医影在线

标题: CT22394:请会诊! [打印本页]

作者: 心愿    时间: 2009-9-28 06:01
标题: CT22394:请会诊!
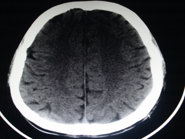
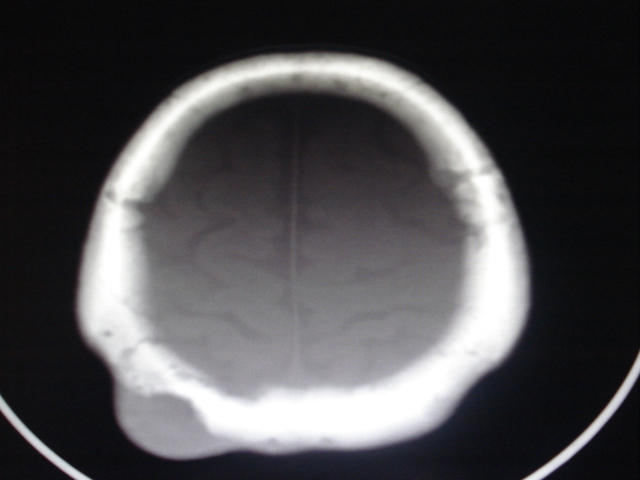
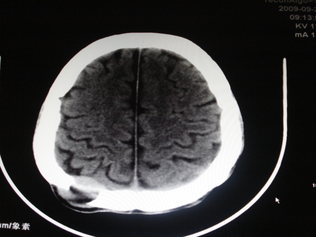
男性,48岁。发现右顶部包块一月余,质软有轻压痛。








[本贴已被 翁志蓬 于 2009-9-28 0:57:35 修改过]

作者: 心愿    时间: 2009-9-28 06:02
其余没问题的层面我没有发上来,请教各位老师,可以考虑嗜酸性肉芽肿吗?
作者: zbp537    时间: 2009-9-28 06:29
骨质破坏+软组织肿块+好发部位  支持骨嗜酸性肉芽肿。
作者: 子期    时间: 2009-9-28 06:30
考虑皮样囊肿或表皮样囊肿可能性大。
作者: shijunhuai    时间: 2009-9-28 07:03
可以考虑为骨嗜酸性肉芽肿,但是必须和骨髓炎、结核、孤立性骨囊肿、纤维异样增殖症和一些恶性骨肿瘤相鉴别。故应作活组织检查以确诊。
作者: 宝天曼    时间: 2009-9-28 07:06
骨质破坏+软组织肿块+好发部位  支持骨嗜酸性肉芽肿。
作者: dengkai    时间: 2009-9-28 07:18
可以考虑为骨嗜酸性肉芽肿,但是必须和骨髓炎、结核、孤立性骨囊肿、纤维异样增殖症和一些恶性骨肿瘤相鉴别。故应作活组织检查以确诊。
作者: z13511933102z    时间: 2009-9-28 07:21
骨嗜酸性肉芽肿,等待活检结果。
作者: 艳阳天    时间: 2009-9-28 07:24
支持4楼
作者: 柳依婷    时间: 2009-9-28 09:04
年纪太大,单发,有明确软组织肿块,不考虑为骨嗜酸性肉芽肿。表皮样囊肿可能性大
作者: yuhongjun    时间: 2009-9-28 13:19
考虑皮样囊肿或表皮样囊肿可能性大。
作者: 随光逐影    时间: 2009-9-28 15:34
支持 右侧顶骨嗜酸性肉芽肿。
作者: zjzjr    时间: 2009-9-28 17:56
骨嗜酸性肉芽肿,等待活检结果。
作者: zxl51642    时间: 2009-9-28 20:00
年龄大,无“纽扣样”死骨,软组织肿块密度较低且边界清楚,由内板向外破坏,不支持嗜酸性肉芽肿。
考虑转移瘤、表皮样囊肿、骨纤、板障型脑膜瘤、颅骨淋巴瘤鉴别。
倾向于板障型脑膜瘤,淋巴瘤待排除,建议增强及mri进一步检查。
作者: huqi8888    时间: 2009-9-28 23:06
支持 右侧顶骨嗜酸性肉芽肿,与骨结核.转移鉴别。
作者: caoyuanlang    时间: 2009-9-28 23:51
支持右侧顶骨嗜酸性肉芽肿
作者: 高学强    时间: 2009-9-29 00:21
1.骨质破坏+软组织肿块+好发部位  支持骨嗜酸性肉芽肿
2,表皮样囊肿
作者: tian1238    时间: 2009-9-29 01:15
骨嗜酸性肉芽肿
支持
作者: 731208    时间: 2009-9-29 04:04
骨质破坏+软组织肿块+好发部位  支持骨嗜酸性肉芽肿
作者: liu.hui.yang    时间: 2009-9-29 06:03
标题: 回复:ct22394:请会诊!
以下是引用宝天曼在2009-9-27 23:06:00的发言:[br]骨质破坏+软组织肿块+好发部位  支持骨嗜酸性肉芽肿。

作者: 黑白光影    时间: 2009-9-29 07:37
右侧顶骨嗜酸性肉芽肿,与骨结核.转移鉴别。
作者: 初学者LANMEI    时间: 2009-9-30 21:33
骨质破坏+软组织肿块+好发部位  支持骨嗜酸性肉芽肿。




欢迎光临 医影在线 (http://bbs.radida.com/bbs/) Powered by Discuz! X3.2