医影在线

标题: CT22367:自觉左上颌部不适,有时可闻及腥臭鼻涕味。 [打印本页]

作者: 泪洒红尘    时间: 2009-9-26 04:20
标题: CT22367:自觉左上颌部不适,有时可闻及腥臭鼻涕味。
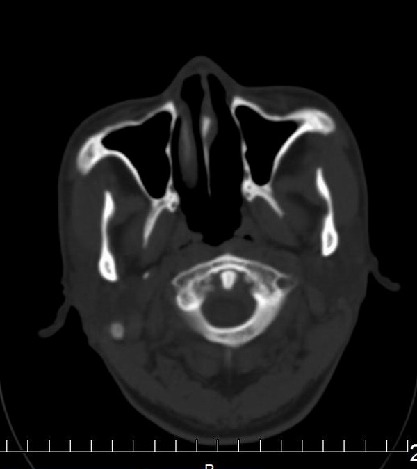
男,56y,自觉左上颌部不适,有时可闻及腥臭鼻涕味。


























[本贴已被 jiajie 于 2009-9-26 20:00:26 修改过]

作者: 两片云    时间: 2009-9-26 04:48
左颞骨纤维异常增殖
作者: 前行    时间: 2009-9-26 05:13
支持骨纤维异常增殖症
作者: 草之原    时间: 2009-9-26 05:35
额骨右份不规则增厚,密度增高,内可见低密度影。
诊断:骨纤维异常增殖症。
作者: 草之原    时间: 2009-9-26 05:37
纠正:额骨左份不规则增厚。
作者: dyqct    时间: 2009-9-26 06:04
支持左额骨水平部、蝶骨大翼、颧骨骨纤。
作者: 胡宇    时间: 2009-9-26 07:06
左颞骨纤维异常增殖
作者: yuhongjun    时间: 2009-9-26 13:29
支持左额骨水平部、蝶骨大翼、颧骨骨纤。
作者: 随光逐影    时间: 2009-9-26 15:29
支持 骨纤维异常增殖症。
作者: ailuanfei    时间: 2009-9-26 17:36
支持左额骨水平部、蝶骨大翼、颧骨骨纤
作者: 黑白光影    时间: 2009-9-26 18:00
支持 骨纤维异常增殖症。
作者: zjzjr    时间: 2009-9-26 18:01
标题: 回复:自觉左上颌部不适,有时可闻及腥臭鼻涕味。
以下是引用dyqct在2009-9-25 22:04:00的发言:[br]支持左额骨水平部、蝶骨大翼、颧骨骨纤。

作者: zxl51642    时间: 2009-9-26 18:07
骨纤维异常增殖症与骨化性纤维瘤(纤维骨瘤)鉴别,确诊需病理。
作者: 深泽交通    时间: 2009-9-26 19:49
标题: 回复:自觉左上颌部不适,有时可闻及腥臭鼻涕味。
以下是引用ailuanfei在2009-9-26 9:36:00的发言:[br]支持左额骨水平部、蝶骨大翼、颧骨骨纤

作者: 余辉    时间: 2009-9-26 20:26
标题: 回复:自觉左上颌部不适,有时可闻及腥臭鼻涕味。
以下是引用dyqct在2009-9-25 22:04:00的发言:[br]支持左额骨水平部、蝶骨大翼、颧骨骨纤。

作者: aka502    时间: 2009-9-26 21:46
支持左额骨水平部、蝶骨大翼、颧骨骨纤。
作者: LIAOQIANG    时间: 2009-9-27 00:10
考虑骨纤。
作者: zhangling    时间: 2009-9-27 04:46
支持左额骨水平部,蝶骨大翼,颧骨 骨纤维异常增殖症




欢迎光临 医影在线 (http://bbs.radida.com/bbs/) Powered by Discuz! X3.2