医影在线
标题: PED2911:女,10个月,头外伤三天,伤后爱哭闹,吃奶少,睡 [打印本页]
作者: wpf 时间: 2009-9-23 06:23
标题: PED2911:女,10个月,头外伤三天,伤后爱哭闹,吃奶少,睡
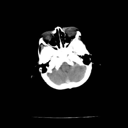
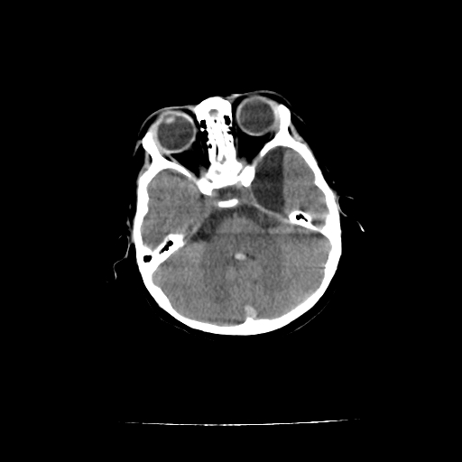
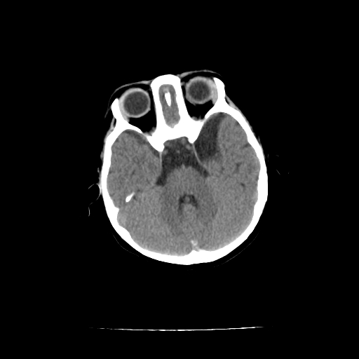
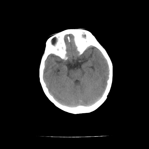
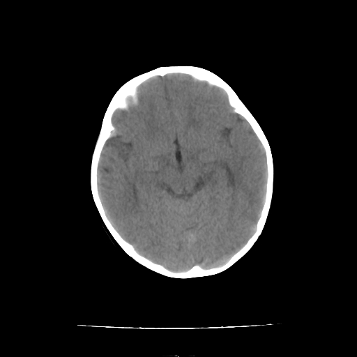
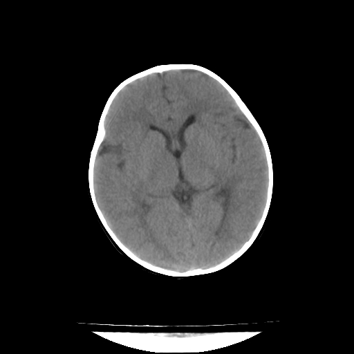
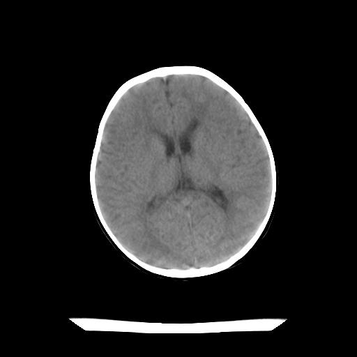
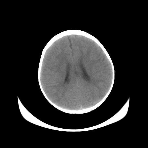
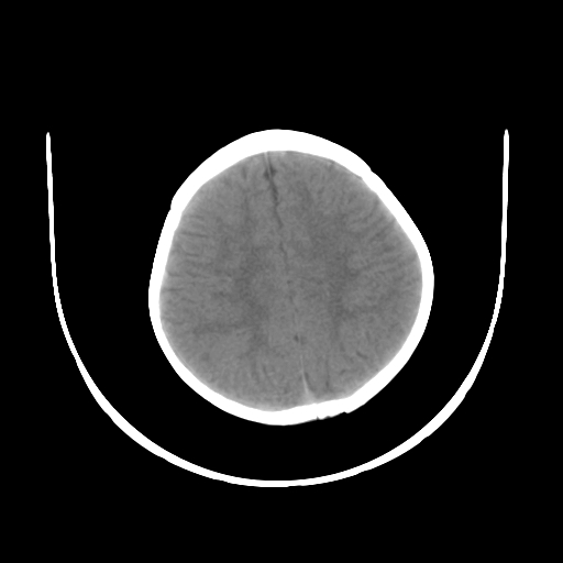
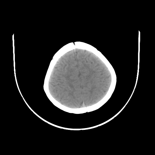
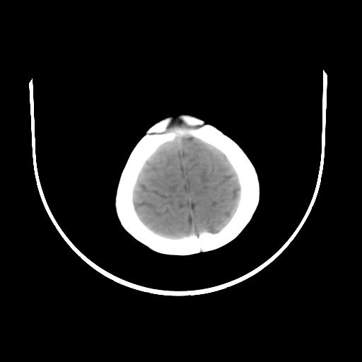
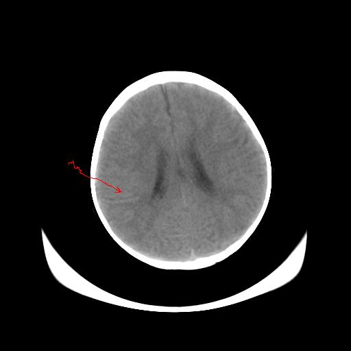
女,10个月,头外伤三天,伤后爱哭闹,吃奶少,睡觉不踏实。











[本贴已被 翁志蓬 于 2009-9-22 23:28:19 修改过]
作者: 沉默是金 时间: 2009-9-23 06:46
左侧颞极蛛网膜囊肿
作者: 513ytb 时间: 2009-9-23 07:28
左侧颞极蛛网膜囊肿.
作者: 随光逐影 时间: 2009-9-23 07:46
1)左侧颞极蛛网膜囊肿。2)第四脑室出血?
作者: zxl51642 时间: 2009-9-23 17:44
标题: 11
1、左侧颞极蛛网膜囊肿;2、第四脑室出血?3、右侧顶叶脑裂畸形伴灰质异位?
[本贴已被 zxl51642 于 2009-9-24 9:34:34 修改过]
作者: 卜一 时间: 2009-9-23 22:45
1)左侧颞极蛛网膜囊肿。2)不排除第四脑室出血!
作者: 于老爷子 时间: 2009-9-23 23:10
学习了,谢谢
作者: 同 时间: 2009-9-24 01:08
标题: 回复:ped2911:女,10个月,头外伤三天,伤后爱哭闹,吃奶
以下是引用随光逐影在2009-9-22 23:46:00的发言:[br]1)左侧颞极蛛网膜囊肿。2)第四脑室出血?
作者: 同 时间: 2009-9-24 01:10
标题: 回复:ped2911:女,10个月,头外伤三天,伤后爱哭闹,吃奶
以下是引用随光逐影在2009-9-22 23:46:00的发言:[br]1)左侧颞极蛛网膜囊肿。2)第四脑室出血?
作者: sunbin 时间: 2009-9-24 01:27
左侧颞极蛛网膜囊肿,第四脑室出血?
作者: yuhongjun 时间: 2009-9-24 02:47
1)左侧颞极蛛网膜囊肿。2)不排除第四脑室出血!
作者: 拾荒者 时间: 2009-9-24 03:24
1)左侧颞极蛛网膜囊肿。2)第四脑室内高密度影,性质待定。
作者: dyqct 时间: 2009-9-24 03:55
标题: 回复:ped2911:女,10个月,头外伤三天,伤后爱哭闹,吃奶
以下是引用卜一在2009-9-23 14:45:00的发言:[br][br] 1)左侧颞极蛛网膜囊肿。2)不排除第四脑室出血![br]
支持!
作者: lihongwei 时间: 2009-9-24 05:43
以下是引用卜一在2009-9-23 14:45:00的发言:
1)左侧颞极蛛网膜囊肿。2)不排除第四脑室出血!
作者: 余辉 时间: 2009-9-24 15:47
标题: 回复:ped2911:女,10个月,头外伤三天,伤后爱哭闹,吃奶
以下是引用随光逐影在2009-9-22 23:46:00的发言:[br]1)左侧颞极蛛网膜囊肿。2)第四脑室出血?
作者: 深泽交通 时间: 2009-9-24 17:03
标题: 回复:ped2911:女,10个月,头外伤三天,伤后爱哭闹,吃奶
左侧颞极蛛网膜囊肿
作者: wgh407 时间: 2009-9-25 16:43
1)左侧颞极蛛网膜囊肿。2)不排除第四脑室出血!
作者: scdlc2008 时间: 2009-9-25 18:04
1)左侧颞极蛛网膜囊肿。2)不排除第四脑室出血!
作者: 黑白光影 时间: 2009-9-26 17:45
1)左侧颞极蛛网膜囊肿。2)不排除第四脑室出血!
作者: hj_dsy 时间: 2009-9-26 19:13
学习啦
作者: 懒惰的人 时间: 2009-9-27 00:25
左侧颞极蛛网膜囊肿,第四脑室出血。
作者: shijunhuaict 时间: 2009-9-27 02:37
左侧颞极蛛网膜囊肿,第四脑室出血。
作者: 杀毒软件 时间: 2009-9-27 17:19
标题: 回复:ped2911:女,10个月,头外伤三天,伤后爱哭闹,吃奶
以下是引用随光逐影在2009-9-22 23:46:00的发言:[br]1)左侧颞极蛛网膜囊肿。2)第四脑室出血?
作者: zjzjr 时间: 2009-9-29 00:32
左侧颞极蛛网膜囊肿,第四脑室出血
作者: yuhongjun 时间: 2009-11-30 14:01
1)左侧颞极蛛网膜囊肿。2)第四脑室出血?
| 欢迎光临 医影在线 (http://bbs.radida.com/bbs/) |
Powered by Discuz! X3.2 |