钙化阴影,邻近胸膜有增厚而不是胸膜凹陷证。结节有轻中度强化。这些都是矛盾的。
拟诊:瘢痕ca可能性大。
作者: xiezs 时间: 2009-9-27 21:40
支持结核
作者: dr.yang 时间: 2013-3-27 10:12
考虑两肺上叶继发性肺结核,不排除右肺上叶周围型肺癌。
| 欢迎光临 医影在线 (http://bbs.radida.com/bbs/) |
Powered by Discuz! X3.2 |